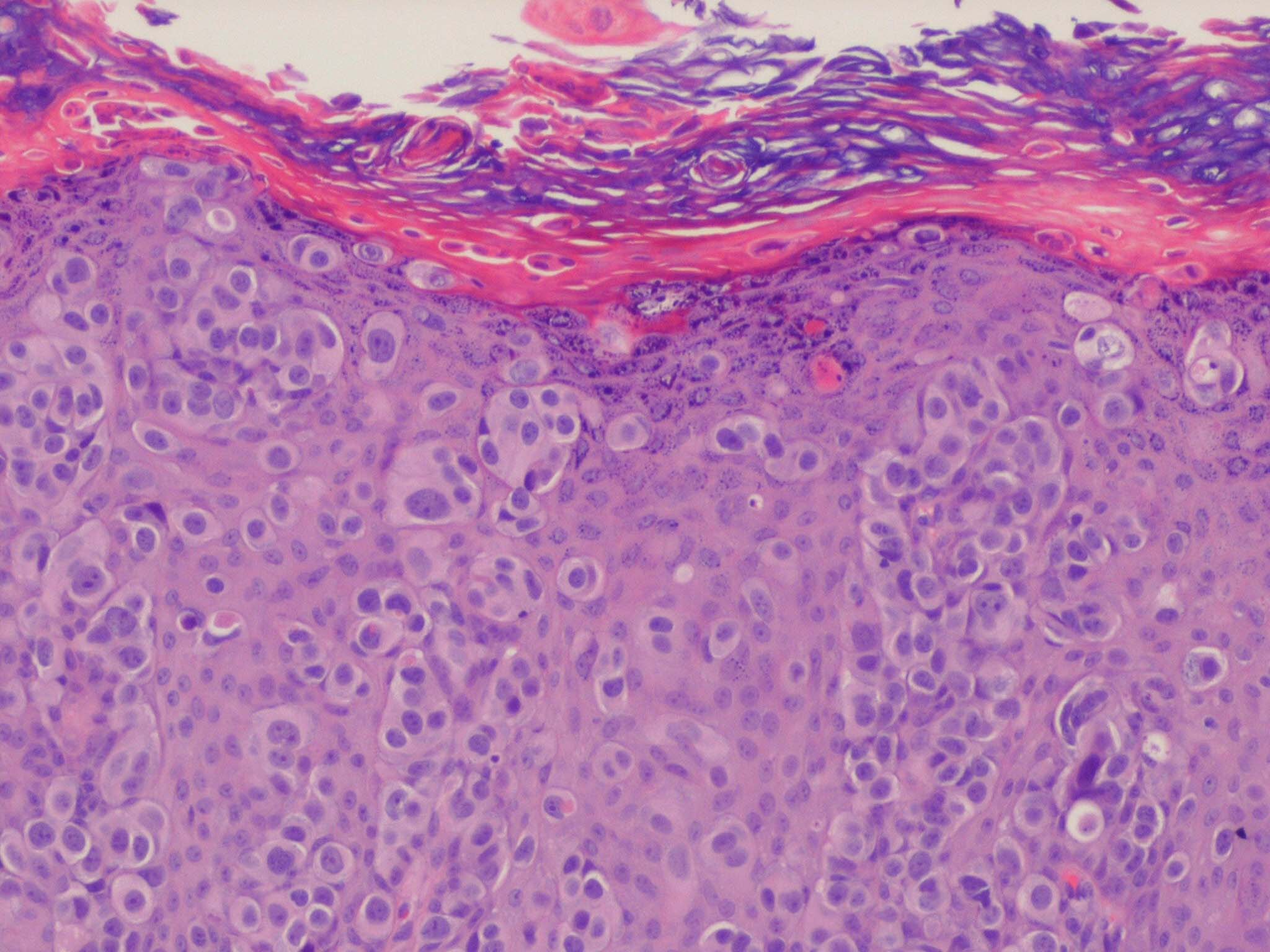
Paget disease = داء باجت

Pacinian corpuscle

Pacinian corpuscle. This pacinian body has a distorted outline. At the periphery, there is a well-formed dense fibrous membrane. Elongated spindle cells are compressed among the compactly arranged collagen fibers. At the center, an acidophilic punctum is representative of a single axon. Cytoplasmic processes of sheath cells are clustered about the axon. There is an intermediate zone in which spindle cells are loosely spaced in a clear matrix. Regardless of the results of immunoreactions, the loosely spaced spindle cells have the morphologic features of perineurial cells.  

error: Content is protected !!