Kyrle disease = داء كيرل

Kyrles Disease

Kyrle’s disease is a rare disorder, described by Kyrle in 1916 . There is controversy as to whether it represents a distinct entity, an exaggerated form of perforating folliculitis , or actually comprises a group of disorders with similar epidermal-dermal reaction patterns associated with chronic renal failure, diabetes, prurigo nodularis, and even keratosis pilaris. Therefore, the discussion of Kyrle’s disease and perforating disorders seen in chronic renal disease and/or diabetes has a very broad overlap in terms of their clinical and pathologic features.

Clinical Features.

This eruption presents with a large number of papules, some coalescing into plaques, numbering in the hundreds and often distributed on the extremities. Although some may appear to involve the follicular units, these lesions are more likely to be extrafollicular. The typical patient is young to middle aged and often has a history of diabetes mellitus. The papules are dome shaped, 2 to 8 mm in diameter, with a central keratotic plug. Excoriations often are found in the vicinity of these lesions. Linear lesions related to possible koebnerization have been described.

 

Histopathology.

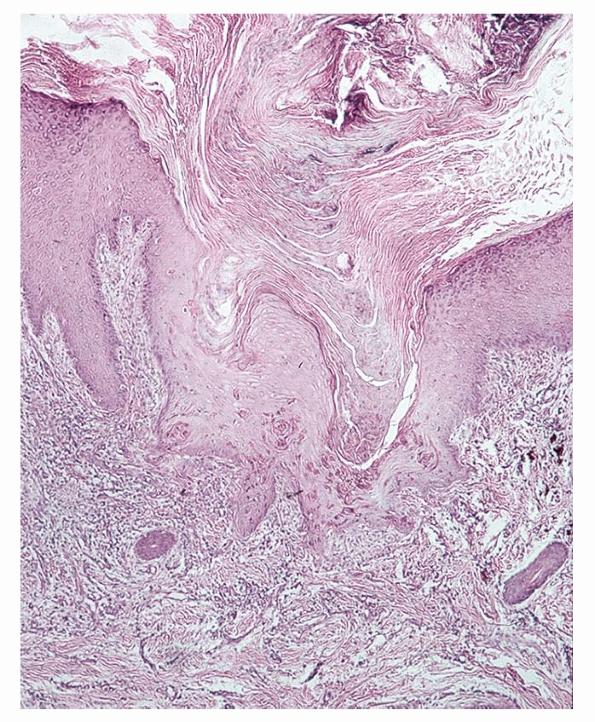
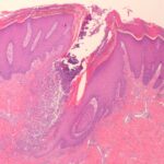
 The essential histopathologic findings include (a) a follicular or extrafollicular cornified plug with focal parakeratosis embedded in an epidermal invagination, (b) basophilic degenerated material identified in small collections throughout the plug with absence of demonstrable collagen and elastin, (c) abnormal vacuolated

and/or dyskeratotic keratinization of the epithelial cells extending to the basal cell zone, (d) irregular epithelial hyperplasia, and (e) an inflammatory component that is typically granulomatous with small foci of suppuration (Fig. 15-3). In most instances, it is important to perform elastic tissue stains and even trichrome stains to exclude perforating elastic fibers, as in elastosis perforans serpiginosa, or collagen fibers, as in RPC

Histogenesis                                                                                                                                       The primary event is claimed to be a disturbance of epidermal keratinization characterized by the formation of dyskeratotic foci and acceleration of the process of keratinization. This leads to the formation of keratotic plugs with areas of parakeratosis . Because the rapid rate of differentiation and keratinization exceeds the rate of cell proliferation, the parakeratotic column gradually extends deeper into the abnormal epidermis, leading in most cases to perforation of the parakeratotic column into the dermis. Perforation is not the cause of Kyrle’s disease, as originally thought , but rather represents the consequence or final event of the abnormally sped-up keratinization. This rapid production of abnormal keratin forms a plug that acts as a foreign body, penetrating the epidermis and inciting a granulomatous inflammatory reaction. A certain similarity exists between the parakeratotic column in Kyrle’s disease and that observed in porokeratosis of Mibelli . In both conditions, a parakeratotic column forms as the result of rapid and faulty keratinization of dyskeratotic cells, but, whereas in Kyrle’s disease the dyskeratotic cells are often used up so that disruption of the epithelium occurs, the clone of 

error: Content is protected !!