Dermoid Cyst |
Dermoid cysts are subcutaneous cysts that usually are present at birth. They occur most commonly on the head, mainly around the eyes, and occasionally on the neck. When located on the head, they often are adherent to the periosteum. Usually they measure between 1 and 4 em in diameter. |
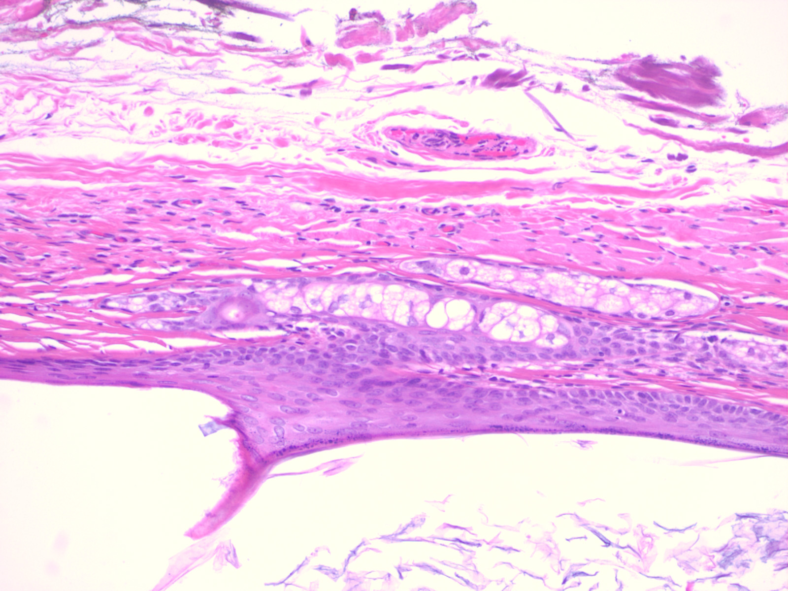
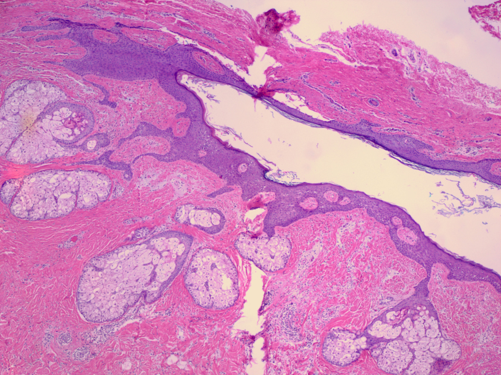
Histopathology. Dermoid cysts, in contrast to epidermal cysts, are lined by an epidermis that possesses various epidermal appendages that are usually fully matured . Hair follicles containing hairs that project into the lumen of the cyst are often present. In addition, the dermis of dermoid cysts usually contains sebaceous glands, often eccrine glands, ——–,. |