Pernio = الشرث

Pernio (Chilblain)

Pernio (chilblain) is a distinct form of cold-induced injury in which humidity, in addition to cold, plays a role in inducing the condition . There are acute and chronic presentations. Chilblains classically presents in young to middle-aged women as painful, burning, and/or pruritic erythematous to violaceous or cyanotic macules, papules, deep nodules, and plaques on the fingers, toes, distal extremities, and rarely face. Involvement of the thighs has been described in association with river crossings . The acute form is more common in young women. Lesions are noted within 12 to 14 hours of exposure in the acute form and persist for 10 to 14 days. The lesions may become hemorrhagic, bullous, or ulcerated, but they tend to be self-limited. The

chronic form has overlapping features with acute pernio but occurs in middle-age women and, with repeated winter recurrences, may result in slow-to-heal ulcers and scarring. A genetic predisposition has been implied, as well as a history of peripheral vascular disease (60). A childhood variant has been described and is associated with cryoproteins .

Pernio may arise in conjunction with histopathologic, clinical, and serologic features of lupus and is referred to as chilblain lupus erythematosus or lupus pernio . This may also arise in patients with chronic cutaneous or discoid lupus. Clinically, with the exception of rare verrucous lesions (69), these lesions look similar to idiopathic pernio. The main difference from idiopathic chilblains is that the lesions last for more than 1 month and persist into the hot season, and there is a very strong female predominance . These lesions may also arise on nondistal acral sites, such as the knees and elbows. Many of these patients have full-blown systemic lupus erythematosus (SLE), including renal disease and cerebritis; however, other patients with similar persistent chilblains lesions develop SLE in the future. Chilblains lupus may also be associated with Behcet’s disease, hypergammaglobulinemia, and type III cryoglobulinemia. Many patients with chilblains lupus have antibodies to SSA/Ro, with associated Raynaud’s phenomenon and photosensitivity ; however, others have not found this tight association . Patients with chilblain lupus erythematosus may present without overt lupus but are at risk of progressing to systemic lupus erythematosus from 1 to 10 years or so later . Rarely, chilblain-like lesions may be seen with leukemia cutis  and chronic cocaine use .

Histopathology.

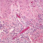
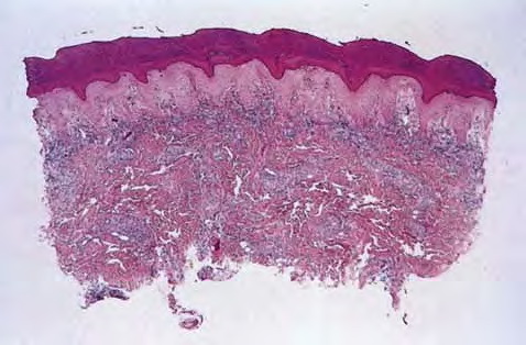
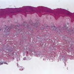
There is a superficial and deep T-Iymphocytic infiltrate around the small venules and arterioles in the dermis and subcutis, with accentuation around the deep eccrine coils . The interstitium may also be prominently involved in the superficial dermis. The infiltrate tends to be of moderate intensity but may be dense. The most superficial vessels of the papillary dermis are less involved by the infiltrate but may show congestion. Papillary dermal edema is characteristic, and although it may be quite striking, its presence is variable. A superficial variant exists, lacking involvement of the deeper portions of the tissue but showing papillary dermal edema. Lymphocytic vasculitis, characterized by endothelial cell swelling and edema and infiltration of the vessel walls by lymphocytes, without consistent presence of fibrinoid necrosis is seen . The epidermal changes range from scattered necrotic keratinocytes to epidermal pallor or necrosis. An effacing interface dermatitis is not typically seen in idiopathic pernio. In chilblain lupus erythematosus (lupus pernio), there are dermal changes similar to pernio, but in addition there is an interface dermatitis of lupus, and a positive lupus band test may be seen. Although it may not be possible reliably to distinguish chilblains lupus from idiopathic lupus, one study showed a more prominent perisudoral infiltrate in the latter. An interface dermatitis typical of lupus is not always present .

Differential DiagnosisPemio may be difficult to differentiate from lupus erythematosus. The presence of prominent dermal edema, eccrine coil accentuation of the infiltrate, and spongiosis favor pemio over lupus . Diagnostic criteria have been proposed to differentiate chilblain lupus erythematosus from idiopathic chilblains . The papular form of chilblains may be difficult to differentiate from erythema multiforme, and it may require clinical history to differentiate the two . The deep inflammatory component of pemio differentiates it from acral lesions of erythema multiforme. Polymorphous light eruption, dermal hypersensitivity, erythema annulare centrifugum, and lymphocytic infiltrate of Jessner can show a similar pattern of perivascular lymphocytic infiltrate. The presence of lymphocytic vasculitis and the clinical history of cold-induced acral lesions favor pemio. Other clinical and histologic mimickers of pernio including lesions of rheumatoid arthritis, cryofibrinogenemia, and anti phospholipid syndrome, and others lack the papillary dermal edema of pernio . Occasionally, the lymphocytic infiltrate may be so intense as to simulate cutaneous lymphoma, but the absence of atypia and presence of superficial dermal edema favor pemio. If there is cellular atypia, immunohistochemical investigations to exclude leukemia or lymphoma should be pursued.

error: Content is protected !!