Erythema dyschromicum perstans = الحمامى الدائمة بخلل التلون

erythema dyschromicum perstans

erythema dyschromicum perstans was called dermatosis ceniciento, meaning ashy dermatosis, because of its ashy bluish gray color. The term erythema dyschromicum perstans is credited to Marion B. Sulzberger, who suggested it when examining Convit’spatients in Caracas

 

the narrow red border (which is often hard to find), represents the active lesions. This is why I suggested a name which contains the term “erythema” and which also suggests the variety and persistence of the final dyschromias.

The descriptive term ashy dermatosis was also used as a designation for their coloration. In South America, another name, erythema chronicum figuratum melanodermicum, is also used.

 

Erythema dyschromicum perstans (ashy dermatosis) is a distinct and somewhat controversial cutaneous eruption that may be best regarded as a form of lichen planus or lichen planus actinicus.

 

Pathophysiology

 

The etiology of erythema dyschromicum perstans is unknown, but many consider erythema dyschromicum perstans to be a variant of lichen planus actinicus. A variety of predisposing factors have been cited. These include ingestion of ammonium nitrite, an intestinal parasitosis caused by nematodes (whipworm infection, control of which produced erythema dyschromicum perstans remission), orally administered radiographic contrast media, and, possibly, an occupationally associated cobalt allergy in a plumber. One case may be particularly revealing, that of a 13-year-old rural northern European truant who repeatedly ingested small amounts of a fertilizer, ammonium nitrate, to induce erythema dyschromicum perstans and avoid school. Chlorothalonil exposure among banana farm workers is another possible cause of erythema dyschromicum perstans.6

An abnormality in cell-mediated immunity might play a role. However, substantial immune dysfunction is limited at present to 1 report of an HIV-seropositive 41-year-old homosexual of Chinese lineage with erythema dyschromicum perstans.7,8

HLA-DR association with the genetic susceptibility to develop ashy dermatosis in Mexican Mestizo patients was analyzed, the results of which were reported by Correa in 2007.The most frequent allele was HLA-DR4 (65%), compared with 23% in controls. These Mexican patients had HLA-DR4 subtype *0407, which is also found in the Amerindian population.10,11 Thus, although many factors may be involved, an important genetic susceptibility appears to be conferred by genes located within the major histocompatibility complex region.

 

History

 

Erythema dyschromicum perstans has a slow onset and is unlikely to resolve spontaneously.13 The clinical course of childhood (prepubertal) may differ from that of adults; erythema dyschromicum perstans may be more likely to resolve within 2-3 years. A proposed clinical classification has been devised, dividing ashy dermatoses from erythema dyschromicum perstans with the former lacking erythematous borders, and having a third category for simulators such as lichen planus variants, and medication-induced melanodermas.15

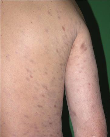
Erythema dyschromicum perstans is an asymptomatic eruption of oval, polycyclic, or irregularly shaped, gray-blue hyperpigmented macules on the trunk, the arms, the face, and the neck. It begins as ash-colored macules, sometimes with an erythematous or elevated border (see the image below). No systemic symptoms or associations exist.

Erythema dyschromicum perstans has asymptomatic, gray-blue hyperpigmented patches of variable shape and size and an elevated erythematous border in the early stages . The eruption is symmetrically distributed on the face, the trunk, and the upper extremities. The oral cavity and the genitals are spared.

 

Laboratory Studies

All cases of erythema dyschromicum perstans (EDP), to date, have resulted in negative laboratory study results, which include the following:

  • Bacterial, viral, and mycologic cultures
  • Erythrocyte sedimentation rate
  • Glucose studies
  • Liver function test
  • Urinalysis

Imaging Studies

Radiographic studies in erythema dyschromicum perstans patients have not shown abnormalities.

Histologic Findings

 

The biopsy specimen is obtained as much to rule out other diagnoses as to confirm that of erythema dyschromicum perstans because the erythema dyschromicum perstans histologic pattern is relatively nonspecific. One should attempt to obtain a biopsy sample of the border of an active macule, which usually demonstrates mild basal cell layer vacuolar degeneration overlying an upper dermis with a mild perivascular mononuclear cell infiltrate and increased melanophages.

Distinguishing ashy dermatosis from lichen planus pigmentosus (LPP) is not always easy. A Mexican study of 20 patients with erythema dyschromicum perstans and 11 with LPP provided clear clinical delineation between the 2 often histologically indistinguishable disorders.19 LPP has pruritic brownish black macules or patches, with no active border, on the face and the flexor folds. Erythema dyschromicum perstans does not involve mucosal surfaces, where LPP does. In favor of erythema dyschromicum perstans being either a subset of idiopathic lichen planus or a lichenoid drug eruption are reports of lichen planus and erythema dyschromicum perstans occurring in the same patient, the clinical resemblance of erythema dyschromicum perstans to atrophic lichen planus, and similar histologic patterns with immunofluorescence in both erythema dyschromicum perstans and LPP.

The border of an active erythema dyschromicum perstans lesion and the border of an LPP lesion often both show hyperkeratosis, a thinned epidermis, hydropic degeneration of the basal layer, pigment incontinence, and a perivascular lymphohistiocytic infiltrate

Immunopathologic study of erythema dyschromicum perstans shows immune-associated (Ia) antigen expression in keratinocytes and strong OKT 4 and OKT 6 staining of Langerhans cells. It also shows dermal infiltration by T lymphocytes of both helper-inducer and suppressor-cytotoxic phenotypes, a pattern commonly seen with lichen planus. CD36 expression is evident in the viable upper epidermis on lesional keratinocytes, which may imply a delayed hypersensitivity reaction. Beneath, in the dermis, the cellular infiltrate has been found to express CD69 and the cytotoxic cell marker CD94. In addition, as with lichen planus, the colloid bodies stained immunoglobulin G positive

 

Medical Care

Many therapeutic options are available for erythema dyschromicum perstans (EDP), but few have been effective, except for clofazimine. In one series of 8 patients, 7 had a good or excellent response to clofazimine administered either 100 mg every other day to patients weighing less than 40 kg or 100 mg every day to patients weighing more than 40 kg. This medication was continued for 3 months, then reduced to 200 mg/wk and 400 mg/wk, respectively. The one remaining patient had only a marginal response. One study found some improvement in early cases, but no cures were reported. This medication seems to have a valuable effect on the inflammatory phase of erythema dyschromicum perstans.

Clofazimine is a lipophilic rhimophenazine dye with both antimicrobial and anti-inflammatory properties originally developed to treat tuberculosis. Although its mechanism of action is unclear, it seems to exert its main effect upon neutrophils and monocytes in a variety of ways, such as stimulating phagocytosis and release of lysosomal enzymes.20

Clofazimine is administered orally, with improved bioavailability when taken with food. It concentrates in lipid-rich tissues, including the reticuloendothelial system, the intestine, the breasts, and the liver. Its half-life is 70 days. Isoniazid increases its serum levels and enhances its urinary excretion. Its most common adverse effects are in the skin, the gut, and the eye. It gives a temporary orange discoloration of the skin and the eye (ie, cornea, conjunctivae); it also may produce ichthyosis. Its most serious adverse effect is crystal deposition in the gut that produces a potentially fatal enteropathy. This rare complication is associated with months of high-dose (>100 mg/d) therapy. Nausea and diarrhea are more common. Splenic infarction and eosinophilic enteritis are also rare adverse effects.

Many other therapeutic modalities have been attempted, none with satisfactory results. These include ultraviolet exposure, ultraviolet avoidance, antibiotics, antihistamines, griseofulvin, chemical peels, antibiotics, corticosteroids, vitamins, isoniazid, chloroquine, and psychotherapy.

A patient from Turkey was described to have responded remarkably well to treatment with dapsone.21

Medication

The goals of pharmacotherapy are to reduce morbidity and to prevent complications.

Leprostatics

Have both antimicrobial properties and anti-inflammatory properties. They were originally developed to treat tuberculosis.

 

Clofazimine (Lamprene)

Lipophilic rhimophenazine dye with antimicrobial and anti-inflammatory properties originally developed to treat tuberculosis. Inhibits mycobacterial growth, binds preferentially to mycobacterial DNA. Has antimicrobial properties, but mechanism of action unknown.
Although its mechanism of action is unclear, it seems to exert its main effect upon neutrophils and monocytes in a variety of ways (eg, stimulating phagocytosis and release of lysosomal enzymes).

 
Adult

<40 kg: 100 mg PO qod; continue for 3 mo then reduce to 200 mg/wk
>40 kg: 100 mg PO qd; continue for 3 mo then reduce to 400 mg/wk

Pediatric

Not established

 

Dapsone may inhibit anti-inflammatory activity; avoid concurrent administration of clofazimine with aluminum-magnesium-containing antacids due to decreased absorption; concurrent use of phenytoin and clofazimine may result in reduced phenytoin efficacy; concurrent administration of small quantities of orange juice with clofazimine may result in modest reduction of clofazimine relative bioavailability

 

Documented hypersensitivity

 
Pregnancy

C – Fetal risk revealed in studies in animals but not established or not studied in humans; may use if benefits outweigh risk to fetus

Precautions

Most noticeable adverse effect is skin discoloration (red to purple-black), which fades slowly on withdrawal; secretions discolored; urine becomes red; ichthyosis of shins and forearms may be prominent
Adverse effects include liver disease, stomach or intestinal disease, and skin problems (instruct patients to inform health care provider as soon as possible if symptoms develop); bleeding in the digestive system (symptoms may include blood in stools, black tarry stools, vomiting blood, and vomit that looks like coffee grounds); intestinal obstruction (symptoms may include abdominal pain and cramping, vomiting blood, abdominal distention, and diarrhea); liver damage (symptoms may include abdominal pain for more than a few days, dark urine, fatigue, general discomfort, uneasiness or ill feeling [malaise], loss of appetite, pale or clay-colored stools, and yellow eyes or skin); doses >100 mg/d should only be given for as short a period as possible and only under close medical supervision
Severe abdominal symptoms with rare reports of splenic infarction, bowel obstruction, and GI bleeding; autopsy reveals crystalline deposits of clofazimine in tissues, including intestinal mucosa, spleen, liver, and mesenteric lymph nodes

 

Dapsone (Avlosulfon)

Bactericidal and bacteriostatic against mycobacteria; mechanism of action is similar to that of sulfonamides, in which competitive antagonists of PABA prevent formation of folic acid, inhibiting bacterial growth

error: Content is protected !!