Disseminated superficial actinic porokeratosis=التقران الثاقب الضيائي السطحي المنتشر

Disseminated
 
Superficial Actinic
 
Porokeratosis

 

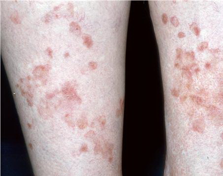
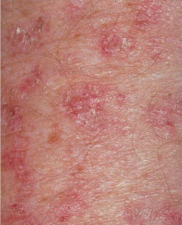
Disseminated superficial actinic porokeratosis (DSAP) is the most common of the porokeratoses. Lesions are characteristically uniformly small, annular, asymptomatic or mildly pruritic papules ranging from 2 to 5 mm in diameter, distributed symmetrically on the extremities. Lesions are more generalized than other forms of porokeratosis, with typically in excess of 50 lesions located predominantly in sun-exposed sites . A history of increased prominence with sun exposure is usually reported. Although widespread, lesions typically spare palms, soles, and mucous membranes. Compared with porokeratosis of Mibelli, the hyperkeratotic border is characteristically more subtle. As the lesions progress, the older, central area becomes atrophic and anhidrotic. DSAP tends to be inherited as an autosomal dominant disorder, with the earliest reported age of onset at 7 years, and is usually fully penetrant by the third or fourth decade of life.11 Initial reports of induction of lesions by exposure to ultraviolet light and hypersensitivity of DSAP-derived fibroblasts to x-rays have not been consistently reproduced, and the pathogenesis of DSAP remains unknown.

Disseminated Superficial Porokeratosis

DSP also shows an autosomal dominant pattern of inheritance and has its onset in the third or fourth decade of life. Lesions primarily are morphologically identical to those of DSAP, occur on the extremities, and are typically distributed symmetrically, but do not spare sun-protected areas as in DSAP. As with DSAP, in excess of 100 lesions may be disseminated, with a predilection for the extensor surfaces of the extremities. Notably, involvement of the face is rare in both DSAP and DSP. In both disseminated forms, there is a reported female predominance, with a female-male ratio of 3:1.

error: Content is protected !!