Fibrous papule (angiofibroma) = حطاطة تليفية =ليفوم وعائي

FIBROUS PAPULE

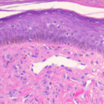
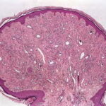
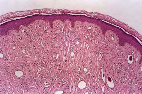
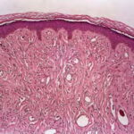
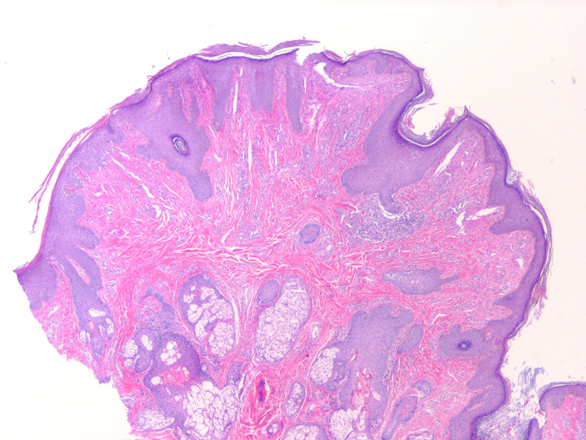
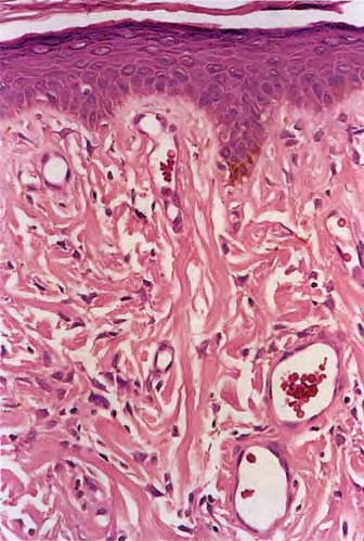
Currently, there is some disagreement as to whether fibrous papule represents a neoplastic process or a hamartoma.Fibrous papule (perifollicular fibroma) presents mainly as a solitary papule or as several dome-shaped, skin-colored, pigmented, or reddish lesions situated on the face, particularly around the nose of adults. Multiple fibrous papules can be seen in patients with tuberous sclerosis. Multiple fibrous papules occurring in association with fibrofolliculomas and trichodiscomas are a feature of Birt-Hogg-Dubé syndrome. Histologically, a dome-shaped or polypoid lesion consists of one or more poorly formed hair follicles surrounded by cellular fibrous stroma in the upper dermis. The epidermis sometimes reveals an increased number of large, single melanocytes located along the dermal-epidermal junction. There is usually a proliferation of small vessels within the dermis. Spindle- and stellate-shaped, sometimes multinucleated fibroblasts can be found within the stroma. Several histologic variants have been described, including classic, hypercellular, clear cell, pigmented, pleomorphic, and inflammatory. Treatment of choice is surgical excision. Carbon dioxide laser is useful in removing multiple lesions.

error: Content is protected !!