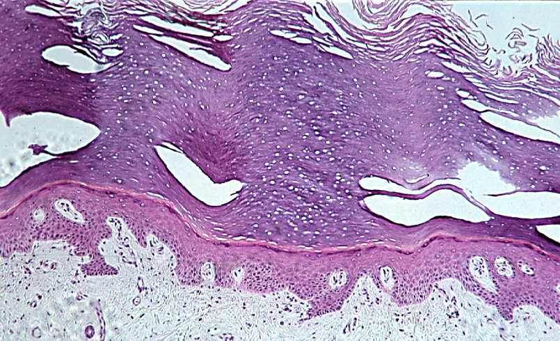
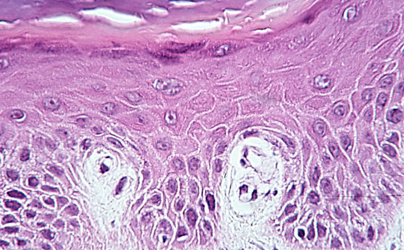
Thick Light Skin = جلد سميك وفاتح

error: Content is protected !!