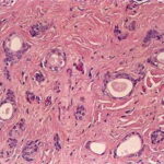
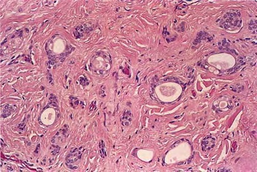
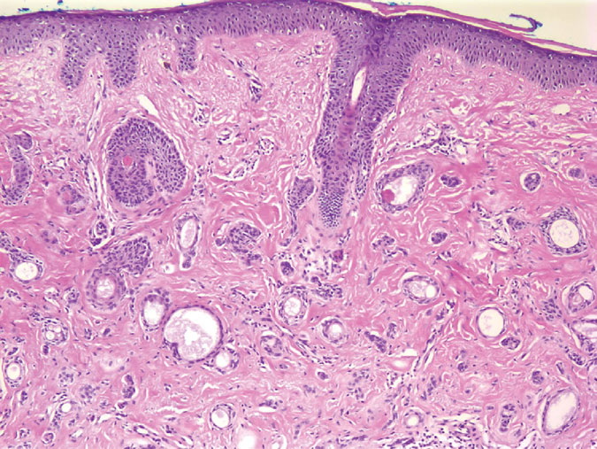
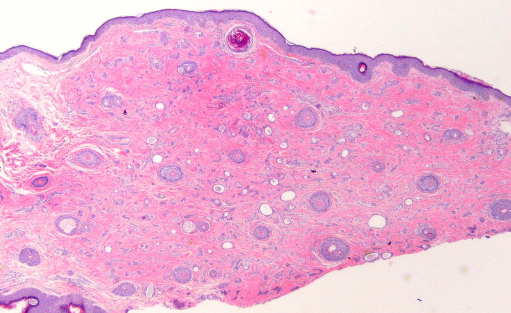
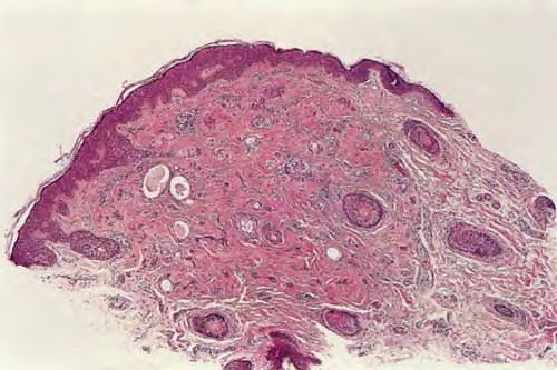
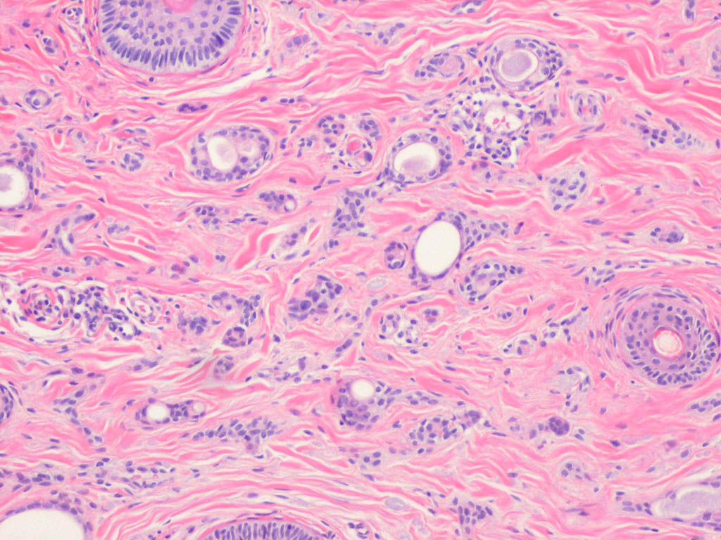
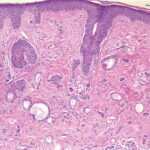
Syringoma = ورم غدي عرقي

error: Content is protected !!