Pancreatic Panniculitis
Pancreatic panniculitis, also named enzymatic fat necrosis, has been associated with several pancreatic diseases, including acute and chronic pancreatitis, pancreatic carcinoma, both acinar cell and islet cell pancreatic carcinomas, pancreas divisum, pancreatic pseudocysts, vasculo-pancreatic fistulae, and drug-induced pancreatitis. In some patients with pancreatic panniculitis, the skin lesions are the presenting feature of the pancreatic disease. In some patients, however, there is no demonstrable pancreatic disease, although high serum levels of pancreatic lipase of unknown origin have been detected.
Cutaneous lesions of pancreatic panniculitis appear as erythematous, subcutaneous nodules that often ulcerate spontaneously and exude an oily brown material, which results from liquefaction necrosis of adipocytes . The most frequently involved sites are the distal parts of the lower extremities and around the ankles and knees the nodules of enzymatic fat necrosis have less commonly been described on the thighs, buttocks, calves, arms, and abdominal skin. Cutaneous lesions of pancreatic panniculitis associated with pancreatitis usually undergo resolution when the inflammatory episode regresses, in contrast with the chronic and persistent nodules of subcutaneous fat necrosis in patients with pancreatic carcinoma. Often, the onset of cutaneous lesions of pancreatic panniculitis is accompanied by acute arthritis that results from necrosis in periarticular fat tissue. Autopsy studies of patients with pancreatic carcinoma have demonstrated that the same type of enzymatic fat necrosis also occurs in bone marrow, pleural, retroperitoneal, and mesenteric fat.
Pancreatic enzymes, mostly lipase, that escape into the blood from the inflamed pancreas seem to be responsible for the subcutaneous fat necrosis in enzymatic panniculitis.The finding of pancreatic lipase in the lesions of pancreatic panniculitis and the immunohistochemical demonstration with anti-lipase monoclonal antibodies of that enzyme within the necrotic adipocytes, support the pathogenic role of pancreatic lipase. However, some individual susceptibility may also be important because there is a contrast between the relative frequency of patients with pancreatitis with high serum levels of lipase and the rare occurrence of pancreatic panniculitis.Furthermore, in vitro investigations have failed to reproduce pancreatic panniculitis when normal human subcutaneous fat is incubated with the serum of a patient with high levels of pancreatic lipase, trypsin, and amylase.Well-documented examples of pancreatic panniculitis have also been described in patients with normal serum levels of all pancreatic enzymes.
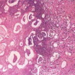
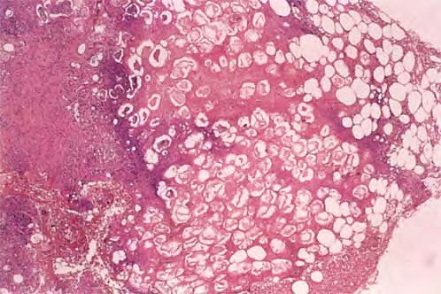
Histopathologically, pancreatic panniculitis is a mostly lobular panniculitis with intense necrosis of the adipocytes at the center of the fat lobule The characteristic features consist of coagulative necrosis of the adipocytes, which leads to ghost adipocytes. Ghost adipocytes are necrotic adipocytes that have lost their nuclei and
show a finely granular and basophilic material within their cytoplasm due to calcification . Often, ghost adipocytes appear grouped in small clusters at the center of the fat lobule, whereas an inflammatory infiltrate of neutrophils is present at the periphery and extends into the adjacent septa. Ghost adipocytes result from the hydrolytic action of pancreatic enzymes on fat, followed by calcium deposition, a process known as saponification. In late-stage lesions of pancreatic panniculitis, fat necrosis and calcified ghost adipocytes are less evident, and the fat lobule is replaced by a granulomatous inflammatory infiltrate composed of foamy histiocytes and multinucleated giant cells. Ghost adipocytes are characteristic of pancreatic panniculitis, but sometimes they are sparse and are only found after serial sections.
Treatment of pancreatic panniculitis is primarily directed at the underlying pancreatic disease. When the pancreatic problem can be reversed with surgical correction, complete resolution of the cutaneous lesions occurs.