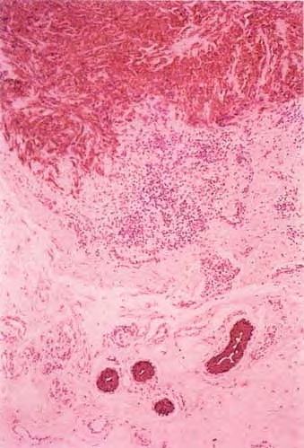
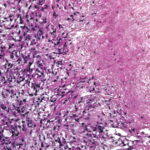
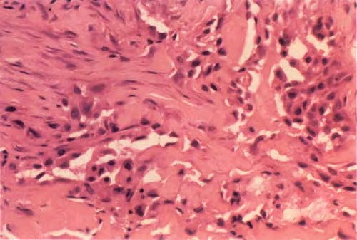
Epithelioid sarcoma = ورم عفلي بشرواني

error: Content is protected !!