Nummular Dermatitis = التهاب الجلد المدنر= الاكزيمة المدنرة

Nummular Dermatitis

In nummular dermatitis, the eruption is characterized by pruritic, coin-shaped (nummular), erythematous, scaly, crusted plaques. The lesions tend to develop on the extensor surfaces of the extremities.

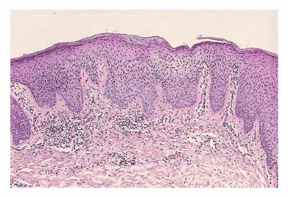
HistopathologyNummular dermatitis is the prototype of subacute spongiotic dermatitis . There is mild to moderate spongiosis, usually without vesiculation. Irregular acanthosis with some exocytosis of inflammatory cells is usually present. The parakeratotic stratum corneum contains aggregates of coagulated plasma, forming a crust. Mild papillary dermal edema and vascular dilatation may be present.

There is superficial perivascular infiltrate of lymphocytes, some eosinophils, occasional neutrophils, and plasma cells.

Pathogenesis. The etiology of this entity is unknown. The routine and ultrastructural changes in nummular dermatitis resemble those of contact dermatitis. Intercellular edema is the most conspicuous finding. There is shearing and loss of desmosomes as spongiosis becomes marked.

error: Content is protected !!