spongiotic-dermatitis

Psoriasis

Psoriasis may be divided into psoriasis vulgaris, generalized pustular psoriasis, and localized pustular psoriasis.

Psoriasis Vulgaris Clinical Features

Psoriasis vulgaris is a common chronic inflammatory skin disorder that affects approximately 1.5% to 2% of the population in the Western countries. It is characterized by pink to red scaly papules and plaques . The lesions are of variable size, sharply demarcated, dry, and usually covered with layers of fine, silvery scales. As the scales are removed by gentle scraping, fine bleeding points are usually seen-the so-called Auspitz sign. The scalp, sacral region, and extensor surfaces of the extremities are commonly involved, although in some patients the flexural and intertriginous areas are mainly affected (inverse psoriasis). An acute variant-guttate or eruptive psoriasis-is often seen in younger patients and is characterized by an abrupt eruption of small lesions

associated with acute group A ~-hemolytic streptococcal infections . Involvement of the nails is common; the most frequent alteration of the nail plate surface is the presence of pits . In severe cases, the disease may affect the entire skin and present as generalized erythroderma. Pustules are generally absent in psoriasis vulgaris, although pustules on palms and soles occasionally occur. Rarely, one or a few areas show pustules, and this is referred to as "psoriasis with pustules." Also rarely, severe psoriasis vulgaris develops into generalized pustular psoriasis. Oral lesions such as stomatitis areata migrans (geographic stomatitis) and benign migratory glossitis (geographic tongue) may be seen in psoriasis vulgaris as well as in generalized pustular psoriasis .

Psoriatic arthritis characteristically involves the terminal interphalangeal joints, but frequently the large joints are also affected, so that a clinical differentiation from rheumatoid arthritis is often difficult. However, the rheumatoid factor is generally absent.

Generalized Pustular Psoriasis

Clinical Features

Generalized pustular psoriasis includes (a) acute generalized pustular psoriasis (von Zumbusch type and acute exanthematous type), (b) generalized pustular psoriasis of pregnancy (impetigo herpetiform is), (c) infantile and juvenile pustular psoriasis, and (d) subacute annular or circinate pustular psoriasis (90).

This cutaneous eruption is characterized by the presence of variable numbers of sterile pustules appearing in erythematous and scaly lesions associated with moderate to severe constitutional symptoms (91). Several exacerbations may occur, and lesions of ordinary psoriasis may be seen in the intervals between them.

The four variants of generalized pustular psoriasis show considerable resemblance and overlapping in their clinical picture and also have a similar histologic appearance. They differ

mainly in the mode of onset and the distribution of the lesions. Frequently, all four diseases show oral pustules, particularly on the tongue .

Acute generalized pustular psoriasis of von Zumbusch is generally diagnosed when the pustular eruption occurs in patients with preexisting psoriasis, either of the plaque type  or of the erythrodermic type . Frequently, the eruption occurs after systemic steroid therapy withdrawal . The exanthematous type of generalized pustular psoriasis refers to a group of patients with later onset of psoriasis, atypical distribution of the lesions, and a rapid and apparently spontaneous pustular eruption .

Generalized pustular psoriasis of pregnancy is a rare pustular eruption that appears during the last trimester of pregnancy. It starts with flexural lesions of psoriasis followed by a generalized pustular eruption. It may occur repeatedly during successive pregnancies . Some authors have considered it to be the same disease as impetigo herpetiformis , but others claim that they stand as separate entities.

In some instances of subacute annular pustular psoriasis the annular or gyrate lesions show a clinical resemblance to subcomeal pustular dermatosis . Figurate lesions are more frequently seen in subacute or chronic forms of generalized pustular psoriasis . Annular pustular psoriasis, although usually generalized, in some instances may be localized .

Very rarely, children develop generalized pustular psoriasis, also known as infantile and juvenile pustular psoriasis. In these patients the disease has a benign course with frequent spontaneous remissions .

Localized Pustular Psoriasis

Clinical Features

There are three types of localized pustular psoriasis: (a) "psoriasis with pustules" , in which only one or a few areas of psoriasis show pustules and the tendency to change into a generalized pustular psoriasis is low; (b) localized acrodermatitis continua of Hallopeau, which occasionally evolves into generalized acrodermatitis continua; and (c) pustular psoriasis of the palms and soles, with two variants: the chronic palmoplantar pustulosis, also called pustulosis palmaris et plantaris, and the acute palmoplantar pustulosis, or "pustular bacterid." Both are occasionally seen in association with psoriasis vulgaris . The relationship of Reiter's disease to psoriasis is discussed in the description of Reiter's disease.

Acrodermatitis continua of Hallopeau is the term used when the pustular eruption involves the distal portions of the hands and feet. In the localized type of acrodermatitis continua, these are the only areas affected, whereas in the generalized type of acrodermatitis continua, extensive areas of the skin in addition to the acral portions of extremities are involved . Atrophy of the skin and permanent nail loss may occur on the fingers and toes.

Pustulosis palmaris et plantaris is a chronic, relapsing disorder occurring on the palms, soles, or both . Crops of small, deep-seated pustules are seen within areas of erythema and scaling. In the earliest stage, the lesions may appear as vesicles or vesiculopustules. During the subsiding stage, the pustules appear as brown macules. The sites of predilection are the mid palms and thenar eminences of the hands and the heels and insteps of the feet . In pustulosis palmaris et plantaris, in contrast to acrodermatitis continua of Hallopeau, the acral portions of the fingers and toes are spared. An acute variant called "pustular bacterid"  describes a rare eruption of large and sterile pustules on hands and feet.

Psoriasis and Acquired Immunodeficiency Syndrome Clinical Features

 

The association between psoriasis and human immunodeficiency virus (HIV) infection is commonly seen. The prevalence of psoriasis is reported to be 1.3% to 2.5% in HIV-positive patients . Clinically, psoriasis may have a more severe course with sudden exacerbations and may be refractory to treatment . Extensive erythrodermic psoriasis may occur (109). Palmoplantar involvement, flexural (inverse) psoriasis, and psoriatic arthritis were found to be more frequent in patients who developed psoriasis after HIV infection . Although a direct relation between the stage of HIV infection and the severity of psoriasis has not been found, a trend of low peripheral T-cell CD4+ (helper-inducer) counts and a more severe clinical course have been noted .

Psoriasis Vulgaris

 Histopathology

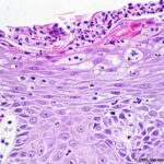
The histologic picture of psoriasis vulgaris varies considerably with the stage of the lesion and usually is diagnostic only in early, scaling papules and near the margin of advancing plaques.

The earliest pinhead-sized macules or smooth-surfaced papules show subtle histologic changes with a preponderance of dermal changes . At first, there is capillary dilation and edema in the papillary dermis, with a lymphocytic infiltrate surrounding the capillaries. The lymphocytes extend to the lower portion of the epidermis, where slight spongiosis develops. Then focal changes occur in the upper portion of the epidermis, where granular cells become vacuolated and disappear, and mounds of parakeratosis are formed. Neutrophils are usually seen only at the summits of some of the mounds of parakeratosis and appear scattered through an otherwise orthokeratotic cornified layer . These mounds of parakeratosis with neutrophils represent the earliest manifestation of Munro microabscesses . At this stage, which is characterized clinically by an early scaling papule, a histologic diagnosis of psoriasis can often be made. In some cases, when there is marked

exocytosis of neutrophils, they may aggregate in the uppermost portion of the spinous layer to form small spongiform pustules of Kogoj. Lymphocytes remain confined to the lower epidermis, which, as more and more mitoses occur, becomes increasingly hyperplastic. The epidermal changes are at first focal, but later become confluent, leading clinically to plaques.

In the fully developed lesions of psoriasis, as best seen at the margin of enlarging plaques, the histologic picture is characterized by (a) acanthosis with regular elongation of the rete ridges with thickening in their lower portion; (b) thinning of the suprapapillary epidermis with the occasional presence of small spongiform pustules; (c) pallor of the upper layers of the epidermis; (d) diminished to absent granular layer; (e) confluent parakeratosis; (f) the presence of Munro microabscesses; (g) elongation and edema of the dermal papillae; and (h) dilated and tortuous capillaries .

Of the listed features, only the spongiform pustules of Kogoj and Munro microabscesses are truly diagnostic of psoriasis, and, in their absence, the diagnosis can rarely be made with certainty on a histologic basis. The changes in active psoriasis are discussed in detail later.

The rete ridges show considerable elongation and extend downward to a uniform level, resulting in regular acanthosis . They are often slender in their upper portion but

show thickening ("clubbing") in their lower portion. Not infrequently, adjacent rete ridges seem to coalesce at their bases due to tangential sectioning. Usually, intercellular and intracellular edema is absent in the rete ridges, and keratinocytes located well above the basal layer show deep basophilia. In addition, mitoses are not limited to the basal layer as in normal skin but are also seen above the basal layer. This, together with a considerable lengthening of the basal cell layer due to elongation of the rete ridges, results in a marked increase in the number of mitoses. This increase has been calculated to be 27 times the number of mitoses in uninvolved skin .

The suprapapillary epidermis appears relatively thin in comparison with the markedly elongated rete ridges, and the cells in the upper layers of the epidermis may appear enlarged and pale stained as a result of intracellular edema and hypogranulosis. Keratinocytes beneath the parakeratotic cornified layer may be intermingled with neutrophils . The histologic picture is then that of a small spongiform pustule of Kogoj . Although it is only a micropustule, it is nevertheless of the same type as the much larger macropustules seen in pustular psoriasis. Such a spongiform pustule, highly diagnostic for psoriasis and its variants, shows aggregates of neutrophils within the interstices of a spongelike network formed by degenerated and thinned epidermal cells

In some instances the cornified layer consists entirely of confluent parakeratosis forming a platelike scale with a concomitant absence or diminution of the granular layer. However, occasional focal orthokeratosis with preservation of the underlying granular cells is present.

Munro microabscesses are located within the parakeratotic areas of the cornified layer . They consist of accumulations of neutrophils and pyknotic nuclei of neutrophils that have migrated there from capillaries in the papillae through the suprapapillary epidermis. As a rule, Munro microabscesses are easily found in early lesions but are few in number or absent in longstanding lesions .

The dermal papillae, in accordance with the elongation and basal thickening of the rete ridges, are elongated and club shaped. They show edema, and the capillaries within them appear dilated and tortuous. A relatively mild inflammatory infiltrate is present in the upper dermis and the papillae. It consists of lymphocytes, except in early lesions, in which neutrophils are also present in the upper portion of the papillae .

An entirely typical histologic picture as described earlier is not always found, even if the biopsy specimens are taken from clinically typical lesions of psoriasis . Orthokeratosis often appears intermingled with parakeratosis. In such cases, one may see vertically adjoining areas of orthokeratosis and parakeratosis, focal parakeratosis, or, occasionally, alternating layers of orthokeratosis and parakeratosis. The last-named pattern

indicates a fluctuation in the activity of the psoriasis.

The bleeding points that may be produced by gentle scraping of the skin (Au spitz sign) correspond to the tips of dermal papillae. They are attributable to the following histologic changes: parakeratosis, intracellular edema of keratinocytes in the suprapapillary epidermis, thinning of the suprapapillary plates, and dilation of the capillaries in the upper portion of the papillae.

Guttate or eruptive psoriasis shows the histologic features of an early or active lesion of psoriasis, where there is more pronounced inflammatory infiltrate and less acanthosis as compared with a well-developed chronic plaque of psoriasis. Because of its acute onset, one may observe the remaining normal basket-weave orthokeratotic cornified layer overlying the mounds of parakeratosis with neutrophils, which, in turn, may appear loosely arranged .

The histologic picture of erythrodermic psoriasis in some instances shows enough of the characteristics of psoriasis to allow this diagnosis. Frequently, however, the histologic appearance is indistinguishable from that of a chronic eczematous dermatitis .

Generalized Pustular Psoriasis

Histopathology

Whereas in ordinary psoriasis the spongiform pustule of Kogoj is a very small micropustule and is seen only in early, active lesions, it occurs as a macropustule in all variants of generalized pustular psoriasis and represents their characteristic histologic lesion. The spongiform pustule forms through the migration of neutrophils from the papillary dermal capillaries to the upper layer of epidermis, where they aggregate within the interstices of a spongelike network formed by degenerated and thinned epidermal cells . As the size of the pustule increases, the epidermal cells in the center of the pustule undergo complete cytolysis so that a large single cavity forms . At the periphery of the pustule, however, the network of thinned epidermal cells persists for a much longer time. As the neutrophils of the spongiform pustule move up into the cornified layer, they become pyknotic and assume the appearance of a large Munro abscess .

In addition to the large spongiform pustules, the epidermal changes in generalized pustular psoriasis are very much like those seen in psoriasis vulgaris, consisting of parakeratosis and elongation of the rete ridges. The upper dermis contains an infiltrate of lymphocytes, and neutrophils can often be seen migrating from the capillaries in the papillae into the epidermis . The oral lesions show the same spongiform pustule formation as those seen on the skin .

In the healing stage, the lesions of all types of generalized pustular psoriasis may present the same histologic appearance as ordinary psoriasis .

Localized Pustular Psoriasis

Histopathology

In the variants of localized pustular psoriasis "psoriasis with pustules"  and localized annular pustular psoriasis, the histologic picture is the same as that described for generalized pustular psoriasis.

In localized acrodermatitis continua of Hallopeau, the nail bed is mainly affected, showing marked epithelial hyperplasia with variable numbers of spongiform pustules, hypogranulosis, and hyperkeratosis with mounds of parakeratosis with neutrophils.The nail matrix is only occasionally involved .

In pustulosis palmaris et plantaris there is a fully developed large intraepidermal unilocular pustule. It is elevated only sligtly above the surface but presses onto the underlying dermis. Many neutrophils are present within the cavity of the pustule. The epidermis surrounding the pustule shows slight acanthosis, and an inflammatory infiltrate can be seen beneath the pustule . In many instances one can observe typical, although small, spongiform pustules in the epidermal wall of

the ustule, most commonly at the junction of the lateral walls and the overlying epidermis . These spongiform pustules are identical to those seen in the walls of the pustules of generalized pustular psoriasis.

Very early lesions may show spongiosis and exocytosis of lymphocytes in the lower epidermis overlying the tips of dermal papillae (. This may be followed by the formation of a small intraepidermal vesicle containing mostly lymphocytes . Subsequently, there is a massive exocytosis of neutrophils, which penetrate the intercellular spaces of the vesicle wall, where the histologic picture of spongiform pustules is then seen . In the acute form, pustular bacterid, leukocytoclastic vasculitis has been described .

Psoriasis and Acquired Immunodeficiency Syndrome

Histopathology

The histologic picture in most cases is similar to that of psoriasis. In others, the histologic sections may show acanthosis without thinning of the suprapapillary epidermis, slight spongiosis, rare necrotic keratinocytes, and a superficial perivascular infiltrate of lymphocytes and histiocytes that occasionally contains some plasma cells . As in other dermatitides related to AIDS, eosinophils may be present in the inflammatory infiltrate.

Pathogenesis of Psoriasis Vulgaris

Although the cause of psoriasis is unknown, there is increasing evidence of a complex interaction among altered keratinocytic proliferation and differentiation, inflammation, and immune dysregulation.

Electron Microscopy

The earliest recognizable morphologic events in psoriasis have been investigated in lesions that cleared with corticosteroid under occlusion and then were allowed to relapse. The earliest indications of relapse, as seen by electron microscopy, are swelling and intercellular widening of endothelial cells. This is followed by the appearance around postcapillary venules of mast cells showing degranulation. Hours later, activated macrophages migrate into the lower epidermis, where there is loss of desmosome-tonofilament complexes. Only then are lymphocytes and neutrophils seen . Ultrastructurally, in well-developed lesions, psoriatic keratinocytes from the suprabasal layers of the epidermis show significant abnormalities. The tonofilaments are decreased in number and in diameter and lack their normal aggregation. The size and number of keratohyaline granules are greatly reduced, and occasionally these are absent . The cornified cells possess thin tonofilaments and often retain organelles and a nucleus as parakeratotic cells. They often fail to form a marginal band and to lose their outer plasma membrane . Basal keratinocytes may show cytoplasmic processes protruding into the dermis through gaps in the basal lamina. These are more numerous in active and untreated lesions and are absent in completely resolved and uninvolved psoriatic skin . The intercellular spaces between all epidermal cells are widened because of a deficiency in the glycoprotein-rich cell surface coat, so that intercellular adhesion is limited to the desmosomes . Electron microscopic studies have confirmed the view that the keratinocytes in psoriasis are defective and not just immature owing to accelerated epidermal proliferation. Although a correlation exists in psoriasis between an increased rate of mitosis and parakeratosis, rapid proliferation of the epidermis does not cause parakeratosis .

Ultrastructural studies of the spongiform pustule of Kogoj, one of the most characteristic histologic structures encountered in psoriasis, reveal that it is located in the uppermost portion of the spinous and granular layers, where neutrophils lie intercellularly in a multilocular pustule in which the spongelike network is composed of degenerated and flattened keratinocytes .

The ultrastructure of the capillary loops in the dermal papillae shows them to be different from normal capillary loops. In psoriasis, the capillaries show a wider lumen, bridged fenestrations and gaps between endothelial cells, edematous areas in the cytoplasm of endothelial cells, pericytes and myocytes, extravasation of red blood cells and inflammatory cells, and a thickened multilayered basement membrane . This finding may be a result of the deposition of amorphous substances and accumulation of collagen fibrils in the basement membrane zone .

Epidermal Cell Cycle Kinetics

The rate of epidermal cell replication is markedly accelerated in active lesions of psoriasis, as shown by the higher than normal number of basal and suprabasal mitotic figures and the greater number of premitotic cells labeled by tritiated thymidine (138). The mitotic activity within different lesions of psoriasis and even within the same lesion can vary considerably and seems to be correlated with the degree of parakeratosis. Thus, psoriatic epidermis with 91 % to 100% parakeratosis shows on average five times as many mitotic figures as psoriatic epidermis with only 0% to 20% parakeratosis . The frequent finding in psoriasis of alternating layers of orthokeratosis and parakeratosis suggests that epidermal growth activity fluctuates in the lesions . Step sections of early "punctate" papules show a mitotically very active parakeratotic center surrounded by a zone of a thickened granular layer with a relatively low mitotic rate .

Early calculations made it appear likely that in psoriatic lesions there was a great acceleration of the transit time of cells from the basal cell layer to the uppermost row of the squamous cell layer, from approximately 53 days in normal epidermis to only 7 days in the epidermis of active psoriatic lesions .

Further investigations  have found that (a) the germinative cell cycle is shortened from 311 to 36 hours, indicating that psoriatic keratinocytes proliferate approximately eightfold faster than do normal keratinocytes, (b) there is a doubling of the proliferative cell population in psoriasis from 27,000 to 52,000 cells/mm2 of epidermal surface area, and (c)

100% of the germinative cells of the epidermis enter the growth fraction instead of only 60% for normal subjects. However, in another study , it was shown that the germinative cell cycle time is around 200 hours in normal epidermis and about 100 hours in psoriatic epidermis, a twofold rather than an eightfold acceleration.

The source of the cycling cells in the suprabasal layers of the epidermis is not well defined. They could be an expanded population of basal keratinocytes or could be recruited from the transient-amplifying cells (T AC}­suprabasal keratinocytes committed to terminal differentiation-that might undergo rounds of amplifying divisions above the basal layer . Based on keratin studies, it is believed that proliferating keratinocytes may result from recruitment ofTAC  because they express K1/K10 and predominantly K6/K16 keratins and not K5/ K14 as basal keratinocytes do .

Recent studies suggested that psoriatic epidermis shows aberrant expression of apoptosis-related molecules representing suppressed apoptotic process, which might be related to proliferative characteristic of the epidermis in this disease .

Keratinocyte Differentiation

Keratinocytes undergo the process of differentiation as they migrate upward through the epidermis from the basal layer to the cornified layer. During this process, different structural proteins are synthesized. One such protein family is the keratins, which are intermediate filaments found in the cytoplasm of all epithelial cells. Studies revealed that the keratin pair K5/K14 is expressed in basal keratinocytes (145) and keratins K1/K10 are found in the suprabasal layers. Involucrin, one of the major precursor proteins of the cornified cell envelope, is detected higher in the granular and cornified layers (146). In psoriatic skin, basal keratinocytes continue to express K5/K14; however, keratins K1/K10 are replaced by the so-called hyperproliferation-associated keratins K6 and K16. In addition, involucrin is expressed prematurely in the lower suprabasallayers . Keratin 17, normally expressed in the deep outer root sheath of the hair follicle, has been found also in the upper suprabasal keratinocytes within the interfollicular psoriatic epidermis .

Immunopathology

Immunologic factors playa very important role in the pathogenesis of psoriasis. Psoriasis is now regarded as a T­cell-mediated disorder. It has been shown that both CD4+ and CD8+ T lymphocytes are found in the papillary dermis and the epidermis of the psoriatic lesions. CDB+ T cells seem to be dominant in the epidermis, whereas the CD4+ T lymphocytes are the predominant subset in the dermis. Presence of CDB+ T cells within the epidermis is believed to be a key event in the pathogenesis of psoriasis , with up to one third of them expressing the activation markers . Recent data suggest that lesions of psoriasis exhibit clonal expansion of epidermal T lymphocytes. Recurrent lesions also show the recruitment of the identical expanded T-cell clones. Nonlesional skin did not show the presence of the same T-cell receptor rearrangements. These findings suggest that a stable antigen-specific pathogenic T-cell response may playa role in disease perpetuation in psoriasis . The activation of T lymphocytes may be due to bacterial superantigens such as group A ~-hemolytic streptococci. It is suggested that amino acid sequences from streptococcal M-protein share sequences with keratin 17, and therefore an epitope on keratin 17 or keratin 6 may be a target for autoreactive lymphocytes in psoriasis . Group A streptococcal-reactive CD8+ and to a lesser extent CD4+ T cells in psoriatic epidermis may playa role in the pathogenesis of both poststreptococcal guttate psoriasis and chronic plaque psoriasis . Activated

CD4+ T cells produce a variety of cytokines, including interleukin-2 (IL-2), tumor necrosis factor-a (TN Fa}, and y­interferon (yIFN), which is also produced by CD8+ T lymphocytes .

Keratinocytes stimulated by TNFa may produce IL-B, which is a potent T-Iymphocyte and neutrophil chemoattractant present in increased amounts in psoriatic epidermis. This cytokine may be involved in the formation of Munro microabscesses .

ylFN is believed to play an important role in the initiation of psoriatic lesions as demonstrated by the induction of pinpoint lesions of psoriasis at sites of ylFN injection in previously uninvolved skin .

ylFN induces the expression of the ICAM-1 in keratinocytes and endothelial cells. This molecule mediates the adhesion and trafficking of lymphocytes into the epidermis by binding to its ligand lymphocyte function-associated antigen-1 (LFA-1) expressed on lymphocyte membranes . In addition, ylFN-inducible protein (IP-10) is overexpressed by keratinocytes in psoriatic lesional skin . IP-10 is detected in epidermis during cellular immune responses and may have chemotactic as well as mitogenic properties. Psoriatic keratinocytes are shown

not to be responsive to the growth inhibition effects of yIFN, leading to their hyperproliferative state in the disease .

Increased expression of p53 and downregulation of Bcl-2, consistent with the dynamics of psoriasis, have been shown . In addition, aberrant cytokine expression has been proposed as an underlying cause of psoriasis, with IL-23 being considered as a master regulator cytokine in the pathogenesis of the disease .

 Pathogenesis of Localized Pustular Psoriasis

A relationship of pustulosis palmaris et plantaris with psoriasis is not generally accepted, although two facts favor a close relationship: the relatively common occurrence of psoriasis in patients with pustulosis palmaris et plantaris, reported in 19% to 48% of patients , and the common presence of spongiform pustules in the walls of the pustules of pustulosis palmaris et plantaris. In addition, a leukotactic factor identical to that noted in psoriasis has been found in pustulosis palmaris et plantaris .

Pathogenesis of Psoriasis and AIDS

There is evidence of the role of both CD8+ and CD4+ T lymphocytes and ylFN in the pathogenesis of psoriasis in AIDS

 . Paradoxically, as T-helper cell counts decline, it appears that psoriatic lesions exacerbate until a preterminal stage, when the dermatitis improves. The latter event is probably a consequence of a decreased local production of ylFN due to the increasing number of infected T-helper lymphocytes or a diminished number of dermal lymphocytes available to produce this cytokine . However, in a recent study, it was shown that ylFN serum levels were much higher in HIV-positive psoriatic patients than HIV-negative subjects .

The immunodysregulation resulting from HIV infection may trigger psoriasis in those genetically predisposed by carrying the HLA-Cw*0602 allele. HLA-Cw*0602 could act as a cross-reactive target for cytotoxic T lymphocytes responding to peptides from microorganisms. Human retrovirus-5 has been implicated in the pathogenesis of psoriatic arthropathy but not psoriasis (168). Immunohistochemical studies showed similar proportions of T­lymphocyte subtypes in psoriasis of HIV-positive patients and in psoriasis of immunocompetent hosts. Furthermore, there is evidence of identical keratinocyte expression of yl FN-induced I P-1 0 in both groups (128). These two findings suggest that the cellular immune reactions involved in the pathogenesis of psoriasis may be similar in AIDS and non-AIDS patients (170).

Differential Diagnosis

Two histologic features are of great value in the diagnosis of psoriasis vulgaris: (a) mounds of parakeratosis with neutrophils at their summits (Munro microabscesses) and (b) spongiform micropustules of Kogoj in the uppermost layers of the spinous layer. Dilation and tortuosity of capillaries in the papillae may also help in the diagnosis. All other features, such as acanthosis with elongation of the rete ridges and parakeratosis, can be found also in chronic eczematous dermatitis, such as atopic dermatitis, nummular dermatitis, or allergic contact dermatitis, which then may appear to be "psoriasiform." However, the elongation of rete ridges is uneven. Although mild spongiosis may be seen in psoriasis, the presence of marked spongiosis and especially of coagulated serum as evidence of crusting in the cornified layer are features speaking against psoriasis, except in psoriasis on volar skin, in which spongiosis may be prominent. In addition, eosinophils, which are commonly found in allergic contact dermatitis and mainly in HIV-positive patients, are rarely seen in the psoriatic infiltrate. Difficulties may arise in treated lesions of psoriasis and in those with superimposed allergic contact dermatitis secondary to topical treatments. Lichen simplex chronicus is considered in the differential diagnosis of fully developed psoriatic plaques. In contrast to psoriasis, it shows a prominent granular layer, more irregular acanthosis, and fibrosis of the papillary dermis with collagen bundles aligned perpendicular to the skin surface. Seborrheic dermatitis may be very difficult to distinguish from psoriasis vulgaris, especially if overlap occurs. Accentuated spongiosis, mounds of parakeratosis with neutrophils predominantly at the follicular ostia, and more irregular acanthosis are histologic features suggestive of seborrheic dermatitis. Pityriasis rubra pi/aris shares some histologic features with psoriasis, namely, acanthosis and parakeratosis. However, it could be differentiated from well-developed lesions of psoriasis by the presence of thick suprapapillary plates, broader and shorter rete ridges, and a preserved granular layer and alternating ortho- and parakeratosis. It also lacks Munro microabscesses and neutrophils in the infiltrate . Although the Kogoj spongiform pustule is highly diagnostic of the psoriasis group of diseases,

 

including Reiter's disease, histologically typical spongiform pustules may occur also in pustular dermatophytosis, bacterial impetigo, pustular drug eruptions, and candidiasis, particularly if pustules are clinically present {172}. Periodic acid-Schiff {PAS} and Gram stains are useful for identifying the infectious microorganisms. Aggregates of neutrophils with pyknotic nuclei within areas of parakeratosis may occur in conditions other than psoriasis, but they generally differ from Munro microabscesses by being larger and less well circumscribed and by often showing crusting.

Because of the clinical and, particularly, the histologic resemblance of the tongue lesions in pustular psoriasis with those seen in geographic tongue, it has been suggested that geographic tongue represents an abortive form of pustular psoriasis .

 

error: Content is protected !!