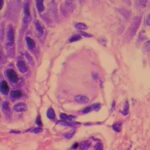
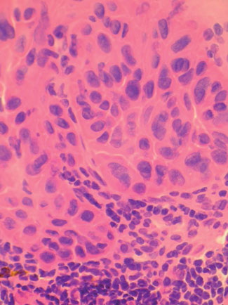
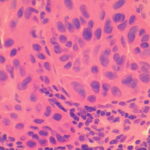
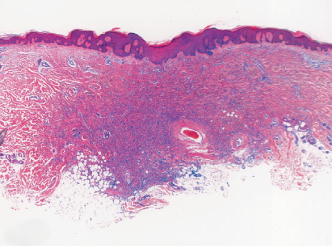
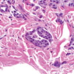
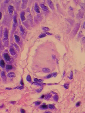
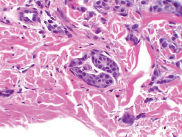
Skin Cancer and histopathology = سرطان الجلد

error: Content is protected !!