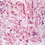
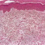
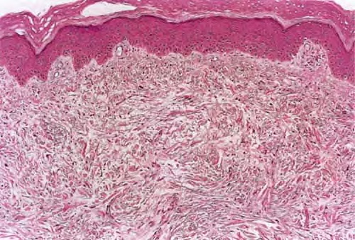
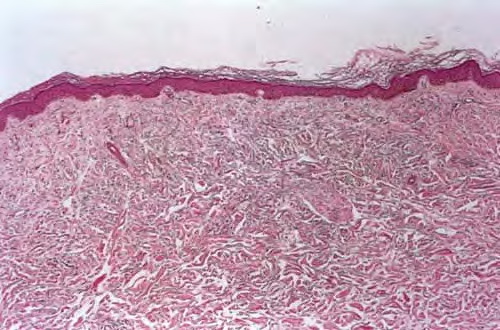
Myxoedema =الوذمة المخاطية

error: Content is protected !!