Dermatitis herpetiformis (Duhring's disease) =التهاب الجلد العقبولي الشكل = داء دورينغ

Dermatitis

Herpetiformis

 

▪ EPIDEMIOLOGY

Dermatitis herpetiformis (DH) is characterized by an intensely itchy, chronic papulovesicular eruption that usually is distributed symmetrically on extensor surfaces. The disease can be clearly distinguished from the other sub-epidermal blistering eruptions by histologic, immunologic, and gastrointestinal criteria. The prevalence of DH in various Caucasian populations varies between 10 and 39/100,000 persons.1-3 It may start at any age, including childhood; however, the second, third, and fourth decades are the most common. After presentation, DH persists indefinitely, although with varying severity. Patients with DH have an associated gluten-sensitive enteropathy (GSE) that is usually asymptomatic.

▪ HISTORY

▪ ETIOLOGY AND PATHOGENESIS

In 1999, Dieterich et al. identified antibodies to tissue transglutaminases (Tgases) in the sera from DH patients. Distinguishing between various types of Tgases enabled Sardy et al. in 2002 to demonstrate that epidermal Tgase is the dominant autoantigen in DH.

Gluten, a protein found in wheat, barley, and rye, plays a critical role in the pathogenesis of DH. Oats, long thought to contain gluten and play a role in inducing DH lesions, have been shown to be devoid of toxicity in patients with DH. In 1966, Marks et al. first noted a gastrointestinal abnormality in patients with DH. Shortly thereafter, it was shown that the lesion was reversible by avoidance of the dietary protein gluten. Initially, the intestinal abnormality was thought to be present in 60 percent to 75 percent of DH patients. However, this view has been modified in two ways. First, the diagnostic criteria for DH have been delineated more precisely, and second, it can be shown that certain patients without apparent gastrointestinal pathology can be “induced” to develop gastrointestinal lesions by subjecting them to a large gluten intake; such patients have been said to have latent celiac sprue. Thus, most patients with DH have a gastrointestinal abnormality similar (if not identical) to celiac disease, however minimal that may be when the patient is ingesting a normal gluten load. As in celiac disease, there is an increased density of small bowel intraepithelial T cells with a γ/δ T-cell receptor in the jejunum of patients with DH.24 The finding that T-cell lines from patients with DH produce significantly more interleukin 4 (IL-4) than those from patients with GSE and that gut biopsies from symptomatic patients with isolated GSE showed increased expression of interferon-γ suggests that different cytokine patterns may play a role in the varied clinical manifestations of these two diseases. Systemic evidence of the gut mucosal immune response has also been found in the serum and the skin of patients with DH. Patients with DH on regular gluten-containing diets have been found to have increased serum IL-2 receptor levels and serum IL-8 levels, increased endothelial cell E-selectin expression in skin and an increased expression of CD11b on circulating neutrophils. These systemic manifestations of the gut mucosal immune response may play a role in creating the pro-inflammatory environment in the skin necessary for the development of skin lesions.

 

DERMATITIS HERPETIFORMIS

 AT A GLANCE

  • Intensely itchy, chronic papulovesicular eruption distributed symmetrically on extensor surfaces.
  • Characterized histologically by dermal papillary collections of neutrophils (microabscesses).
  • Granular immunoglobulin A deposits in normal-appearing skin are diagnostic for dermatitis herpetiformis.
  • Most, if not all, dermatitis herpetiformis patients have an associated gluten-sensitive enteropathy.
  • The rash responds rapidly to dapsone therapy and, in many patients, to strict adherence to a gluten-free diet.

The GSE seen in DH patients probably relates to the immunoglobulin A (IgA) deposits that are found in the skin of these patients, although a direct relationship has not been demonstrated. It is known that patients with both GSE and DH have antibodies to Tgases that are thought to be the major autoantigens in these diseases. There appears to be a predilection for the autoantibodies to bind to epidermal Tgase in DH, whereas the predilection is for autoantibodies to bind tissue Tgase in patients with isolated GSE. The mechanism whereby IgA anti-epidermal Tgase deposits in DH skin is not known. One


long-standing hypothesis has been that IgA containing circulating immune complexes are responsible for the IgA deposits in DH skin. The recent discovery of IgA anti-epidermal Tgase antibodies has suggested that IgA-epidermal Tgase immune complexes may be depositing in the skin of DH patients. Only a minority of DH patients, however, have been found to have IgA and epidermal tissue Tgase deposits co-localized in a perivascular pattern. In addition, perivascular neutrophil deposits that are typically found with the perivascular deposition of immune complexes rarely occur in patients with DH. These findings suggest an alternative hypothesis that IgA anti-epidermal Tgase may directly bind in the skin to epidermal tissue Tgase. The exact mechanism of IgA binding in the skin of patients with DH, however, remains unknown.

Whether the IgA skin deposits play a role in the pathophysiology of blister formation is not known. The finding of IgA and complement in almost all skin sites, not only in lesional skin, makes one postulate that if IgA (either alone or as a part of an immune complex) does play a role, additional factors are still needed to explain the initiation of lesions. Takeuchi et al. have demonstrated that minor trauma to skin results in increased expression of IL-8 and E-selectin, both of which may predispose to a neutrophilic inflammatory infiltrate. These findings, coupled with the typical appearance of DH lesions on extensor surfaces at sites of trauma, suggest local cytokine/chemokine production after trauma may be one of the inciting factors of DH skin lesions. It may be that after the initial neutrophilic infiltrate binds to the cutaneous IgA, factors such as cytokines, chemokines, and proteases are released that both directly result in blister formation and induce basal keratinocytes to produce collagenases or stromelysin-1 that further contributes to the formation of blisters.35,36 Other studies have suggested that T cells may play a role in the pathogenesis of the skin lesions; however, no specific T-cell responses to gluten have been detected.

It has been known for some time that iodides, administered orally, can exacerbate or elicit eruptions of DH, and this has, in former times, been used for diagnostic purposes. The availability of immunopathologic techniques for the detection of IgA deposits in skin has made such provocation tests obsolete.

The absence of animal models of DH, either naturally occurring or developed in the laboratory, has limited advances in our understanding of the pathogenesis of DH. Recently, Marietta and co-workers reported a new mouse model for DH. They reported an HLA-DQ8 transgenic non-obese diabetic mouse that when immunized with gluten developed neutrophilic skin lesions along with cutaneous deposits of IgA. In addition, withdrawal of dietary gluten resulted in resolution of the skin lesions.39 Further investigation of this mouse model may provide important information regarding the pathogenesis of DH.

 

▪ CLINICAL MANIFESTATIONS

 

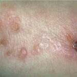
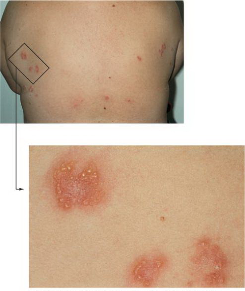
The primary lesion of DH is an erythematous papule, an urticaria-like plaque, or, most commonly, a vesicle . Large bullae occur infrequently. Vesicles, especially if they occur on the palms, may be hemorrhagic. The continual appearance and disappearance of lesions may result in hyperpigmentation and hypopigmentation. Patients may present with only crusted lesions, and a thorough search may not reveal a primary lesion. The herpetiform (herpeslike) grouping of lesions is often present in some areas , but patients also may have many individual nongrouped lesions.

Symptoms vary considerably from the usually severe burning and itching in most patients to the almost complete lack of symptoms in a rare patient. Most patients usually can predict the eruption of a lesion as much as 8 to 12 hours before its appearance because of localized stinging, burning, or itching.

The usual symmetric distribution of lesions on elbows, knees, buttocks, shoulders, and sacral areas is seen in most patients at one time or another . Although these regions are affected most commonly, most patients have scalp lesions and/or lesions in the posterior nuchal area. Another commonly affected area is the face and facial hairline. Mucous membrane lesions are uncommon, as are lesions on the palms and soles.

 

▪ LABORATORY TESTS

 

In Vivo-Bound Immunoglobulin A and Complement

After Cormane demonstrated that both perilesional and uninvolved skin of patients with DH contained granular (or fibrillar) Ig deposits located in dermal papillary tips, van der Meer found that the most regularly detected Ig class in DH skin


was IgA . IgA deposits have, however, not been seen in the skin of patients with isolated GSE (celiac disease).

Finding granular IgA deposits in normal-appearing skin is the most reliable criterion for the diagnosis of DH. These IgA deposits are unaffected by treatment with drugs but may decrease in intensity or disappear after long-term adherence to a gluten-free diet. The IgA deposits are not uniformly intense throughout the skin and may be detected more easily in normal-appearing skin near active lesions. In DH, other immunoglobulins sometimes are bound to the skin in the same areas as the IgA. IgA deposits also may be seen in the skin of patients with bullous pemphigoid, scarring pemphigoid, Henoch-Schönlein purpura, and alcoholic liver disease, although in different patterns of distribution than those seen in DH.

Because of the IgA skin deposits and the association between DH and GSE (celiac disease), several groups have studied the IgA subclasses in DH. IgA1 is the predominant (or exclusive) subclass that has been identified in the skin of DH patients.45,46 Most IgA1 is produced in the bone marrow, whereas most IgA2 is produced at mucosal sites. This does not negate the possibility that the IgA1 in skin may still be of mucosal origin because IgA1 is the predominant IgA subclass of IgA antibodies directed against dietary proteins produced in gut secretions in patients with DH.

The third component of complement (C3) is frequently found in the same location as IgA. The presence of C3 in both perilesional and normal-appearing skin is not affected by treatment with dapsone (diaminodiphenyl sulfone), but C3 may not be detectable after treatment with a gluten-free diet. C5 and components of the alternative complement pathway also may be seen in areas corresponding to the IgA deposits. The C5-C9 membrane attack complex, which is formed as the terminal event in complement activation, is also seen in normal-appearing and perilesional skin of patients.

The exact site of the IgA deposits in DH skin has been studied by immunoelectron microscopy. Early studies indicated that IgA is preferentially associated with bundles of microfibrils and with anchoring fibrils of the papillary dermis immediately below the basal lamina. More recent studies, however, have indicated that some or almost all of the IgA deposits are related to nonfibrillar components of skin and other connective tissues. There is also no agreement as to whether the IgA deposits in DH co-localize to fibrillin, a major component of the elastic microfibrillar bundles.

Serum Studies

Antireticulin antibodies of the IgA and IgG classes have been detected in the sera of 17 percent to 93 percent of patients with DH and in higher percentages of patients with other diseases, especially celiac disease.58 Thyroid microsomal antibodies and anti-nuclear antibodies also have been detected in increased incidence in the sera of patients with DH. Putative immune complexes have been detected in the sera of 25 percent to 40 percent of patients.

Chorzelski et al. have described an IgA antibody that binds to an intermyofibril substance (endomysium) of smooth muscle.63 The nature of this antigen has been identified recently by the studies of Sardy et al., who showed that these IgA autoantibodies have specificity for Tgases, particularly epidermal-specific Tgases.19

Immunogenetic Findings

There is a marked increase in the incidence of certain major histocompatibility complex antigens in patients with DH. Worldwide studies have found that 77 percent to 87 percent of DH patients have HLA-B8 (compared with 20 percent to 30 percent of unaffected individuals). In addition, the class II major histocompatibility complex antigens HLA-DR and -DQ are associated with DH even more frequently than is HLA-B8.67,68 Park et al. reported that more than 90 percent of patients expressed Te24, which was later shown to be similar to HLA-DQw2, and this finding has been confirmed by others. Molecular studies indicate that susceptibility to DH is not associated with a


unique HLA-DQw2 molecule.70 Virtually all patients with DH have genes that encode the HLA-DQ (α1*0501, β1*02) or the HLA-DQ (α1*03, β1*0302) heterodimers, a pattern identical to that seen in celiac disease.70,71 This strong association between susceptibility genes and DH and GSE is important clinically and pathophysiologically in that there is a strong concordance of these two diseases in monozygotic twins.72 Furthermore, first-degree relatives of both DH and GSE patients are often (4 percent to 5 percent) affected with one or the other of these diseases.

 

Histopathology

 

The histology of an early skin lesion (clinically nonvesicular) is characterized by dermal papillary collections of neutrophils (microabscesses), neutrophilic fragments, varying numbers of eosinophils, fibrin, and, at times, separation of the papillary tips from the overlying epidermis . In addition, in such early lesions, the upper and middle dermal blood vessels are surrounded by a lymphohistiocytic infiltrate as well as some neutrophils and an occasional eosinophil. At times, early lesions may be difficult or impossible to differentiate from those of linear IgA disease , the bullous eruption of lupus erythematosus , bullous pemphigoid (see Chap. 54), or the neutrophil-rich form of epidermolysis bullosa acquisita . The histology of older lesions shows sub-epidermal vesicles that may be impossible to differentiate from other sub-epidermal bullous eruptions, such as bullous pemphigoid, erythema multiforme, bullous drug eruption, and pemphigoid gestationis. Immunofluorescent localization and ultrastructural studies of the site of blister formation in DH have demonstrated that the blister forms above the lamina densa—within the lamina lucida. This is thought to occur because the lamina lucida is the most vulnerable component of the dermal-epidermal junction.

 

▪ ASSOCIATED PROBLEMS

 

Gastrointestinal Manifestations

It is now well accepted that most, if not all, DH patients have an associated gastrointestinal abnormality that is caused by gluten sensitivity. The pathology of the GSE associated with DH and that in isolated GSE (GSE unassociated with DH) is essentially the same, although the lesion in the latter is usually much more severe; this applies to the epithelial cell derangement as well as to the character of the lymphoplasmacytic infiltrate. In addition, the distribution of the gastrointestinal lesion in the small intestine is, as a general rule, more widespread in celiac disease. The functional changes in the bowel and clinical sequelae encountered in the GSE associated with DH and those encountered in celiac disease are similar but again differ in degree, those in the latter being more severe. Thus, in DH one observes steatorrhea (20 percent to 30 percent of patients), abnormal D-xylose absorption (10 percent to 33 percent of patients), and occasional anemia secondary to iron or folate deficiency. In patients not taking dapsone or related drugs, the latter is usually due to malabsorption. Studies using elemental diets (see Elemental and Other Diet Therapy) in the treatment of DH have questioned the critical role attributed to gluten in the pathogenesis of this disease. In addition to the small intestinal lesion, patients with DH have an increased incidence of achlorhydria and atrophic gastritis. Reports of pernicious anemia and antibodies to gastric parietal cells are thus likely to be due to more than chance.

 

Malignancy

 

Leonard et al. have reported an increased frequency of malignancies, especially gastrointestinal lymphomas, and Collin et al. have reported a significant increase in non-Hodgkin lymphomas in patients with DH. A combined retrospective study from both these groups suggests a protective role for a gluten-free diet against gastrointestinal lymphomas. Hervonen and co-workers reported that 1 percent of 1104 patients with DH developed a lymphoma from 2 to 31 years after the diagnosis of DH. Of interest, only two lymphomas were of the enteropathy-associated type, whereas eight were B-cell type lymphomas and one was unclassified. The patients with DH that developed lymphoma had adhered to a gluten-free diet less strictly than patients without lymphoma. Recently, Viljamaa and co-workers reported on the rate of malignancies and mortality in patients with DH with a 30-year population-based study.82 They reported no difference in overall malignancy rate in patients with DH from the general population; however, there was an increase in non-Hodgkin lymphomas. Of interest, the mortality rate for patients with DH was lower than in the general population. In total, these studies suggest that patients with DH are at increased, albeit low, risk for lymphoma and that this risk is not restricted to enteropathy-associated lymphomas.

Other Diseases

In addition to celiac disease, atrophic gastritis, and pernicious anemia (see Gastrointestinal Manifestations),


DH patients have a higher incidence of other autoimmune diseases such as thyroid disease, insulin-dependent diabetes, lupus erythematosus, Sjögren syndrome, and vitiligo. This predilection for associated autoimmune diseases may be due to the high frequency of the 8.1 ancestral haplotype in these DH patients.

Neurologic disease has been reported in patients with isolated celiac disease, including epilepsy, ataxia, and dementia; however, confirmation of these findings awaits confirmation with large epidemiologic studies.86 Some authors have proposed that patients with DH may be at higher risk for these neurologic complications due to long-standing ingestion of gluten; however, Wills and co-workers found no evidence of immune-mediated neurologic disease in their evaluation of patients with DH.87

Patients with untreated celiac disease have also been found to have an increased frequency of bone loss.88 Patients with DH frequently continue on gluten-containing diets with a longstanding, albeit low grade, malabsorption. Di Stefano demonstrated a significantly reduced bone mineral density in patients with DH on gluten-containing diets.89 These findings suggest that patients with DH be followed closely and those on gluten-containing diets be screened for potential decrease in bone density. If decreased bone mineral density is found, patients should be encouraged to begin a gluten-free diet.

 

▪ DIFFERENTIAL DIAGNOSIS

 

DH may be confused with numerous other conditions because of its pleomorphic manifestations and the occasional lack of diagnostic lesions (Box 59-1). Neurotic excoriations, eczema, papular urticaria, transient acantholytic dermatosis, pemphigoid, pemphigoid gestationis, erythema multiforme, and various other dermatoses can be differentiated easily on the basis of histologic and immunologic criteria. Linear IgA disease may be more difficult to differentiate clinically and histologically, but it is distinctive immunologically. A high index of suspicion is very helpful in that even in the absence of primary lesions, DH can be diagnosed based on the typical in vivo-bound granular IgA deposits in normal-appearing skin.

Box 59-1 Differential Diagnosis of Dermatitis Herpetiformis

Consider

  • Eczema
  • Atopic dermatitis
  • Papular urticaria
  • Neurotic excoriations
  • Bullous pemphigoid
  • Pemphigoid gestationis
  • Linear immunoglobulin A dermatosis
  • Atopic dermatitis

Rule Out

  • Scabies

 

▪ TREATMENT

 

Sulfones

 

Diaminodiphenyl sulfone (dapsone), sulfoxone (diasone—not available in the United States), and sulfapyridine provide prompt improvement in symptoms and signs of the disease. Symptoms may abate in as few as 3 hours or as long as a few days after the first pill is taken, and new lesions no longer erupt after 1 to 2 days of treatment. Exacerbations occur from hours to days after cessation of treatment. This response to therapy was, for a long time, the most important element in making a diagnosis. The preferred treatment for an adult is dapsone at an initial dosage of 100 to 150 mg/day (this usually can be taken once a day). An occasional patient may require 300 to 400 mg of dapsone for initial improvement. Patients should be instructed to take the minimal dose required to suppress signs and symptoms. Not all patients require daily treatment; in rare cases, 25 mg weekly is sufficient. Sulfapyridine, in a dosage of 1.0 to 1.5 g daily, is particularly useful in patients intolerant of dapsone, in elderly patients, and in those with cardiopulmonary problems. The pharmacology, mechanism(s) of action, adverse effects, and monitoring of dapsone are discussed in Chap. 226. It is important to know that nonsteroidal anti-inflammatory drugs often exacerbate DH, even in patients taking dapsone.

 

Gluten-Free Diet

 

EFFECT ON THE SMALL

INTESTINE

 

There is no doubt that the intestinal lesion in DH responds to dietary gluten withdrawal. The time course of the response in adults with DH is the same as that in adults with celiac disease.

 

EFFECT ON THE SKIN DISEASE

 

Strict adherence to a gluten-free diet will, after variable periods of time (from 5 months to 1 year), reduce or completely eliminate the requirement for medication in most, but not all, patients. The most extensive early study by Fry et al. has been confirmed by several groups.14 However, it is only the very highly motivated patient who can adhere to the diet, which requires counseling by an individual who is very familiar with its use.

Elemental and Other Diet Therapy

Studies in small numbers of DH patients have indicated that elemental diets (composed of free amino acids, short-chain polysaccharides, and small amounts of triglycerides) can be very beneficial in alleviating the skin disease within a few weeks. The beneficial effect on the skin disease may be achieved even if the patient ingests large amounts of gluten. Unfortunately, elemental diets are difficult to tolerate for long periods. Interestingly, complete resolution of the skin lesions of DH has also been reported by adherence to the high-protein, unlimited fat, low-carbohydrate diet popularized as the “Atkins Diet.”93 Further studies are needed to confirm this report.

error: Content is protected !!