Paraffinoma = الورم البارافيني

Paraffinoma

Foreign-body reactions may occur following injections of oily substances such as mineral oil (paraffin) typically into the breasts , genitalia, or scalp  for cosmetic purposes. These occur as irregular, plaquelike indurations of the skin and subcutaneous tissue . Ulcers or abscesses may develop. The interval between the time of injection and the development of induration or ulceration may be many years.

The misleading term sclerosing lipogranuloma was given to paraffinoma of the male genitalia because of the disproved assumption that it was a local reactive process following injury to adipose tissue .

 

Histopathology.

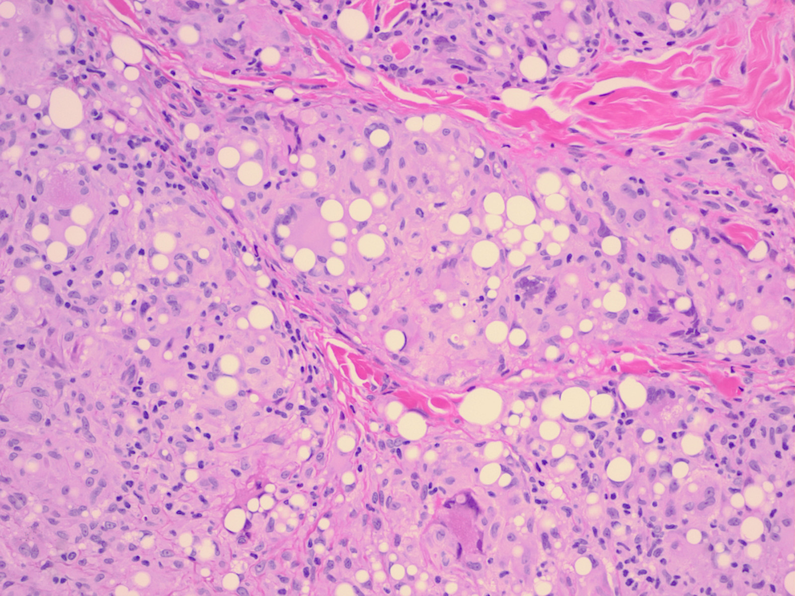
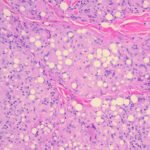
 Paraffinomas have a “Swiss cheese” appearance because of the presence of numerous ovoid or round cavities that show great variation in size. These cavities represent spaces occupied by the oily substance . The spaces between the cavities are taken up in part by fibrotic connective tissue and in part by an infiltrate of macrophages and lymphocytes. Some of the macrophages have the appearance of foam cells. Variable numbers of multinucleated foreign-body giant cells are present.

In frozen sections of paraffinoma, the foreign material stains orange with Sudan IV or oil red 0, although less so than neutral fat .

error: Content is protected !!