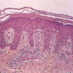
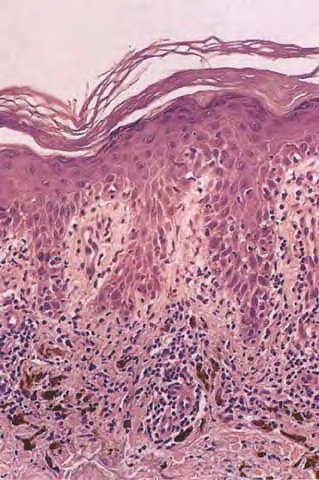
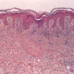
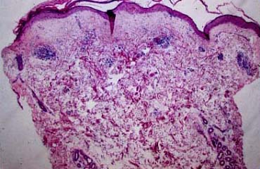
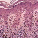
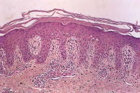
Subacute cutaneous lupus erythematosus = الذئبة الحمامية الجلدية تحت الحادة

error: Content is protected !!