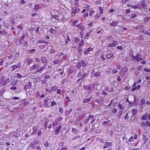
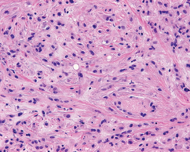
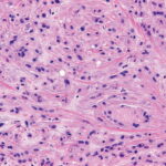
Epithelioid hemangioendothelioma =ورم بطانة الاوعية البشرواني

error: Content is protected !!