Dermatitis herpetiformis (Duhring's disease) =التهاب الجلد العقبولي الشكل = داء دورينغ

Dermatitis Herpetiformis

Dermatitis herpetiform is is an intensely pruritic, chronic recurrent dermatitis that has a slight male predilection. The lesions usually develop in young to middle-aged adults as symmetrical grouped erythematous papulovesicles, vesicles, or crusts . Oral lesions are absent. The elbows, knees, buttocks, scapula, and scalp are commonly involved. There is a high incidence {about 90%} of gluten-sensitive enteropathy and an increased but rare risk of lymphoma . Dermatitis herpetiform is in association with SLE has also been reported.

Histopathology

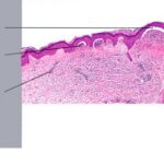
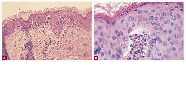
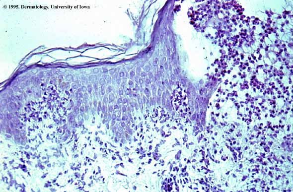
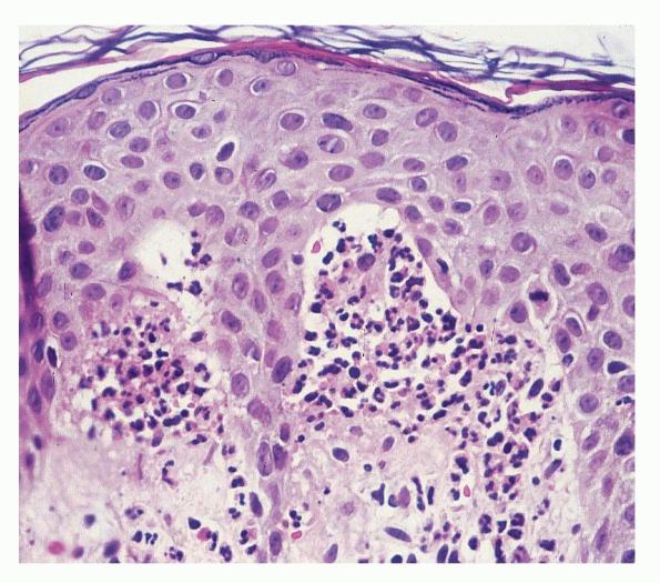
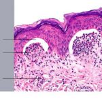
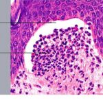
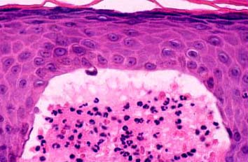
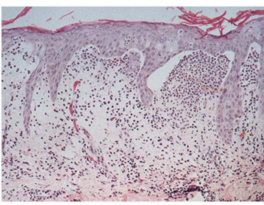
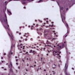
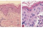
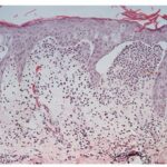
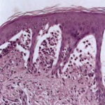
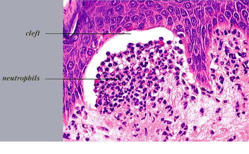
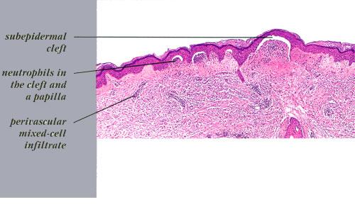
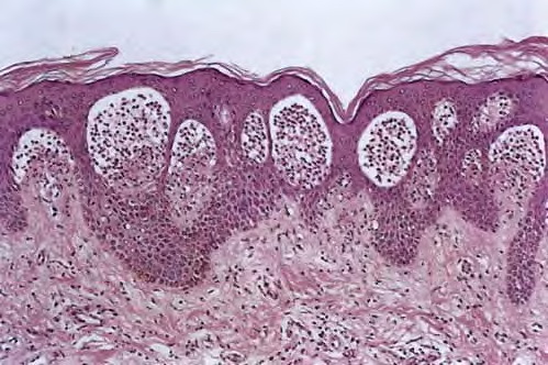
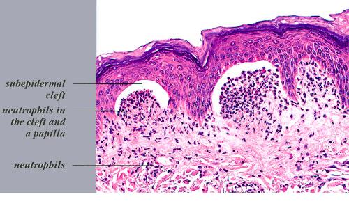
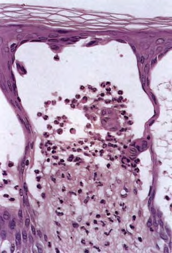
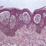
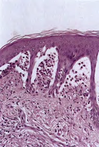
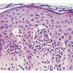
. The typical histologic features are best observed in erythematous skin adjacent to early blisters. In these zones, neutrophils accumulate at the tips of dermal papillae. With an increase in size to microabscesses, a significant admixture of eosinophils may be noted. As microabscesses form, a separation develops between the tips of the dermal papillae and the overlying epidermis; thus, the early blisters are multiloculated . The presence of fibrin in the papillae may give them a bluish appearance. Within 1 to 2 days, the rete ridges lose their attachment to the dermis, and the blisters then become unilocular  and clinically apparent. At this time, the characteristic papillary microabscesses may be observed at the blister periphery. For this reason, the inclusion of perivesicular skin in the biopsy specimen is of

utmost value. The papillary dermis beneath the papillae may have a relatively intense inflammatory infiltrate of neutrophils and some eosinophils. Many neutrophils may exhibit leukocytoclasis. Subjacent to this, a perivascular infiltrate composed of lymphocytes, neutrophils, and eosinophils may be apparent. the diagnostic finding of papillary microabscesses may not be present in all patients. Apoptotic keratinocytes may be noted above the papillary microabscesses.

IF Testing.

 In 1967, Cormane described the presence of granular deposits of IgA within the dermal papillae in both lesional and nonlesional skin. IgA is found alone or in combination with other immune reactants in over 95% of cases when uninvolved skin of the forearm or buttock is tested . Fibrillary IgA deposits may also be present. Early in the course of the disease, IgA deposits may be absent and repeat DIF is necessary. Some recommend that biopsies be taken from clinically normal skin immediately adjacent to

erythema, because false-negative results may occur when blistered or inflamed skin is evaluated. The presence of IgA within the skin is not altered by dapsone therapy. After as long as 2 years, a gluten-free diet results in the disappearance of IgA from the skin. Negative results of DIF testing of two appropriately selected biopsy sites are a strong indication that the patient does not have dermatitis herpetiform is.

Circulating IgA antibodies that react against reticulin, smooth muscle endomysium, the dietary antigen gluten, bovine serum albumin, and ~-lactoglobin may be present. Only the presence of IgA endomysial antibodies is of diagnostic importance, but their presence is not specific or very sensitive. Using monkey or pig gut as substrate, IIF has been used to detect antiendomysial antibodies, which are present in 52% to 100% of patients.

Pathogenesis

. Three important findings must be considered in the pathogenesis of dermatitis herpetiformis. First, the disease is associated with a gluten-sensitive enteropathy; second, granular IgA is deposited in the skin; and third, patients have a high frequency of certain HLA antigens. HLA-B8, DR3, and Dqw2 have been identified in high frequency in patients with dermatitis herpetiform is and celiac disease. The majority of patients show focal celiac

 

spruelike changes on jejunal biopsy. Patients with celiac disease develop IgA autoantibodies to tissue transglutaminase, which degrades gliadin. Antitissue transglutaminase antibodies and antiendomysial antibodies are detected in patients with dermatitis herpetiform is . Papillary dermal-bound IgA immune precipitates in dermatitis herpetiform is have been shown to contain epidermal transglutaminase .

The IgA deposition results in activation of the complement system followed by chemotaxis of neutrophils into the papillary dermis . Enzymes released from these neutrophils degrade laminin and type IV collagen, contributing to blister formation.

 

Ultrastructural Study.

 The changes in dermatitis herpetiform is resemble those observed in the inflammatory bullae of bullous pemphigoid. Neutrophils are the major inflammatory cell in the former, whereas eosinophils predominate in the latter. Fibrin appears earlier and in greater amount in dermatitis herpetiform is, particularly in dermal papillae. While it has been shown immunohistochemically that the early blister forms above the apparently intact lamina lucida , in more advanced lesions the lamina densa has been destroyed, as is noted in the "inflammatory bullae" of bullous pemphigoid.

 

error: Content is protected !!