MUCINOUS CARCINOMA
Epidemiology.
Primary mucinous carcinoma of the skin (colloid, gelatinous, or adenocystic carcinoma) is a rare, low-grade carcinoma.
Etiology.
This lesion bears close morphologic resemblance to mucinous carcinoma of the breast.
Clinical Findings.
It presents as a solitary, slowly growing, soft to firm, grayish, reddish, or bluish smooth-surfaced nodule measuring up to 3 cm in diameter. Lesions tend to occur in older adults (particularly men) on the head and, particularly, around the eyelids. Scalp tumors may occur as a patch of alopecia.
Laboratory Tests.
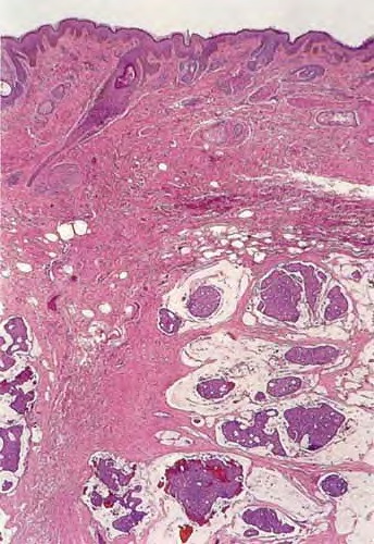
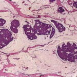
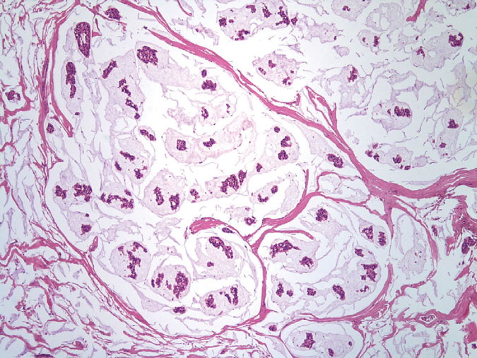
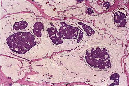
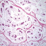
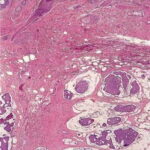
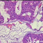
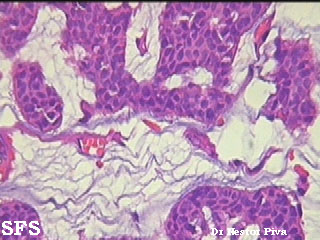
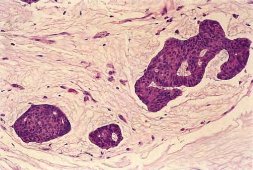
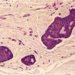
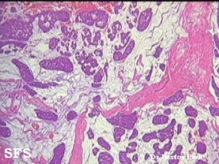
There are solid and cystic aggregations of neoplastic cells within the dermis, often with extension to the subcutis, embedded in large pools of mucin. Mucinous areas are typically separated by fibrous septae.
Prognosis and Clinical Course.
Recurrences have been reported in about 28 percent of cases. Metastases are rare and involve mostly regional lymph nodes.
Treatment.
Treatment is by wide surgical excision.