Degos' disease - Malignant atrophic papulosis = الضمور الحطاطي الخبيث لديغوس

Degos Disease-

 

Malignant Atrophic

 

Papulosis

 

In the early 1940s, Köhlmeier first described malignant atrophic papulosis, whereas Degos, Delort, and Tricot recognized it as a specific entity a year later. We now know that the clinically distinctive lesion of the so-called Degos disease is a marker of a cutaneous thrombo-obliterative vasculopathy rather than of a specific disease per se. Indeed, such lesions can be found in at least two distinctive clinical settings: as an apparent idiopathic disease, either classic Degos disease or its benign variant, or as a surrogate clinical finding in some connective tissue diseases such as the anti-phospholipid syndrome, lupus erythematosus, dermatomyositis, and systemic sclerosis

.

▪ EPIDEMIOLOGY

 

Classic Degos disease is rare, with less than 200 reported cases. It almost always occurs in Caucasians, but cases have been observed in African American patients and in Japan. The disease most commonly presents between the third and fourth decades, but can occur at any age. Men are more often affected than women (ratio, 3:1). The majority of cases are sporadic, but familial cases have been described, and most of these cases are consistent with an autosomal dominant pattern of inheritance.

▪ ETIOLOGY AND PATHOGENESIS

The etiology of Degos disease is unknown. The histopathologic findings in patients with malignant atrophic papulosis suggest a primary vaso-occlusive process. Thus, a vascular coagulopathy and/or endothelial cell damage should be considered as the major pathogenic mechanism. A combination of prothrombotic factors possibly play a role in triggering the full-blown disease. Extensive studies of prothrombotic factors were performed in some patients with Degos disease, and no single abnormality was repeatedly identified. All patients should be screened for the presence of anti-phospholipid antibodies/lupus anticoagulant and cryoglobulins, although Assier et al. did not find the former in their series of 15 patients. Inhibition of fibrinolysis and platelet abnormalities, including increased platelet adhesiveness and spontaneous aggregation, were reported in some patients.

The lesions of Degos disease should be viewed as a cutaneous marker indicative of intraluminal thrombosis. Several disease processes may converge to produce those clinical and histologic findings.

▪ CLINICAL FINDINGS

History

Patients seek medical advice for the appearance of small cutaneous lesions that usually are neither pruritic nor painful. In some patients, history and/or review of systems will reveal signs indicative of extra-cutaneous involvement: abdominal pain, diarrhea, melena, nausea, blurred vision, hemiparesis, paresthesia or any other sign indicative of an ischemic event. History can also give a clue to previous thromboembolic or obstetrical events suggestive of the anti-phospholipid antibody syndrome.

Cutaneous Lesions

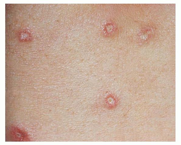
Cutaneous lesions start as crops of 2 to 10 mm, largely asymptomatic or mildly pruritic, fleshy or rose-colored macules that soon become round, smooth, often dome-shaped firm papules . Some lesions display central umbilication and/or necrosis . These lesions evolve over days or weeks to porcelain-white, atrophic papules with a rim of rosy erythema and/or telangiectases . A fully developed lesion therefore closely resembles lesions of atrophie blanche. In time, the reddish border disappears, and only a varicelliform white scar remains. Usually, the lesions are separated from each other, but they may coalesce, leading to polycyclic atrophic areas or to skin ulcerations

.

MALIGNANT ATROPHIC PAPULOSIS

AT A GLANCE

 

  • A rare, primary vaso-occlusive disorder, affecting mainly the skin, the gastrointestinal tract, and the central nervous system.
  • Diagnosis relies on clinico-pathologic evaluation.
  • Characterized by numerous typical porcelain-white, atrophic papules, with a rim of rosy erythema and/or telangiectases.
  • Pathology shows a wedge-shaped area of dermal necrosis with edema and mucin deposition.
  • Benign forms without extra-cutaneous involvement are possible.

The lesions are localized on the trunk and limbs. Palms, soles, face, scalp, and genitalia are usually spared, although there are exceptions. A linear distribution


was reported. Eye involvement is possible, and the most common manifestation is an avascular patch on conjunctivae, but sclerae, episclera, retina, choroids, and optic nerves may be affected

.

CLASSIC DEGOS DISEASE

 

In classic Degos disease, the number of cutaneous lesions varies from a few to more than one hundred. Cutaneous findings usually precede the systemic manifestations that may involve the gastrointestinal tract, with bowel perforation and peritonitis, and/or the central nervous system, with hemorrhagic or ischemic stroke. Rarely, cutaneous lesions occur simultaneously or after gastrointestinal or central nervous system involvement. Postmortem studies have revealed small vessel thrombotic involvement of many organs, including kidney, bladder, prostate, liver, pleura, pericardium, lung, and eyes. Some patients with classic Degos disease have anti-phospholipid antibodies, and this raises the possibility of a relationship with a primary anti-phospholipid syndrome.

 

BENIGN DEGOS DISEASE

 

A benign form of Degos is now widely recognized. In this form, only skin involvement is found, and most of the familial cases are benign. Development during pregnancy has been reported in a patient with anti-phospholipid antibodies, as well as a case occurring in a patient with acquired immunodeficiency syndrome. A patient developing Degos disease after interferon injections, a drug known to induce atrophie blanche-like lesions13 and microangiopathy, is known to the authors (L. Thomas, personal communication). There is no clear-cut distinction between the classic and the benign form of Degos disease, and there is no way by which one can predict which patients will or will not develop visceral involvement.

 

DEGOS DISEASE-LIKE LESIONS OR

 SECONDARY DEGOS DISEASE

 

Degos disease-like lesions can occur in patients with known lupus erythematosus, especially those with anti-phospholipid antibodies, dermatomyositis, and systemic sclerosis.

 

▪ LABORATORY TESTS

 

Histopathology

Clinically, fully developed lesions reveal a cell-poor, wedge-shaped area of slight to severe dermal necrosis with dermal edema and copious mucin deposition, extending from the papillar dermis to the deep part of the reticular dermis


. At the base of the lesion, occluded vessels with occasional thrombosis, thickened vessel walls, proliferating endothelial cells, and sparse perivascular lymphocytic infiltrate can be found. Yet, a full-blown leukocytoclastic neutrophilic vasculitis is never found in patients with malignant atrophic papulosis. This entity should therefore not be classified as vasculitis. Numerous secondary, epidermal changes can be found: hyperkeratosis, interface dermatitis, scattered necrotic keratinocytes, and atrophy. An associated sclerosing panniculitis was reported in one patient.17 Results of direct immunofluorescence studies have been inconsistent. Electron microscopy occasionally revealed tubuloreticular aggregates within endothelial cells of uncertain significance.

Because some of those histopathologic findings, such as mucinous infiltration of the dermis, interface dermatitis, and perivascular lymphocytic dermal infiltrate, are shared by lupus erythematosus and dermatomyositis, Degos disease is considered by some authors as a possible variant of lupus erythematosus.

Other Laboratory Tests and Special Tests

There is no diagnostic or prognostic marker of the disease. A search for anti-nuclear antibodies, lupus anticoagulant, and anticardiolipin antibodies should be performed in each patient. An extensive exploration of hemostasis will sometimes reveal abnormalities.

Clinical evaluation can confirm secondary Degos disease if signs suggestive of connective tissue disease or anti-phospholipid syndrome are present. If clinical evaluation reveals signs of intestinal or cerebral involvement (pain, diarrhea, hemiparesis, blurred vision, paresthesia), imaging studies including cerebral magnetic resonance imaging and/or endoscopic evaluation/laparoscopy are mandatory.

 

▪ DIAGNOSIS

 

The diagnosis is usually established clinically, because of the distinguished lesion. A confirmatory biopsy should always be performed.

 

▪ DIFFERENTIAL DIAGNOSIS

 

▪ COMPLICATIONS

Death related to an ischemic cerebral or gastrointestinal event is the major complication of Degos disease. Gastrointestinal hemorrhage, perforation, and peritonitis are the most frequent complications of the disease and are the major ominous events. Neurologic complications, including hemiparesis, aphasia, multiple cranial nerve involvement, monoplegia, sensory disturbances, and seizures, are less common. Rarely, progressive neurologic involvement can lead to death, especially in children. Exceptionally, death can result from respiratory failure or myocardial infarction.

Box 172-1 Differential Diagnosis

Most Likely

  • Atrophie blanche

Consider (although unlikely, other diseases with white and/or necrotic papules)

  • Cutaneous lichen sclerosus
  • Pityriasis lichenoides
  • Lymphomatoid papulosis
  • Syphilids, tuberculids
  • Cutaneous Kikuchi disease
  • Clear cell papulosis
  • Calcinosis cutis
  • Fiboelastolytic papulosis of the neck
  • White lentiginosis

Always Rule Out

  • Connective tissue disease with Degos lesions

▪ PROGNOSIS AND CLINICAL COURSE

Although absence of visceral involvement 2 years after diagnosis portends a better prognosis, systemic involvement can occur up to many years after initial cutaneous lesions and thus, it is impossible to predict the outcome. Lethality is above 50 percent if patients present with extra-cutaneous involvement, and most of these patients die within 2 to 3 years mainly because of severe intestinal involvement. Familial Degos disease bears a better prognosis.4

▪ TREATMENT

Due to the rarity of Degos disease, there are no controlled clinical trials, but only anecdotal reports. Yet, in some aspects, Degos disease resembles livedoid vasculopathy, and, therefore, some treatments reported to be efficient in patients with the former entity are worth trying.

Secondary Degos disease occurring in patients with known connective tissue disease should involve, in our opinion, the introduction of anti-platelet agents in addition to the standard treatments otherwise required by those patients.

Patients with classic Degos disease should be screened for all known preventable cardiovascular risk factors. Patients should cease smoking, and their lipid levels should be screened and lowered, if necessary, using statins.


 

 Treatment of Malignant Atrophic Papulosis (Degos Disease)

First line

Aspirin (100-325 mg) and dipyridamole (3 × 400 mg)

Second line

Heparin and other anticoagulation strategies

Adjunctive measures

Control of cardiovascular risk factors

First-line treatment of patients with Degos disease should include platelet aggregation inhibitors (aspirin, clopidogrel, dipyridamole) . A substantial number of patients responded to aspirin and dipyridamole. A number of anecdotal treatments, including antibiotics, chloroquine, immunosuppressive agents, phenylbutazone, and fibrinolytics, have been reported with variable success. Systemic steroids have been reported to exacerbate the disease and should not be prescribed. Heparin and other anticoagulation strategies such as anti-vitamin K (warfarin, fluindione) have variable success rates. Yet, by analogy to livedoid vasculopathy, low-molecular-weight heparin as well as the newer anticoagulants might warrant a trial in the acutely ill patient not responding to anti-platelet agents.

error: Content is protected !!