Stucco keratoses = التقران الجصي

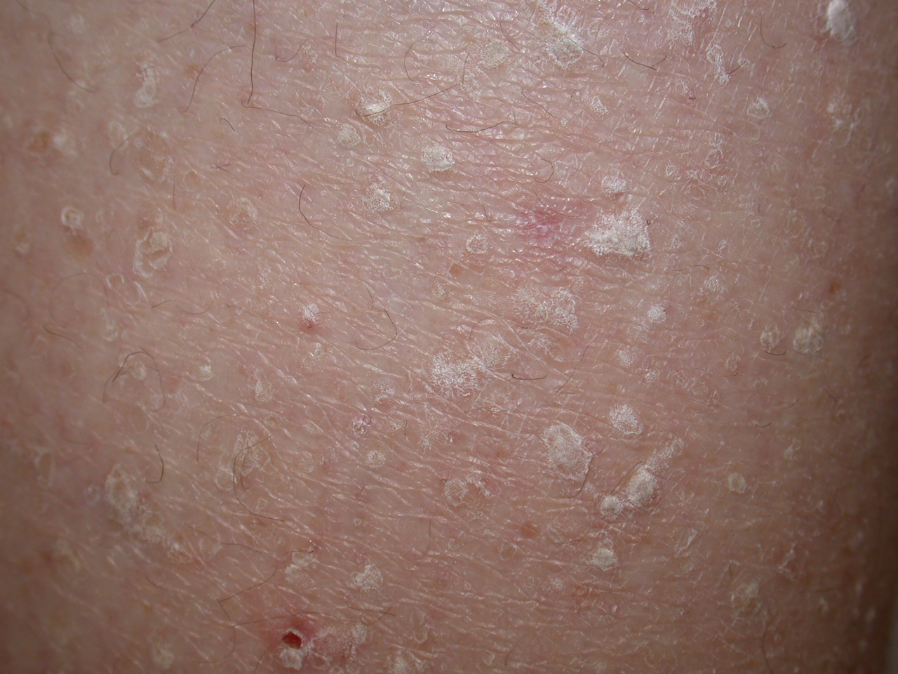
STUCCO KERATOSIS

 

Stucco keratoses are also described as verrucous, serrated, hyperkeratotic, and digitate. These lesions are commonly 1- to 3-mm, flat-topped, white to tan papules that adhere tightly to the skin on the lower legs . No keratinocytic vacuolar changes or viral cytopathic changes are observed, thus distinguishing them from verruca plana.

error: Content is protected !!