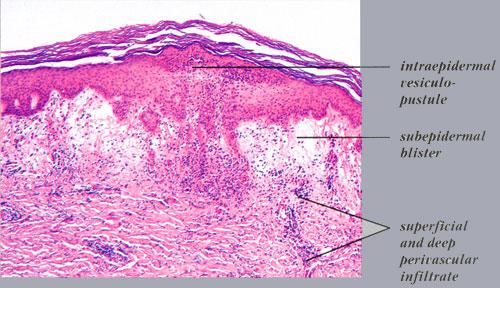
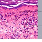
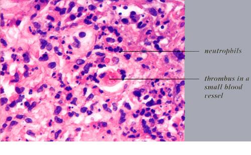
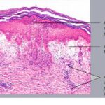
Septic vasculitis = التهاب الاوعية الانتاني

error: Content is protected !!