Milium= الدخنية

Milium

 

 

 

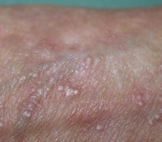
Milia are minute epidermoid cysts, lined with epidermis and filled with keratin.

 

Epidemiology.

Milia are common congenital and acquired lesions in both infants and adults. Men and women are affected equally.

 

ETIOLOGY AND PATHOGENESIS

Milia are thought to result from pilosebaceous or eccrine sweat duct plugging. These superficial lesions can be primary or secondary, with the latter resulting from injury to the skin. Secondary lesions are common in sub-epidermal blistering diseases such as epidermolysis bullosa and porphyria cutanea tarda, burns, after dermabrasion or ablative laser resurfacing, or in conjunction with topical therapy such as glucocorticoid therapy or 5-fluorouracil treatment.

 

CLINICAL FEATURES

Milia are 1- to 2-mm, white, domed papules commonly located on the cheeks and eyelids of adults . In infants, milia are common on the face and the mucosa. Epstein’s pearls are milia on the palate. Eruptive milia have been reported, though this is a rare occurrence. Milia en plaque is a plaque-type, inflammatory variant of milia that is commonly located on the ear. Acquired milia  can be located anywhere the predisposing trauma or other factors have occurred.

 

PATHOLOGY

The pathology of a milium is similar to that of an epidermoid cyst, but the small size and occasional connection to eccrine ducts or vellus hair follicles distinguish these two entities. Bacteria are not usually seen in milia.

 

TREATMENT

Congenital milia tend to spontaneously resolve. Acquired milia can resolve spontaneously as well, but can also be removed by disrupting the overlying epidermis with light electrodesiccation or an 11-blade and expressing the keratin contents.

error: Content is protected !!