Nevus_comedonicus = الوحمة الزؤانية

Nevus Comedonicus

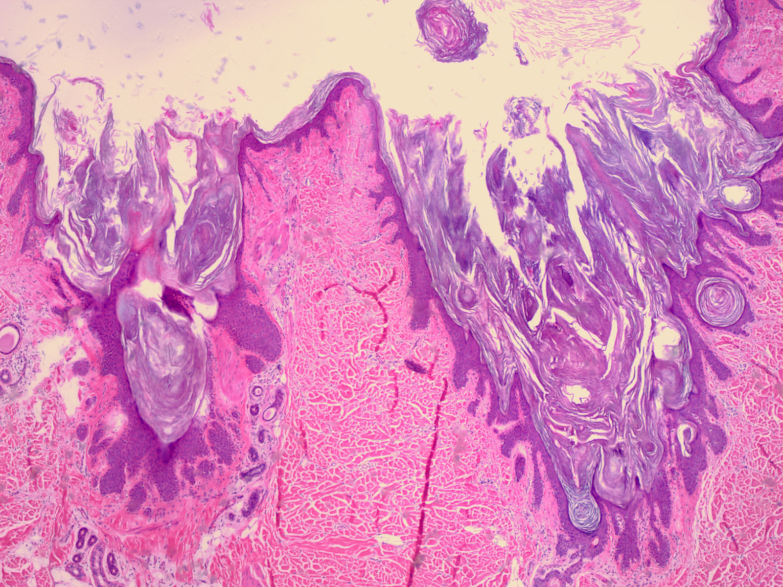
A nevus comedonicus consists of closely set, slightly elevated papules that have in their center a dark, firm, hyperkeratotic plug resembling a comedo. Nevus comedonicus, like linear epidermal nevus, usually has a linear configuration and occurs as a single lesion. In some instances, however, there are multiple bilateral linear lesions  or lesions that are randomly distributed rather than linear . Lesions may be present on the palms or soles in addition to other areas . Such cases may represent a combination of nevus comedonicus with a porokeratotic eccrine duct nevus (see text following).

Histopathology. Each comedo is represented by a wide, deep invagination of the epidermis filled with keratin. These invaginations resemble dilated hair follicles; in fact, as evidence that they actually represent rudimentary hair follicles, one occasionally finds in the lower portion of an invagination one or even several hair shafts . One or two small sebaceous gland lobules may also be seen opening into the lower pole of invaginations .

In several instances, the keratinocytes composing the follicular epithelial wall have shown the typical changes of epidermolytic hyperkeratosis (see text following) , indicative of a relationship of nevus comedonicus to systematized nevus verrucosus.

error: Content is protected !!