Dermatophytie =سعفة فطرية

Dermatophytie

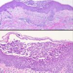
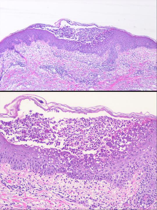
 biopsy findings would show spongiosis, parakeratosis (that may alter with orthokeratosis), and a superficial inflammatory infiltrate. Neutrophils may be seen in the stratum corneum, which is a significant diagnostic clue. On occasion, septate branching hyphae are seen in the stratum corneum. Special fungal stains (eg, periodic acid-Schiff, Gomori methenamine silver) may be required.

error: Content is protected !!