Cryoglobulinaemia
Histologic Findings
Skin: Purpura are histologically characterized by dermal vasculitis that extends variably to the subcutaneous interstitial space. HCV-associated proteins have been found in vasculitic skin biopsy samples, suggesting a role for these antigens in pathogenesis of the lesions.
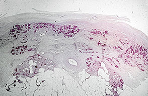
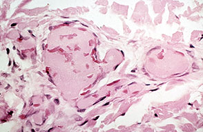
Other organs: Autopsy studies have revealed unsuspected vasculitis of multiple organs (heart, lung, gastrointestinal tract, central nervous system, liver, muscle, adrenals).14 Histologic evaluation of affected lung, kidney, and muscle reveals eosinophilic material in the lumen of small vessels with frequent extension into the vessel intima and inflammation of the vessel wall.37
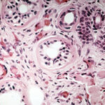
Although biopsy samples generally exhibit inflammatory vascular changes (eg, leukocytoclastic vasculitis in patients with vasculitic purpura), intraluminal cryoglobulin deposits may be observed, especially in renal glomeruli