Keratosis follicularis = التقران الجرابي

Keratosis Pilaris

This common persistent condition characteristically affects the lateral aspect of the arms, thighs, and buttocks. Keratotic follicular papules, sometimes with surrounding erythema, are present. They are usually asymptomatic. Keratosis pilaris may be seen in association with ichthyosis vulgaris  and appears to be more common in patients with atopic dermatitis.

Similar lesions may form as part of a variety of more extensive erythematous keratinizing disorders. Keratosis pilaris rubra is a variant that shows more widespread skin involvement and more prominent erythema . Keratosis pilaris atrophicans represents a spectrum of clinical conditions, including keratosis follicularis spinulosa decalvans , in which the involved follicle becomes atrophic and destroyed, sometimes associated with scarring alopecia of the scalp.

 

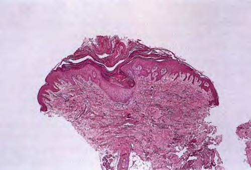
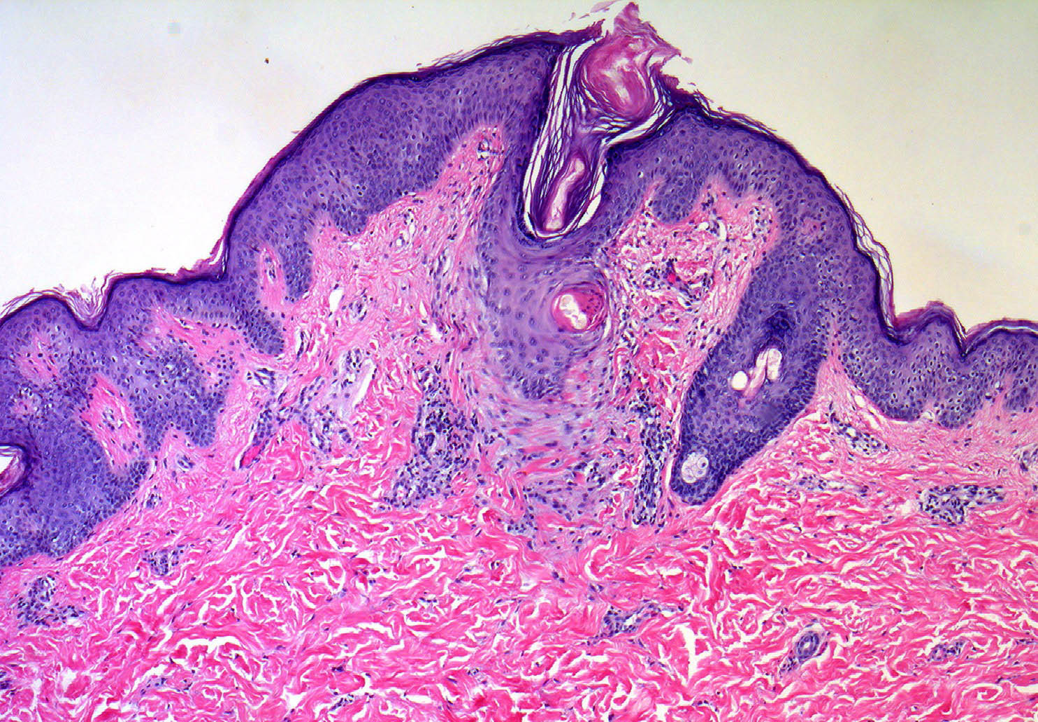
Histopathology.

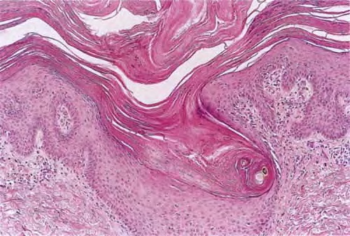
 An orthokeratotic keratin plug blocks and dilates the orifice and upper portion of the follicular infundibulum . A twisted hair shaft may be trapped within this keratin material, and mild perivascular mononuclear cell infiltrates are usually present in the adjacent dermis.

A similar condition, lichen spinulosus , shows a very similar histologic picture except that the keratin plug may protrude more substantially above the skin surface and contain one or more hair shafts . Lesions similar to keratosis pilaris may also be seen in phrynoderma , but the follicular keratin plug is said to be parakeratotic .

Patho Genetic factors may playa role in this condition. Patients with a generalized form of keratosis pilaris

were found to have a chromosome 18p deletion, implicating a gene on the short arm of chromosome  .

error: Content is protected !!