Henoch schoenlein purpura = فرفرية هينوخ شونلاين

Henoch-Schonlein Purpura

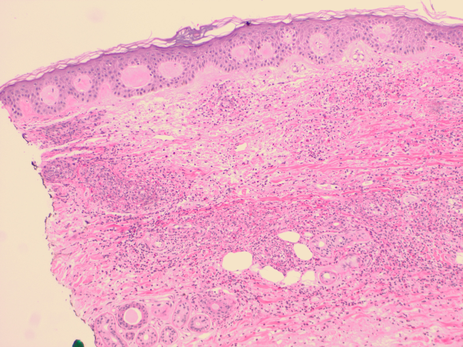
Henoch-Schonlein purpura (H-SP) is clinically characterized by palpable purpura of the buttocks and lower extremities, abdominal pain, and hematuria . Retiform or patterned purpura is considered characteristic of H-SP. It typically affects children after streptococcal upper respiratory tract infections and is usually self-limited, with a resolution expected

6 to 16 weeks after the onset of symptomatology. Complications generally arise from renal involvement that may even necessitate kidney transplantation. IgA myeloma has also resulted in HSP-like manifestations .

Acute infantile hemorrhagic edema (AHE) is an uncommon benign form of cutaneous vasculitis occurring in children younger than 2 years of age and is considered by some to be a variant of HS-P. AHE often presents with striking inflammatory edema and ecchymotic purpura with a targetoid or cockade appearance. Recently, rotavirus infection has been implicated in one case .

Histopathology.

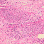
 Henoch-Schonlein purpura cannot be distinguished histologically from other forms of LCV, although the degree of vascular damage is often not as great as that usually observed in typical LCV. Immunofluorescence studies typically demonstrate the deposition of IgA in capillaries (Fig. 8-11). Such a limited extent of vascular damage is also commonly observed in urticarial vasculitis (see text following), and clinical findings may be necessary for distinction of H-SP from urticarial vasculitis. IgA-associated vasculitis may occur outside of the symptom complex of H-SP (52). However, serologic detection of IgA-fibronectin aggregates may be associated with greater likelihood of renal or systemic disease in patients with cutaneous LCV .

error: Content is protected !!