Halo naevus = الوحمة الهالية

Halo Nevus

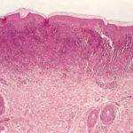
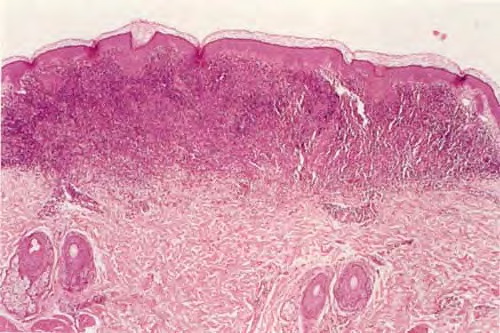
A halo nevus, also known as Sutton's nevus or nevus depigmentosa centrifugum, represents a pigmented nevus surrounded by a depigmented zone or halo . The nevus may be of almost any of the types described in the preceding sections, and a similar halo reaction may be seen rarely in relation to primary or metastatic melanoma . In the common type of halo nevus, which is characterized histologically by an inflammatory infiltrate and is therefore referred to as inflammatory halo nevus, the central nevus only rarely shows erythema or crusting; however, it undergoes involution in most instances, a process that extends over a period of several months. The area of depigmentation shows no clinical signs of inflammation and, even though it may persist for many months and even years, it ultimately repigments in most cases. Halo nevi tend to progress through several clinical stages. The classic early lesion is a brown nevus with a surrounding, usually symmetric rim of vitiligo-like depigmentation. The central nevus may then lose its pigment and appear pink with a surrounding halo; the central papule may then disappear, leading to a circular area of macular depigmentation, or the depigmented area may repigment, leaving no trace of its prior existence. In unusual lesions, darkening of the central nevus rather than lightening has been described . Most persons with halo nevi are children or young adults, and the back is the most common site. Not infrequently, halo nevi are multiple, occurring either simultaneously or successively.

Besides the more common inflammatory halo nevus with histologically apparent inflammation, there also are cases of noninflammatory halo nevi in which histologic examination shows no inflammatory infiltrate . In such instances, the nevus does not involute. In addition, there is the so-called halo nevus phenomenon, also referred to as halo nevus without halo. In these instances, the nevus shows histologic signs of inflammation analogous to a halo nevus but without presenting a halo clinically (306). Such nevi mayor may not involute. An association with Turner's syndrome has been recently described .

Halo dermatitis around a melanocytic nevus refers to a temporary inflammatory reaction surrounding a nevus (Meyerson's eczematous nevus) (308). There is a papular compound nevus that becomes surrounded by an eczematous halo. Histologically, the epidermis adjacent to the nevus is spongiotic. An analogous phenomenon of "nevocentric" erythema multiforme has also been described in which cytotoxic/interface alterations predominate . Similar changes may be seen around atypical or dysplastic nevi .

 

Histopathology.

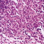
 An inflammatory halo nevus in its early stage shows nests of nevus cells embedded in a dense inflammatory infiltrate, in the upper dermis, and at the epidermal-dermal junction . Later, scattered nevus cells tend to predominate over nests. Even when melanin is still present in the nevus cells, these cells often show evidence of damage to their nucleus and cytoplasm, and some frankly apoptotic nevus cells are commonly observed. Some cells, especially superficially, may have enlarged ovoid nucleoli, changes that may be regarded as a form of "reactive atypia." High-grade nuclear atypia is not observed. Of importance, the lesional cells tend to show evidence of maturation, becoming smaller

with descent from superficial to deep within the lesion. Nevus cell mitoses are rare, and if present should prompt consideration of the possibility of melanoma. In this regard, it may be difficult to differentiate nevus cell mitoses from those attributable to the reactive mononuclear cells, a problem we have found to be lessened by use of a combined (dual) Mib-1 (Ki-67) and Melan-AIMART-1 stain. Most of the cells in the dense inflammatory infiltrate are lymphocytes. However, some of them are macrophages, in which varying amounts of melanin are contained. As the infiltrate invades the nevus cell nests, it often is difficult to distinguish between the lymphoid cells of the infiltrate and the type B nevus cells in the middermis because they, too, may have the appearance of lymphoid cells. Immunohistochemical studies using 8100 or a more specific marker such as Melan-A may be very helpful in identifying the nevus cells in the infiltrate . The infiltrate tends to extend upward into the lower portion of the epidermis. In most instances, the infiltrate is characterized by dense cellular packing without vasodilation or intercellular edema and by sharp demarcation along its lower border.

At a later stage, only a few and finally no distinct nevus cells can be identified. Gradually, after all nevus cells have disappeared, the inflammatory infiltrate subsides. Despite the clinical evidence of regression and the inflammatory infiltrate, which consists predominantly of T cells , fibrosis is not a prominent feature .

In both the inflammatory and the noninflammatory halo nevus, the epidermis of the halo first shows a reduction in the amount of melanin on staining with silver and fewer DOPA-positive melanocytes than are seen in the normal epidermis. Ultimately, there is complete absence of melanin and also a negative DOPA reaction. Especially in early lesions, lymphocytes

may be seen rosetting around damaged melanocytes in the halo.

 

Histogenesis. Immunohistochemical staining for 8100 protein helps in the identification of nevus cells within the inflammatory infiltrate because their number may be small and it may be difficult to differentiate them from the lymphocytes of the infiltrate . However, Langerhans cells and some histiocytes also react with 8100 protein, and therefore a more specific marker such as Melan-A is preferable. Electron microscopic study reveals that nevus cells and melanocytes within reach of the infiltrate are damaged and ultimately disappear. In the nevus, many nevus cells appear vacuolated and contain only few melanosomes, but large aggregates of melanosomes are seen within macrophages (314,315).

In the depigmenting halo, the melanocytes show various kinds of degeneration, such as vacuolization and coagulation of the cytoplasm and autophagocytosis of melanosomes . It has been suggested that an initial noncellular stage of inhibition of both the melanocytes and the nevus cells may be responsible for the development of the depigmented halo, preceding the appearance of a dermal Iymphomacrophagic infiltrate that ultimately leads to the destruction of the nevus . Both in halo nevi and in vitiligo, the depigmentation takes place through disappearance of the melanocytes. However, despite occasional patients who present with both lesions, halo nevus is likely not a form of vitiligo . The abundance of potential antigen-presenting cells and lymphocytes (including CD8+ T cells) in the regressing nevus at the site of depigmentation suggests that these cells participate in the destruction of nevus cells and melanocytes in the halo phenomenon . In an interesting study of the lymphoid elements infiltrating halo nevi, oligoclonal expansion of T cells was observed in all patients, and in one patient, T cells using the same T-cell receptor ~-chain were observed in distinct halo nevi, demonstrating a local expansion of common clones that are most likely activated by shared antigens within the nevi .

 

Differential Diagnosis

 It can be difficult to differentiate early lesions of inflammatory halo nevus from a melanoma; both types of lesions may have a dense cellular infiltrate in the dermis, and, in halo nevi, the nevus cell nests, as a result of having been invaded by the cellular infiltrate, may appear atypical, which we consider to be reactive. The danger of misinterpretation is greatest in halo nevi without a halo, the so-called halo nevus phenomenon. However, the inflammatory infiltrate in halo nevi is more pronounced than in melanoma and extends diffusely through the lesion rather than being concentrated at the periphery as in most examples of tumorigenic melanoma. The diagnosis of melanoma rather than halo nevus is likely in a complex lesion that has an adjacent in situ or microinvasive component. Whether or not such an adjacent component is present, attributes of the nodule itself that should prompt consideration of melanoma include larger size, asymmetry, increased cellularity, lack of lesional cell maturation, uniform high-grade nuclear atypia, and mitotic activity.

If no identifiable nevus cells are present, the diagnosis of halo nevus may be suggested by the presence of melanophages in the dense cellular infiltrate and by the absence of melanin in the epidermis on staining with silver. However, one should also consider the possibility of a regressed squamous lesion or melanoma.

 

error: Content is protected !!