Clear Cell Acanthoma Degos =الشوكوم رائق الخلايا لديغوس

 

Clear Cell Acanthoma

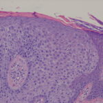
Clear cell acanthoma, a tumor that is clinically and histologically quite distinct, was first described in 1962 (122). It is not rare. Typically the lesions are solitary and occur on the legs. They are slowly growing, sharply delineated, red nodules or plaques 1 to 2 em in diameter and usually covered with a thin crust and exuding some moisture. A collarette is often seen at the periphery. It has been said that the lesion appears stuck on, like a seborrheic keratosis, and is vascular, like a granuloma pyogenicum  

 

Histopathology

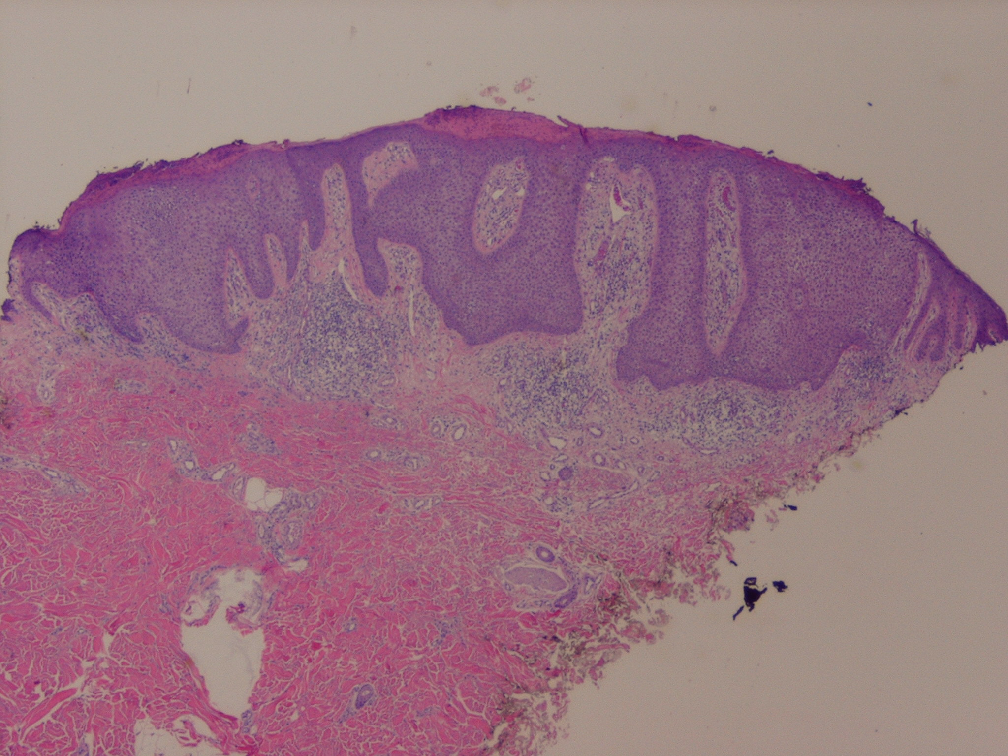
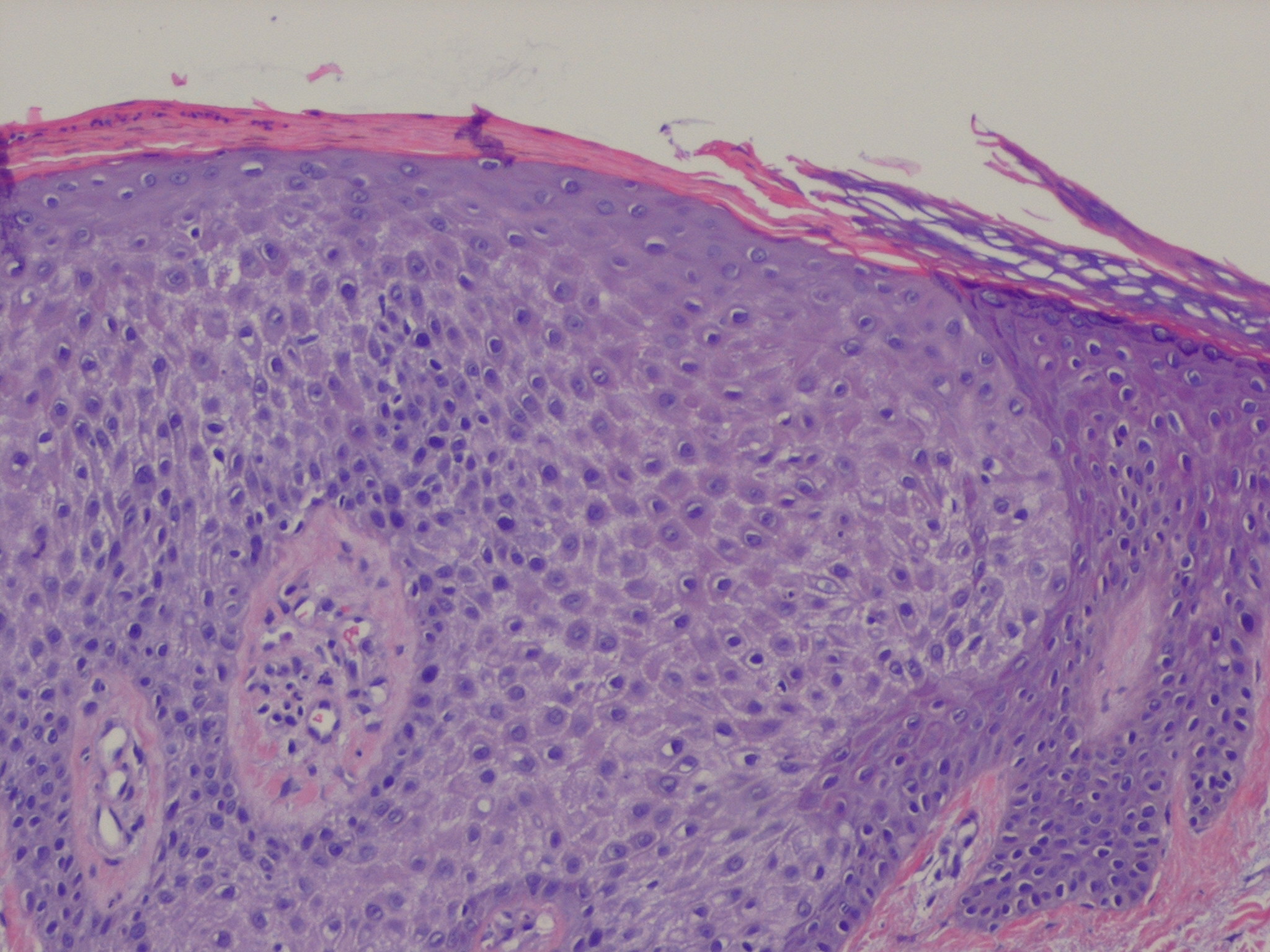
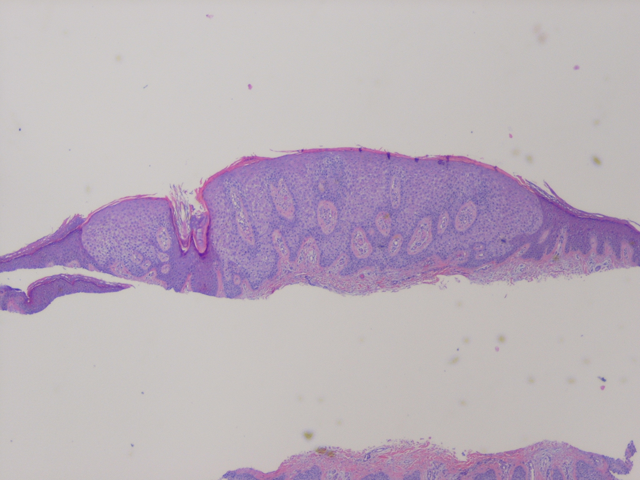
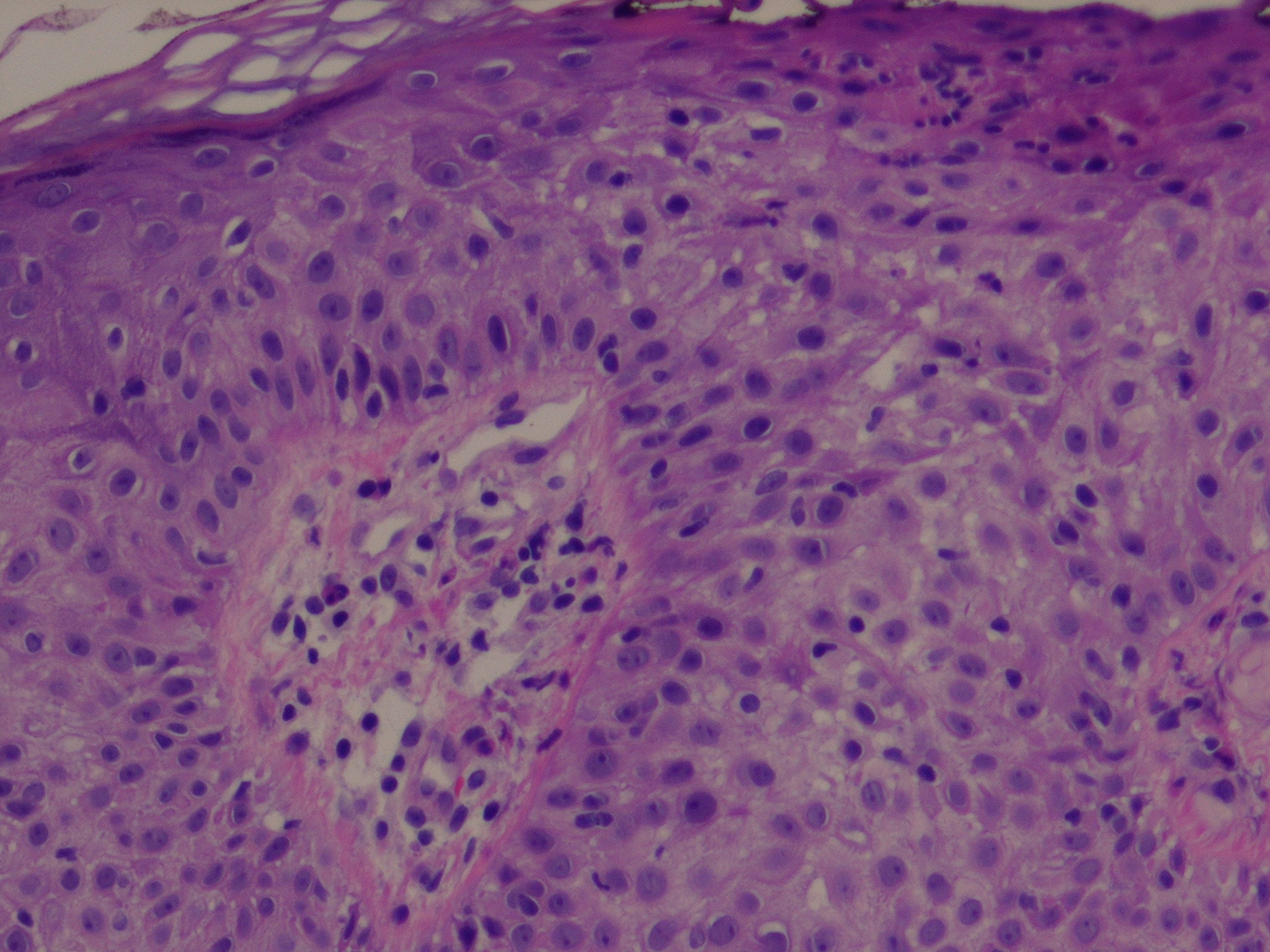
  Within a sharply demarcated area of the epidermis

 

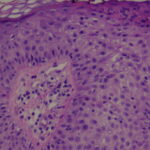
of cells of the basal cell layer, appear strikingly clear and slightly enlarged . The nuclei of the clear epidermal cells appear normal. When staining is carried out with the periodic acid-Schiff (PAS) reaction, the presence of large amounts of glycogen is revealed within the cells .

Slight spongiosis is present between the clear cells. The rete ridges are elongated and may show intertwining . The surface shows parakeratosis with few or no granular cells. The acrosyringia and acrotrichia within the tumor retain their normal stainability . There is an absence of melanin within the tumor cells, but dendritic melanocytes containing melanin are occasionally seen interspersed between the clear cells .

A conspicuous feature in most lesions is the presence throughout the epidermis of numerous neutrophils, many of which show fragmentation of their nuclei . The neutrophils often form microabscesses in the parakeratotic horny layer . Dilated capillaries are seen in the elongated papillae and often also in the dermis underlying the tumor In addition, a mild to moderately severe cellular infiltrate composed largely of lymphoid cells is present in the dermis. Some clear cell acanthomas appear papillomatous, so that they have the configuration of a seborrheic keratosis .

Beneath the tumor, some cases have shown hyperplasia of sweat ducts  or syringoma-like proliferations .

 

Pathogenesis

  On histochemical examination, phosphorylase is absent in clear cell acanthoma except for the basal cell layer. This enzyme normally is present in the epidermis and is necessary for the degradation of glycogen .

Electron microscopy reveals glycogen granules in the tumor cells, except in the cells of the basal cell layer. In the lower portion of the tumor, the glycogen granules are seen largely around the nuclei. In the upper portion, however, the amount of glycogen is increased, and the granules are seen to infiltrate between the tonofilaments .

Although the melanocytes, including their dendrites, contain melanosomes, hardly any melanosomes are present within the tumor cells, indicating a blockage in the transfer of melanosomes from the melanocytes to the tumor cells .

error: Content is protected !!