Inflammatory linear verrucous epidermal nevus = وحمة بشروية خطيةثؤلولية التهابية

Linear Epidermal Nevus

Linear epidermal nevi, or verrucous nevi, may be either localized or systematized.

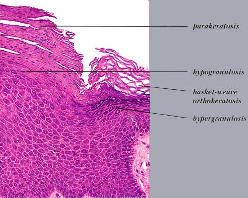
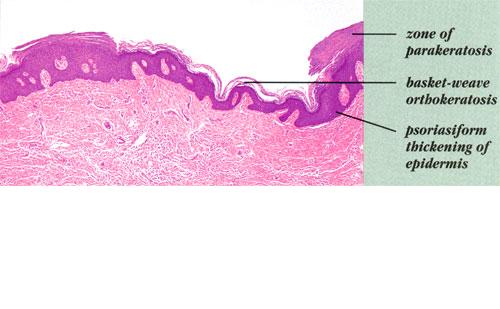
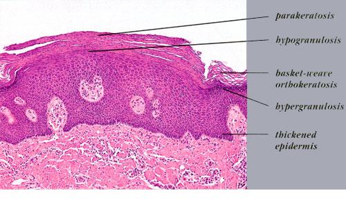
In the localized type, which is present usually but not invariably at birth, only one linear lesion is present. It consists of closely set, papillomatous, hyperkeratotic papules. It may be located anywhere-on the head, trunk, or extremities. Being located on only one side of the patient, it is often referred to as nevus unius lateris . In its configuration, the localized type of linear epidermal nevus resembles the inflammatory linear verrucous epidermal nevus (ILVEN), but the latter differs clinically by the presence of erythema and pruritus and histologically by the presence of inflammation and parakeratosis .

In the systematized type, papillomatous hyperkeratotic papules in a linear configuration are present not just as one linear lesion, as in the localized type, but as many linear lesions. These linear lesions often show a parallel arrangement, particularly on the trunk. They may be limited to one side of the patient or may have a bilateral, symmetric distribution. The term ichthyosis hystrix is occasionally used, perhaps unnecessarily, for instances of extensive bilateral lesions .

Localized and, more commonly, systematized linear epidermal nevi may be associated with skeletal deformities and central nervous system deficiencies, such as mental retardation, epilepsy, and neural deafness .

The presence of a basal cell epithelioma within a linear epidermal nevus has been observed occasionally, particularly on the head in cases in which the linear epidermal nevus has been associated with either a nevus sebaceous or a syringocystadenoma papilliferum . In areas other than the head, it is very rare . Similarly, development of a squamous cell carcinoma has been described only rarely , but in one instance the squamous cell carcinoma had metastasized to a regional lymph node .

Histopathology.

 Nearly all cases of the localized type of linear epidermal nevus and some cases of the systematized type show the histologic picture of a benign papilloma . One observes considerable hyperkeratosis, papillomatosis, and acanthosis with elongation of

keratosis .

Occasionally in cases of the localized type, but quite frequently in cases of the systematized type, particularly those with a widespread distribution, one observes the rather striking histologic picture referred to either as epidermolytic hyperkeratosis  or as granular degeneration of the epidermis . It is the same process that was first recognized in all cases of bullous congenital ichthyosiform erythroderma, a disorder that is often referred to as epidermolytic hyperkeratosis . It has since been

found to occur in several other conditions as well (see Isolated and Disseminated Epidermolytic Acanthoma).

In some instances, histologic examination of unilateral linear lesions reveals features of acantholytic dyskeratosis as seen in Darier’s disease (see Chapter 6). In some patients, these linear lesions have been present since birth or infancy , but in most instances they have arisen in adult life . Because acantholytic dyskeratosis is not specific for Darier’s disease, the proposal has been made to designate such cases not as Darier’s disease, but as acantholytic dyskeratotic epidermal nevus .

Differential Diagnosis.

 The histologic picture of a benign papilloma, as found in most cases of linear epidermal nevus, can also be seen in seborrheic keratosis, verruca vulgaris, and acanthosis nigricans. Even though these four conditions have in common hyperkeratosis and papillomatosis, they can be differentiated easily in typical cases; however, one is occasionally unable to make a diagnosis any more specific than benign papilloma. Thus, in the following three situations, clinical data are required for differentiation from linear epidermal nevus: (a) the hyperkeratotic type of seborrheic keratosis, which is characterized by the absence of basaloid cells and horn cysts and instead shows upward extension of epidermis-lined papillae; (b) old verrucae vulgares, which no longer show vacuolization of epidermal cells or columns of parakeratosis ; and (c) acanthosis nigricans showing more pronounced acanthosis and greater elongation of the rete ridges than usual .

error: Content is protected !!