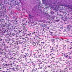
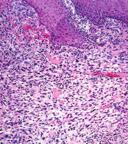
fibroxanthoma = الورم الاصفر الليفي

error: Content is protected !!