HIDRADENOMA
Epidemiology.
Hidradenoma (eccrine acrospiroma) presents mainly in adults, primarily in women.
Clinical Findings.
Hidradenoma presents as a slowly growing, firm, solitary, smooth-surfaced, usually bluish-red, movable dermal and/or subcutaneous papule or nodule. Lesions are located mostly on the scalp, face, trunk, and abdomen, and, occasionally, on the extremities . Unusual presentations include childhood neoplasms, large or rapidly growing lesions, painful and/or ulcerated lesions, as well as pedunculated tumors.
Histopathology.
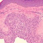
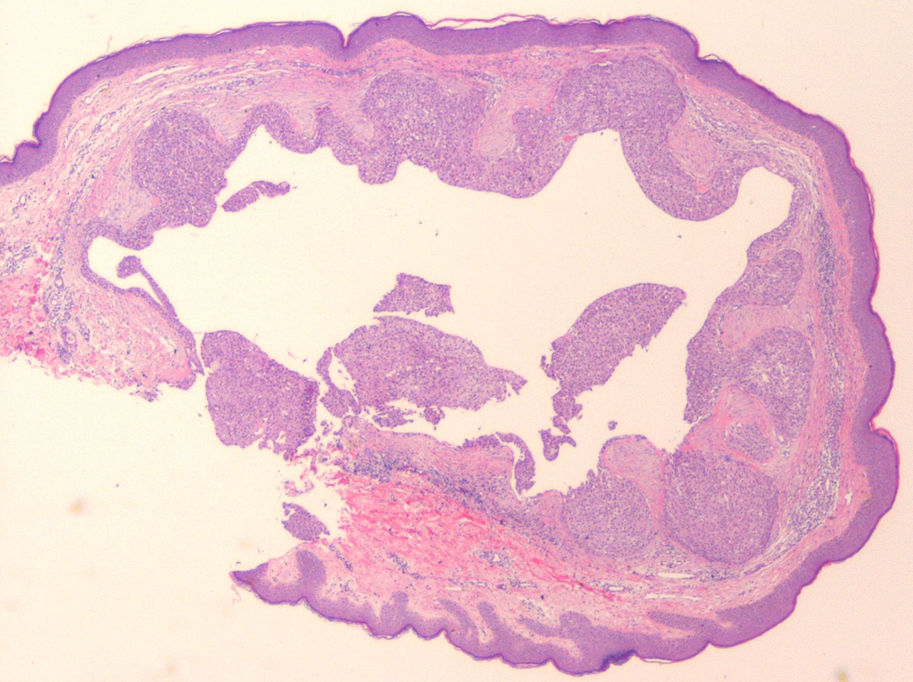
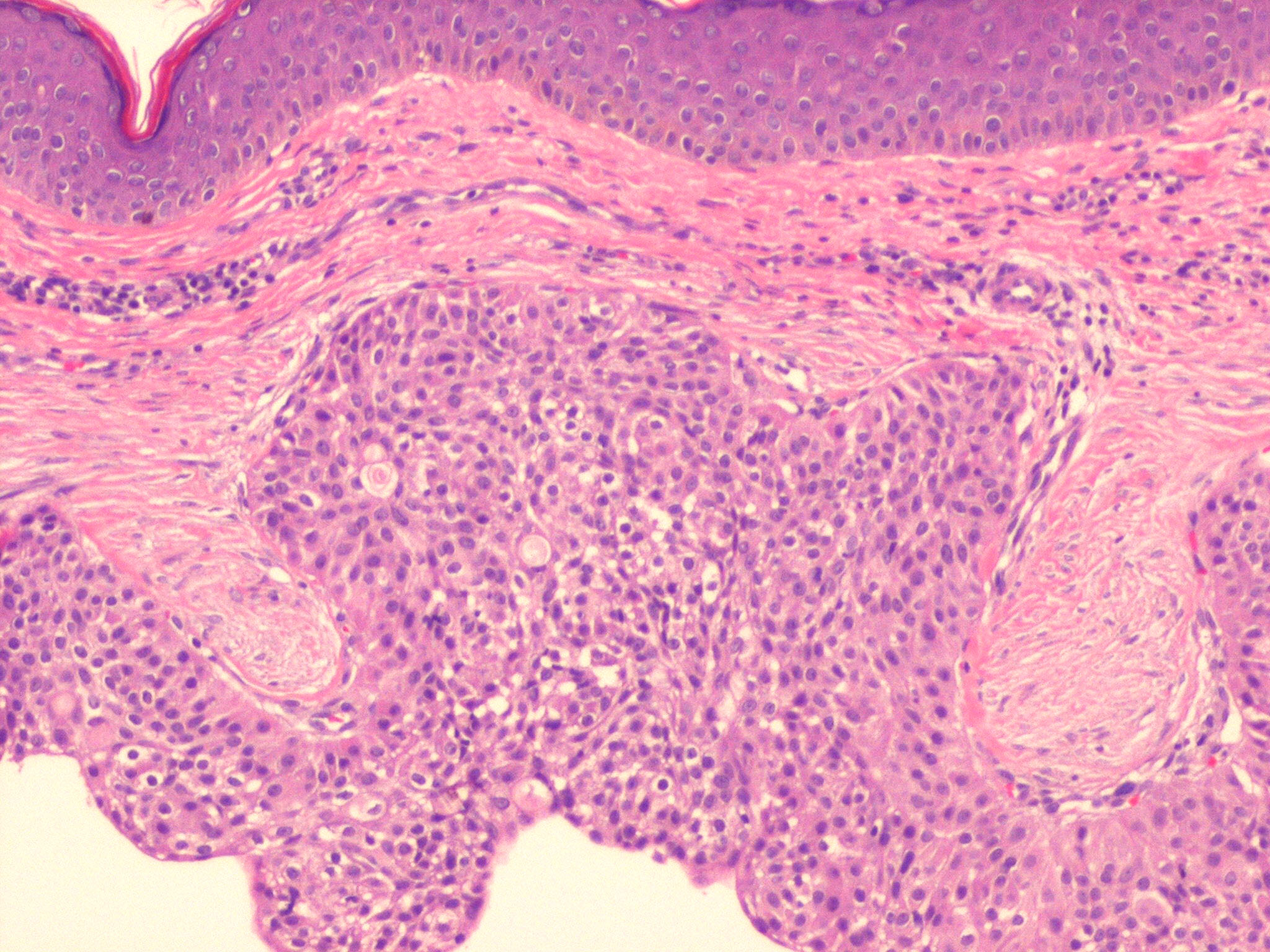
A nodular, solid, or solid-cystic lesion in the dermis, sometimes with extension to the subcutis . The epithelial component consists of closely packed aggregations of round, fusiform, or polygonal cells with either eosinophilic or clear cytoplasm. Individual lesions show a variable cellular composition. Clear cells predominate in about one-third of cases. Mitotic figures are sometimes noted within the epithelial component, a feature that does not generally indicate malignancy. The cystic spaces are often filled with mucin.
Prognosis and Clinical Course.
Hidradenoma shows a high rate of local recurrence and may rarely undergo malignant transformation.
Treatment.
Treatment is complete surgical excision.