Leukoplakia = الطلاوة

 

 

LEUKOPLAKIA

 

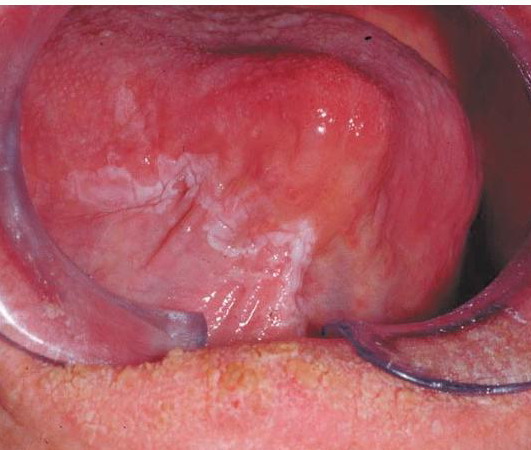
Leukoplakia is a clinical term that refers to a predominantly white lesion of the oral mucosa that cannot be rubbed off or characterized by any other definable lesion or known disease.130 Leukoplakia is the most common precancerous lesion of the oral mucosa, with the potential to become oral SCC (OSCC).131 Oral leukoplakia (OL) is in the same clinical spectrum of disease as oral erythroplakia (OE), but unlike OE it is a much more frequently diagnosed lesion with a much lower rate of malignant transformation.

Epidemiology

The reported prevalence of OL varies from 0.2 percent to 5 percent, although such rates vary significantly among different geographical areas and demographic groups.132 In a worldwide systematic review of OL that included multiple studies involving more than 1000 subjects, prevalence rates varied between 0.50 percent and 3.46 percent. The pooled prevalence estimate of OL in this study was between 1.49 percent and 4.27 percent.

In addition to potentially becoming a malignant growth, OL, and for that matter OE, have come to be viewed as risk factors or markers for other epithelial cancers of the oral cavity and upper aerodigestive tract. The concept of field cancerization applied to the oral mucosa implies that its entire surface can be affected by carcinogens. Indeed, approximately 20 percent of patients with SCC of the head and neck will develop another malignancy or precancerous lesion within 5 years of the first diagnosis.134

Etiology and Pathogenesis

Given the current definition of leukoplakia, identification of an etiologic factor for a given white lesion would exclude this diagnosis. Two factors in this setting are tobacco use and candidiasis. Tobacco use is believed to be a strong risk factor for the development of OL. Tobacco-related white lesions of the oral mucosa have been identified and then subsequently found to disappear once the habit of tobacco use has been discontinued. By current definitions and standards, such tobacco-related white lesions are thought to be different entities than true OL, which would not disappear with cessation of tobacco use.

Likewise, there has been much debate as to whether or not Candida infection is a cause of leukoplakia or a superimposed infection within a pre-existing OL lesion. If one adheres to the strict and accepted definition of leukoplakia, a white lesion that disappears upon treatment of Candida infection is not leukoplakia. Thus, it is probably best to make a preliminary diagnosis of leukoplakia and then treat any underlying candidal infection and have the patient discontinue use of any tobacco products to see if the white lesion resolves. If such a lesion then resolves, it is not true leukoplakia.

       

OL is clinically divided into two sub-types: homogeneous OL and non-homogeneous OL. Homogeneous OL has been defined as a mostly white, flat, uniform lesion that may have shallow cracks and a smooth, wrinkled, or corrugated surface that is consistent throughout.137 Non-homogeneous OL has been defined as a mostly white or white and red lesion (erythroleukoplakia) that may be either irregular and flat, nodular (speckled), ulcerative, or verrucous. Non-homogeneous OL purportedly has a risk of malignant transformation that is four to five times higher than that of homogeneous OL. Another clinical sub-type of OL is proliferative verrucous leukoplakia, whichis most often found in patients who do not use tobacco products. This sub-type has a high rate of transformation to malignancy.

 

Histopathology 

If the provisional diagnosis of OL is at all in doubt and/or a waiting period to assess for possible regression or disappearance of a white lesion after eliminating possible causative factors has not resulted in resolution of the lesion, the next advisable step in evaluating the oral white lesion is to obtain a biopsy specimen for histopathologic diagnosis. This is where the concepts of epithelial dysplasia and carcinoma in situ enter the picture.

In relation to the oral mucosa, epithelial dysplasia has been defined as a “precancerous lesion of stratified squamous epithelium characterized by cellular atypia and loss of normal maturation and stratification short of carcinoma in situ.” Carcinoma in situ of the oral cavity has been described as “a lesion in which the full thickness, or almost the full thickness, of squamous epithelium shows the cellular features of carcinoma without stromal invasion.” Criteria have been put forth for diagnosing these changes, and the more prominent and numerous the designated features are, the more severe the grade of dysplasia.

Diagnosis and Differential Diagnosis

A diagnosis of leukoplakia is made when a fixed white lesion of the oral mucosa is detected and cannot be identified as any other definable lesion or condition. Some suggest distinguishing between a provisional clinical diagnosis of OL and a definitive diagnosis of OL.130 A provisional diagnosis of OL is made at the time of the initial examination when no other diagnosis for the white lesion is obvious. At this point, other possibilities to consider in the differential diagnosis are tobacco-associated lesions, Candida-associated lesions, lichen planus, leukoedema, lupus erythematosus, Epstein-Barr virus-associated oral hairy leukoplakia, oral white sponge nevus, mechanical or frictional irritation, contact lesions, cheek/lip/tongue biting, linea alba, aspirin burn, OSCC, and verrucous carcinoma . If causative factors for the white lesion are suspected, it is recommended that these factors be eliminated for a period of 2 to 6 weeks to observe for regression of the white lesion. If on re-evaluation the white lesion persists, biopsy should be performed. If the lesion is a clinically high-risk one, biopsy should be performed before such a waiting period.

CLINICAL DIFFERENTIAL DIAGNOSIS OF ORAL

 

LEUKOPLAKIA

  • ·         Tobacco-associated lesion
  • ·         Candida-associated lesion
  • ·         Leukoedema
  • ·         Lichen planus
  • ·         Lupus erythematosus
  • ·         Linea alba
  • ·         Habitual cheek biting
  • ·         Frictional lesion
  • ·         Aspirin burn
  • ·         Oral white sponge nevus
  • ·         Oral hairy leukoplakia
  • ·         Verrucous carcinoma
  • ·         Squamous cell carcinoma

 

CLINICAL DIFFERENTIAL DIAGNOSIS OF ORAL

ERYTHROPLAKIA

  • ·         Erythematous candidiasis
  • ·         Atrophic lichen planus
  • ·         Lupus erythematosus
  • ·         Pemphigus
  • ·         Cicatricial pemphigoid
  • ·         Kaposi sarcoma
  • ·         Chronic contact or allergic contact dermatitis
  • ·         Chronic mechanical trauma
  • ·         Thermal or mechanical injury
  • ·         Squamous cell carcinoma
  • ·         Amelanotic melanoma

Prognosis and Clinical Course

Once a definitive diagnosis of OL has been made, the risk of transformation to OSCC needs to be evaluated. The rate of malignant transformation of OL into OSCC has been found to vary from almost 0 percent to 20 percent in 1 to 30 years. A study based on European epidemiologic data investigated the natural limit of malignant transformation of OL to OSCC. This study concluded that the upper limit of the annual malignant transformation rate of OL is unlikely to exceed 1 percent.132

DNA aneuploidy has shown the most promise as a prognostic indicator. DNA content (DNA ploidy) of a cell roughly estimates the amount of genetic instability and aberrant DNA. In malignancies the genetically stable diploid and tetraploid cells are replaced by genetically unstable aneuploid cells. In some studies DNA aneuploidy was a powerful predictor of the development of OSCC in OL lesions, whereas normal DNA content indicated a low risk.145 A more recent study showed that additional oral malignancies consistently arose in patients whose dysplastic OL was marked by aneuploidy and that these individuals also had worse survival rates.146 In addition, these investigators found that surgical removal of these dysplastic OL lesions with histologically clear margins did not result in better outcomes. They proposed that it is aneuploidy that best predicts poor survival in dysplastic OL.

Treatment and Prevention

There is no consensus on the most appropriate treatment for OL. Some recommend the following approach: if no or mild epithelial dysplasia exists histopathologically, pursue treatment if the OL is in a high-risk location or is large; if moderate or severe dysplasia exists histopathologically, then active treatment to remove the entire lesion is recommended.

Because the recurrence of OL after treatment is common, because the risk of OSCC is present with or without treatment, and because patients with OL are at increased risk for additional head and neck malignancies, these patients need to be followed at regular intervals with thorough examinations and potentially with additional sampling biopsies. Follow-up intervals may vary from every 3 months in individuals at high risk to every 6 months in those at lower risk, for the rest of the patients' lives.

Despite all the controversies and inconsistencies surrounding OL, standard historical, clinical, and histopathologic findings are still the most important factors for predicting the possibility of malignant transformation of precancerous oral lesions. Evaluation for DNA aneuploidy in dysplastic OL may represent a useful tool in the near future for predicting potential aggressiveness and poor outcomes, but it is not yet available in mainstream clinical practice.

Treatment plans are guided mostly by findings from careful clinical and oral examinations, especially in individuals at high risk, and by histopathologic evaluation for the presence and degree of epithelial dysplasia

error: Content is protected !!