|
Eosinophilic Fasciitis Shulman’s Syndrome
First described in 1974 , eosinophilic fasciitis is a scleroderma-like disorder characterized by inflammation and thickening of the deep fascia. It has a rapid onset associated with pain, swelling, and progressive induration of the skin leading to exaggerated deep grooving of the skin around superficial veins. This disorder is often accompanied by a peripheral eosinophilia, hypergammaglobulinemia, and elevated erythrocyte sedimentation rate and has been associated with aplastic anemia. Other rare associations include polycythemia rubra vera, cutaneous T-cell lymphoma, borreliosis, and autoimmune thyroid disease . Simvistatin and phenytoin have been reported to cause eosinophilic fasciitis . Eosinophilic fasciitis may have its onset with unusual physical
|
|
exertion; however, more recently it has been reported in association with L-tryptophan ingestion . The latter association is known as eosinophilia-myalgia syndrome, which is clinically and histologically similar to eosinophilic fasciitis.
|
|
Eosinophilic fasciitis often involves one or more extremities. The induration may cause a decreased range of motion and, in severe cases, even joint contractu res . In only a few cases are there lesions on the trunk, and the face is almost invariably spared. In nearly all reported cases, Raynaud’s phenomenon and visceral lesions of scleroderma have been absent. Only very few instances of incontestable eosinophilic fasciitis have shown evidence of Raynaud’s phenomenon or mild pulmonary fibrosis . The disorder has a varied course:
Some patients improve spontaneously, others improve with corticosteroids, and still others may have relapses and remissions.
|
|
Histopathology
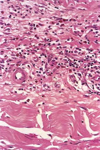
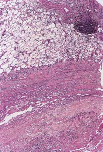
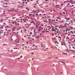
. A deep wedge biopsy to skeletal muscle including fascia is essential to making the diagnosis of eosinophilic fasciitis. The fascia is markedly thickened, appears homogeneous, and is permeated by a mononuclear inflammatory infiltrate . In some instances the infiltrate in the fascia contains an admixture of eosinophils . The underlying skeletal muscle in some cases shows myofiber degeneration, severe inflammation with a component of eosinophils, and focal scarring; in other cases, however, it is not involved.
|
|
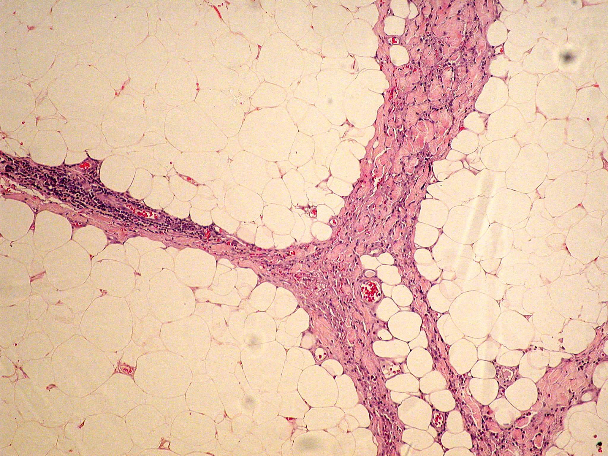
In most cases the adipose tissue shows no significant changes, except that the fibrous septa separating deeply located fat lobules are thicker, paler staining, and more homogeneous and hyalinized than normal dermal connective tissue. In other cases, however, the collagen in the lower reticular dermis appears pale and homogeneous, and the entire subcutaneous fat is replaced by horizontally oriented, thick, homogeneous collagen containing only few fibroblasts and merging with the fascia
pathogenesis
|
Whereas at first the impression prevailed that eosinophilic fasciitis was a new syndrome, it soon became apparent that the disorder represents a variant of morphea . Eosinophilic fasciitis may share features with generalized morphea, including inflammation and fibrosis of the fascia, peripheral eosinophilia, and hypergammaglobulinemia . Antinuclear antibodies are present in a significant number of cases . The term morphea profunda, analogous to lupus erythematosus profundus, has been applied to this disorder . Nevertheless, because of its acute onset in most cases, its usual limitation to the structures underlying the skin, and its tendency to resolve, eosinophilic fasciitis deserves recognition as a distinct variant of morphea
|