Fibroadenoma =الغدوم الليفي

 

Fibroadenoma

 

 

 

 

EPIDEMIOLOGY

 

 

Fibroadenoma is the most common cause of a breast mass in women younger than 25 years of age.

 

 

ETIOLOGY AND PATHOGENESIS

 

 

The etiology is unknown, but the condition probably results from a proliferation of breast tissue in response to excessive circulating estradiol over progesterone.

 

 

CLINICAL FINDINGS

 

 

Rarely, the tumor arises along the embryonic milk line or in other locations. Lesions commonly present as single or multiple firm, rubbery, smooth, mobile, painless infiltrates ranging up to 2 cm in diameter that can be bilateral. A distinct juvenile type that arises in teenage females presents with large tumors measuring 15 to 20 cm that can grow rapidly, often leading to extensive stretching of the skin and distortion of the nipple.

 

 

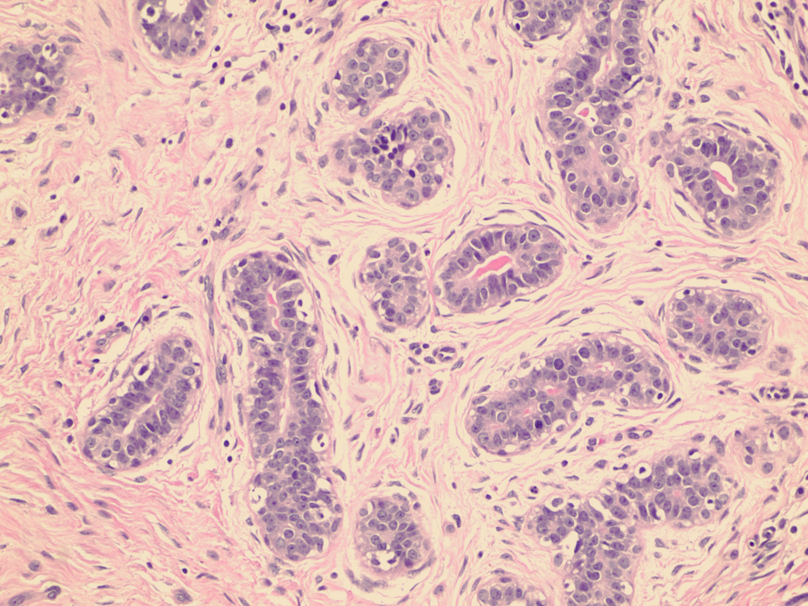
HISTOPATHOLOGY

 

 

Histopathologic examination reveals a variably hyalinized or mucinous, fibrous stroma surrounding a proliferation of ductal structures with apocrine secretion.

SPECIAL TESTS

Routine mammography may reveal smaller lesions.

 

TREATMENT

 

 Treatment is complete local surgical excision. Conservative management has also been proposed

.

 

error: Content is protected !!