Erythema induratum = الحمامى الجاسية

 

Erythema Induratum {Nodular Vasculitis}

 

 

Clinical Presentation.

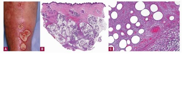
The lesions of erythema induratum, also sometimes referred to as nodular vasculitis, consist of painless to tender, deep-seated, circumscribed nodules to plaques, usually on the lower legs with a predilection for the posterior calves. Gradually, the lesions extend toward the surface, forming blue-red plaques that can ulcerate before healing with atrophy and scarring

Recurrences are common and often are precipitated by the onset of cold weather. Women are more commonly affected than men. Erythema in dura tum of Bazin refers to erythema induratum associated with tuberculosis. Nodular vasculitis was the name proposed by Montgomery for those cases with erythema induratum-like lesions that were not associated with tuberculosis .

Histopathology.

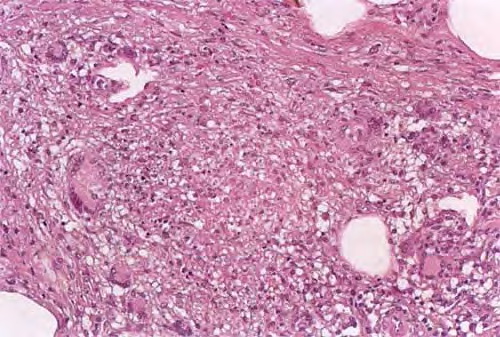
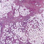
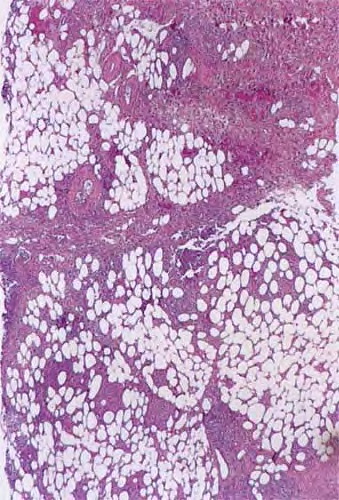
 In contrast to erythema nodosum that is mainly a septal panniculitis, erythema induratum (nodular vasculitis) initially is mainly a lobular panniculitis due to vasculitis that produces ischemic necrosis of the fat

lobules with relatively less involvement of the structures of the septa. The fat necrosis can be extensive, caseous as well as coagulative, and elicits granulomatous inflammation . Epithelioid cells and giant cells form broad zones of inflammation surrounding the necrosis but also can form well-delimited granulomas of the tuberculoid type . Ziehl-Neelsen stains do not reveal intact mycobacteria . In approximately one third of cases, granulomas are sparse or absent and lymphocytes and plasma cells predominate . Both the tuberculoid granulomas and lymphoid infiltrate extend between the fat cells, largely replacing them.

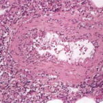
Vascular changes are extensive and severe. Arteries and veins of small and medium size show infiltration of their walls by a dense lymphoid or granulomatous inflammatory infiltrate  associated with endothelial swelling and edema of the vessel walls and fibrous thickening of the intima .

Thrombosis and occlusion, or just compromise, of the lumen can produce extensive ischemic and caseous necrosis of the fat in about half of the cases . Extensive necrosis leads to involvement of the overlying dermis and subsequent ulceration. The necrotic fat contains large fat globules, with surrounding amorphous, finely granular, eosinophilic material with some pyknotic nuclei. Later lesions contain many foamy histiocytes surrounding areas of fat necrosis.

Pathogenesis.

The primary event in erythema induratum is a vasculitis of the subcutaneous arteries and veins. If fat necrosis develops, it is the result of ischemia following vascular damage. Erythema induratum in the past usually has been caused by a hypersensitivity reaction to tuberculosis, which is a "tuberculid" reaction . However, neither inoculation of lesional tissue into guinea pigs nor cultures of such tissue have yielded isolates of tubercle bacilli. Also, erythema induratum responds to treatment with corticosteroids . In contrast, evidence against erythema induratum being a tuberculid consists of the finding that active tuberculosis is no more frequent in patients with erythema induratum than in the general population. Also, patients with tuberculosis can develop erythema nodosum . A delayed hypersensitivity reaction seems likely to be the basis of nodular vasculitis in nontuberculous patients since S 1 DO-positive, dendritic cells are increased in number within granulomas near the vessels in nodular vasculitis and not in polyarteritis nodosa . These dendritic cells could present antigens to T cells and trigger an intense inflammatory reaction.

 

 

Differential Diagnosis.

 Erythema induratum can be distinguished from erythema nodosum by the prominent lymphohistiocytic vasculitis in erythema induratum, which can be found only very rarely in erythema nodosum. When caseation necrosis is present, it clearly separates erythema induratum from erythema nodosum. Direct cutaneous mycobacterial infection lacks the vasculitis of erythema induratum. Mycobacteria can be difficult to find in subcutaneous lesions of tuberculosis and are absent from erythema induratum with the Ziehl-Neelsen method for acid-fast staining. Detection of DNA from Mycobacterium tuberculosis in lesions of erythema induratum by polymerase chain reaction  but with negative cultures suggests a hypersensitivity reaction to fragments of tubercule bacilli .

The difficult distinctions are between erythema induratum, thrombophlebitis, and subcutaneous polyarteritis nodosa, all of which can produce the clinical picture of nodules on the legs with vasculitis. Polyarteritis nodosa has neutrophilic infiltrates and fibrinoid necrosis of arterial vessel walls, whereas erythema induratum and nodular vasculitis have lymphohistiocytic infiltrates of the vessel walls with intimal proliferation and thrombosis. Elastic tissue stains are helpful in some lesions for distinguishing small arteries affected by polyarteritis from small veins affected by thrombophlebitis. However, the anatomic distinction between arteries and veins can be difficult when the inflammation destroys the elastic fibers or when the elastic tissue is increased in the walls of veins due to venous hypertension that is commonly present in patients with stasis in the lower legs. Deep biopsies and step sections in the tissue blocks may be necessary to demonstrate the focal necrotizing vasculitis in polyarteritis nodosa, since thrombosis and reactive changes near these foci can closely resemble nodular vasculitis in routine sections. At times, only a general diagnosis of "panniculitis with vasculitis" can be given until other biopsies or additional clinical information clarify the nature of the disorder.

error: Content is protected !!