Cicatricial pemphigoid=الداء الفقاعاني الندبي

Cicatricial Pemphigoid

 

Cicatricial pemphigoid (alternate designation: mucous membrane pemphigoid) is a rare chronic autoimmune subepithelial blistering disease characterized by erosive lesions of mucous membranes and skin that result in scarring of at least some sites of involvement.

 

▪ EPIDEMIOLOGY

 

Cicatricial pemphigoid has been estimated to occur in approximately 1 person per million annually; females are affected 1.5 to 2.0 times as often as males. Cicatricial pemphigoid has a mean age of onset of the early to middle 60s. Although there is no known racial or geographic predilection, the HLADQB1*0301 allele has been shown to be significantly increased in frequency in patients with oral, ocular, and generalized bullous pemphigoid; amino acid residues at positions 57 and 71 to 77 of the DQB1 protein may represent a disease susceptibility marker.

 

▪ ETIOLOGY AND PATHOGENESIS

 

Autoantibodies directed against autoantigens in epidermal basement membrane are held responsible for the pathogenesis of cicatricial pemphigoid . A variety of different autoantigens are recognized by circulating autoantibodies from these patients. These and other findings have led to the idea that cicatricial pemphigoid is not a single nosologic entity but rather a disease phenotype. Autoantigens recognized by immunoglobulin G (IgG) autoantibodies from patients with cicatricial pemphigoid are summarized in Table 55-1. Bullous pemphigoid antigen 2 (BPAG2) appears to represent a major cicatricial pemphigoid autoantigen; other autoantigens of particular interest include laminin 5, integrin subunit β4, integrin subunit α6, type VII collagen, and bullous pemphigoid antigen 1. Other patients with cicatricial pemphigoid have IgA anti-basement membrane autoantibodies (alone or in conjunction with IgG anti-basement membrane autoantibodies); the best characterized IgA autoantigen linked to the cicatricial pemphigoid phenotype is bullous pemphigoid antigen 2.

 

CICATRICIAL PEMPHIGOID AT A GLANCE

 

 

  • A chronic autoimmune subepithelial blistering disease characterized by erosive lesions of mucous membranes and skin that result in scarring.
  • Lesions commonly involve the oral and ocular mucosae; other sites that may be involved include the nasopharyngeal, laryngeal, esophageal, genital, and rectal mucosae.
  • A rare disorder, occurring in 1 person per million annually; females are affected 1.5 to 2.0 times as often as males.
  • A progressive disorder that may result in serious complications (e.g., blindness, loss of the airway, esophageal stricture formation).
  • Immunopathologic studies of perilesional mucosa and skin demonstrate in situ deposits of immunoreactants in epithelial basement membranes; circulating anti-basement membrane autoantibodies are detected in sera of some but not all patients.
  • A variety of different autoantigens are recognized by autoantibodies from patients, which suggests that cicatricial pemphigoid is not a single nosologic entity but rather a disease phenotype.

 

▪ CLINICAL FINDINGS

 

History

Patients typically describe the onset of painful, erosive, and/or blistering lesions on one or more mucosal surfaces. A few skin lesions on the upper body are also sometimes noted. Associated symptoms are site specific as detailed later.

Mucosal and Cutaneous Lesions

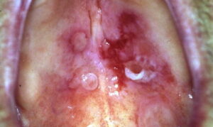
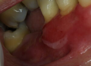
The mouth is the most frequent site of involvement in patients with cicatricial pemphigoid; it is often the first (and only) site affected. Lesions often involve the gingiva, buccal mucosa, and palate ; other sites such as the alveolar ridge, tongue, and lips are also susceptible. A frequent oral manifestation is desquamative gingivitis. Other lesions may present as tense blisters that rupture easily or as mucosal erosions that form as a consequence of epithelial fragility. Lesions in the mouth may result in a delicate white pattern of reticulated scarring. In severe disease, adhesions may develop between the buccal mucosa and the alveolar process, around the uvula and tonsillar fossae, and between the tongue and the floor of the mouth. Gingival involvement can result in tissue loss and dental complications (e.g., caries, periodontal ligament damage, and loss of bone mass and teeth).

Ocular involvement in patients with cicatricial pemphigoid is common and may become sight threatening  Ocular lesions typically manifest as conjunctivitis that progresses insidiously to scarring. Early ocular disease can be quite subtle and nonspecific. Although disease is usually bilateral, it often begins unilaterally and progresses to both eyes within several years. Patients may complain of burning, dryness, or a foreign-body sensation in one or both eyes; frank blisters on conjunctival surfaces are rarely seen. Early disease is best appreciated by slit-lamp examination. Because disease may be localized to the upper tarsal conjunctiva, it may escape detection without eversion of the eyelids. Chronic ocular involvement can result in scarring characterized by shortened fornices, symblepharons (i.e., fibrous tracts between bulbar and palpebral conjunctival surfaces), and, in severe disease, ankyloblepharons (i.e., fibrous tracts fusing the superior and


inferior palpebral conjunctivae with obliteration of the conjunctival sac). Conjunctival scarring also can cause entropion and trichiasis (i.e., in-turning of the eyelashes) that result in corneal irritation, superficial punctate keratinopathy, corneal neovascularization, corneal ulceration, and/or blindness. Additional ocular complications include scarring of the lacrimal ducts, decreased tear secretion, and loss of mucosal goblet cells leading to decreased tear mucus content and unstable tear films. It is very important for patients with suspected ocular involvement to be examined by an ophthalmologist, because early disease may be subtle, is only identified by slit-lamp examination, and can result in severe complications. Cicatricial pemphigoid may be limited to the eyes.

 Major Cicatricial Pemphigoid Autoantigens

AUTOANTIGEN

MW (KD)

LOCATION SSS/ULTRA

PASSIVE TRANSFER STUDIES

BPAG1

230

Epid/HD

 

BPAG2

180

Epid/HD-af

Exp IgG vs. the NC16A domain of BPAG2 creates subepid blisters in newborn mice that resemble those seen in patients with BP.75

Integrin β4

~205

Epid/HD-af

 

Integrin α6

~120

Epid/HD-af

 

Laminin 5

400-440

Derm/LL-LD interface

Exp IgG vs. laminin 5 creates subepid blisters in newborn and adult mice that resemble those seen in patients with AECP.76

 

 

 

Patient IgG creates subepid blisters in human skin grafts on immunodeficient adult mice that resemble those seen in patients with AECP.77

Type VII collagen

290

Derm/AF

Exp and patient IgG vs. the NC1 domain of type VII collagen create subepid blisters in adult mice that resemble those seen in patients with EBA.78-80

AECP = anti-epiligrin cicatricial pemphigoid; AF = anchoring fibril; BP = bullous pemphigoid; BPAG1 = bullous pemphigoid antigen 1; BPAG2 = bullous pemphigoid antigen 2; Derm = dermal; EBA = epidermolysis bullosa acquisita; Epid = epidermal; Exp = experimental; HD = hemidesmosome; HD-af = hemidesmosomeanchoring filament complexes; IgG = immunoglobulin G; LL-LD interface = lamina lucida-lamina densa interface; Location SSS/Ultra = localization in 1 M NaCl-split skin/ultrastructural localization in epidermal basement membrane; MW (kd) = molecular weight in kilodaltons; subepid = sub-epidermal.

 

Other sites that may be affected by cicatricial pemphigoid include the nasopharyngeal, laryngeal, esophageal, and anogenital regions. Nasopharyngeal lesions can result in discharge, epistaxis, excessive crust formation, impaired air-flow, chronic sinusitis, scarring, and tissue loss. Laryngeal involvement may present as hoarseness, sore throat, or loss of phonation. Chronic laryngeal erosions, edema, and scarring may result in supraglottic stenosis and airway compromise that eventually necessitates tracheostomy. Esophageal involvement may result in stricture formation, dysphagia, odynophagia, weight loss, and/or aspiration. Moreover, it has been suggested that esophageal dysfunction and gastroesophageal reflux may elicit or exacerbate laryngeal disease and/or bronchospasm in such patients. Although involvement of the genital and/or rectal mucosae in patients with cicatricial pemphigoid is rare, it can be a source of substantial pain and morbidity. Rare cases of urethral stricture, vaginal stenosis, and anal narrowing have developed as a consequence of this disease.

The skin is involved in 25 percent to 35 percent of patients with cicatricial pemphigoid. The most frequently affected areas are the scalp, head, neck, and upper trunk. Lesions typically consist of small vesicles or bullae situated on erythematous and/or urticarial bases. Lesions rupture easily and are


often seen as small, crusted papules or plaques. The extent and number of cutaneous lesions are generally small; lesions sometimes recur in the same areas.

Related Physical Findings

 

SYSTEMIC ASSOCIATIONS

 

A cohort of 35 patients with anti-epiligrin cicatricial pemphigoid was shown to have an increased relative risk for cancer.37,38 Ten patients in this cohort had solitary solid cancers (three lung, three gastric, two colon, two endometrial); eight patients developed cancer after the onset of cicatricial pemphigoid (six within a year, seven within 14 months). The time between blister onset and cancer diagnosis was approximately 14 months in 9 of the 10 patients. Eight patients in this cohort died as a consequence of their cancer. All deaths occurred within 21 months. This form of cicatricial pemphigoid appears to have a relative risk for malignancy that approximates that for adults with dermatomyositis; as is true for the latter, the risk for cancer appears to be particularly high in the first year of disease. Other patients with anti-epiligrin cicatricial pemphigoid and cancer have been described more recently

 

BRUNSTING-PERRY PEMPHIGOID

 

In 1957, Brunsting and Perry described seven patients with locally recurrent and scarring sub-epidermal blistering lesions of the head or neck that for many years was thought to be a form of cicatricial pemphigoid. Although these patients are typically elderly and demonstrate deposits of immunoreactants in epidermal basement membranes like other patients with cicatricial pemphigoid, Brunsting-Perry pemphigoid predominates in men and lacks mucous membrane involvement. More recently, patients with the same clinical, histologic, and immunopathologic features have been reported to have autoantibodies directed against type VII collagen (or rarely to bullous pemphigoid antigens).3,44 Identification of similar patients with blister planes beneath the lamina densa further suggests that individuals with this phenotype usually have localized forms of epidermolysis bullosa acquisita.

 

▪ LABORATORY TESTS

 

Light Microscopy

Although the findings of light microscopy studies of lesional skin or mucosa from patients with cicatricial pemphigoid often are nonspecific, they characteristically show a sub-epidermal blister and a dermal leukocytic infiltrate composed of lymphocytes and histiocytes as well as variable numbers of neutrophils and eosinophils. Plasma cells often are seen in mucosal lesions, whereas eosinophils and neutrophils are seen most commonly in skin lesions. Biopsy specimens of older lesions may be relatively “cell poor” and show features that correlate with the noninflammatory character of such sites clinically. Light microscopy studies of older lesions often show fibroblast proliferation and lamellar fibrosis (i.e., fibrosis characterized by collagen bundles ordered parallel to the surface epithelium).

 

Electron Microscopy

 

Ultrastructural studies of lesional skin or mucosa from patients with cicatricial pemphigoid show that blisters typically develop within the lamina lucida and eventuate in partial or complete destruction of the basal lamina in older lesions.45-48 A generally held impression is that blisters form below those of bullous pemphigoid, because scarring is more common in patients with this disease. Reports of patients with blisters in the sublamina densa region are thought to represent mucosa-predominant forms of epidermolysis bullosa acquisita.

Immunofluorescence Microscopy

Direct immunofluorescence microscopy of normal-appearing perilesional tissue from patients with cicatricial pemphigoid shows continuous deposits of immunoreactants in epithelial basement membranes. The most commonly detected immunoreactants are IgG and C3 ; the predominant subclass of these autoantibodies is IgG4. IgA, IgM, and/or fibrin are found in some patients. One study of skin and mucosal samples from 10 patients found immunoreactants more commonly in perilesional mucosal biopsy specimens, which suggests that mucous membranes are the preferred biopsy site for direct immunofluorescence microscopy studies. Splitting tissue samples with 1 M NaCl increases the sensitivity of direct immunofluorescence microscopy and facilitates identification of immunoreactants as well as their relative distribution within epithelial basement membranes.

Indirect immunofluorescence microscopy studies using intact skin or mucosa often find low-titer IgG (and/or IgA) anti-basement membrane autoantibodies in patients with cicatricial pemphigoid. The use of 1 M NaCl-split skin as a test substrate in these studies substantially increases the detection of such autoantibodies. In such studies, IgG (and/or IgA) binding is usually directed against the epidermal side of 1 M NaCl-split skin, although combined epidermal and dermal or exclusively dermal binding can occur. In fact, this heterogeneity in autoantibody binding patterns was one of the first clues that cicatricial pemphigoid is a disease phenotype that is associated with different autoantigens. Although some studies have suggested that the use of human mucosal tissue substrates increases the likelihood of detecting autoantibodies in patients with cicatricial pemphigoid, other studies have not obtained similar results.6,48 Patients with both IgG and IgA anti-basement membrane autoantibodies appear to have a worse prognosis as defined by requirements for medications to control disease as well as overall clinical severity score.

 

Specialized Tests

 

Selected cases may require specialized immunochemical studies (e.g., immunoblot studies of keratinocyte or skin extracts, immunoprecipitation studies of biosynthetically radiolabeled keratinocytes) to identify the autoantigen targeted by patient anti-basement membrane autoantibodies. Perilesional tissue from seronegative patients may be further characterized by immunoelectron microscopy studies to determine if in situ deposits of immunoreactants reside above or below the lamina densa of epidermal basement membrane.

 

▪ DIFFERENTIAL DIAGNOSIS

 

The diagnosis of cicatricial pemphigoid is suggested when patients present with bullous or erosive lesions of mucous membranes and continuous deposits of immunoreactants are demonstrated in epithelial basement membranes of perilesional tissue. Distinguishing cicatricial pemphigoid from other autoimmune bullous diseases can be difficult and may require specialized immunopathologic studies and/or immunoelectron microscopy. Disorders that must be differentiated from cicatricial pemphigoid include lichen planus, erythema multiforme, lupus erythematosus, lichen sclerosus, and—in the case of ocular disease—cicatrizing or inflammatory conjunctivitis that results from long-term use


of certain ophthalmologic preparations (e.g., pilocarpine, guanethidine, or ephedrine used in the treatment of glaucoma or idoxuridine used as an antiviral) or biologics that inhibit epidermal growth factor receptor tyrosine kinase (Box 55-1). It also has been reported that some cases of ocular cicatricial pemphigoid develop after an acute episode of severe ocular inflammatory injury secondary to Stevens-Johnson syndrome. Interestingly, the time between the appearance of Stevens-Johnson syndrome and the onset of ocular cicatricial pemphigoid in these patients can range from a few months to more than 30 years.

Box 55-1 Differential Diagnosis of Cicatricial Pemphigoid

Most Likely

  • Pemphigus

o        Pemphigus vulgaris

o        Paraneoplastic pemphigus

  • Other sub-epidermal immunobullous diseases

o        Epidermolysis bullosa acquisita

o        Bullous pemphigoid

o        Linear immunoglobulin A dermatosis

  • Erythema multiforme
  • Lupus erythematosus
  • Lichen planus

Consider

  • Drug-induced hypersensitivity reaction
  • Lichen sclerosus (especially in the anogenital area)

Always Rule Out

  • Pemphigus (specifically, pemphigus vulgaris, paraneoplastic pemphigus)
  • Other sub-epidermal immunobullous diseases
  • Erythema multiforme
  • Lupus erythematosus
  • Lichen planus

 

▪ COMPLICATIONS

 

Site-specific complications of cicatricial pemphigoid were outlined earlier and are summarized in Table 55-2.

▪ PROGNOSIS AND CLINICAL COURSE

Cicatricial pemphigoid is typically a chronic and progressive disorder, although involvement may be limited to a given anatomic site (e.g., the mouth, the conjunctivae) for many years. Cicatricial pemphigoid rarely goes into spontaneous remission; its treatment is largely determined by its severity and sites of involvement. Scarring can only be prevented in these patients; it cannot be completely reversed.

TABLE 55-2 Potential Complications of Cicatricial Pemphigoid

SITE

POTENTIAL COMPLICATIONS

Mouth

 

 

Mucosa

Painful, erosive scarring lesions; adhesions between the buccal mucosa and the alveolar process; the uvula and the tonsillar fossae; the tongue and the floor of the mouth

 

Gingiva

Loss of gingival tissue, caries, periodontal ligament damage, loss of alveolar bone, loss of teeth

Eyes

 

 

Conjunctivae

Painful, erosive conjunctivitis; foreign-body sensations; photophobia; scarring; shortened fornices; loss of goblet cells; decrease in tear mucus content, unstable tear film; symblepharons; ankyloblepharons

 

Eyelids

Ectropion, trichiasis, ankyloblepharons

 

Cornea

Corneal irritation, superficial punctate keratinopathy, corneal neovascularization, corneal ulcers, blindness

 

Tear ducts

Scarring, occlusion, secondary infection

Nose

Discharge, epistaxis, excessive crust formation, impaired airflow, recurrent and chronic sinusitis, scarring, tissue loss

Larynx

Hoarseness, impaired phonation, loss of voice, scarring, supraglottic stenosis, airway compromise and loss

Esophagus

Dysphagia, odynophagia, impaired swallowing, aspiration, stricture formation, weight loss

Anogenital region

Painful erosions, stenosis, stricture, secondary infection

 

 

▪ TREATMENT

 

The following overview  is representative of most treatment regimens.

Mild lesions of the oral mucosa and skin can often be treated effectively with topical glucocorticoids (or calcineurin inhibitors such as tacrolimus) in a gel or ointment base applied two to four times each day. These agents are particularly effective before bed, because oral secretions diminish during sleep. Because it is difficult to maintain contact of topical agents with mucous membranes (and because lesions often are localized to the gingiva), customized delivery trays to occlude topical glucocorticoids over lesional sites in the mouth are also useful.63 This approach also facilitates interactions with professionals who can manage other complications in these patients (e.g., dental complications). Mouthwash (dexamethasone 100 µg/mL, 5 mL per rinse) used in a “swishand-spit” regimen for 5 minutes two to three times each day represents another approach for topical therapy. For oral disease resistant to topical glucocorticoids, these agents can (in some instances) be administered intralesionally. In addition to these measures, patients should follow a strict regimen of oral hygiene that includes regular brushing, flossing, and cleaning of teeth. Use of toothpastes and mouthwashes that lack sodium lauryl sulfate and alcohol, respectively, often facilitates patient compliance with such activities.

A number of reports have suggested that dapsone (50 to 200 mg by mouth daily) may be effective.35,64 Others have found that cicatricial pemphigoid does not respond to this agent. Systemic glucocorticoids can be administered alone (e.g., 20 to 60 mg of prednisone by mouth each morning) or in combination with dapsone. Because of potentially severe complications, ocular, laryngeal, and/or esophageal involvement requires aggressive management by teams of physicians familiar with specialized care of these organ systems. For mild or moderate ocular involvement, systemic glucocorticoids (e.g., 20 to 60 mg of prednisone by mouth each morning) alone or in conjunction with daily dapsone may be effective. Patients whose ocular disease is complicated by trichiasis may benefit from epilation, although this decision is best made by an ophthalmologist. For severe disease affecting the ocular, pharyngeal, or urogenital epithelia, a combination of systemic glucocorticoids and an additional immunosuppressive is indicated. In such cases, azathioprine (2.0 to 2.5 mg/kg/day), mycophenolate mofetil (1.0 to 2.5 g/day), or cyclophosphamide (1 to 2 mg/kg/day) are often used in conjunction with daily prednisone (1 mg/kg/day). In this regimen, daily prednisone is tapered gradually over approximately


6 months, and the patient is maintained on the alternate agent alone for an additional 6 to 12 months. Such combined regimens have had success in halting the progression of severe ocular disease, limiting scarring, and producing long-term remissions. In an effort to avoid adverse effects and complications produced by prolonged treatment with immunosuppressive agents, some groups treat patients with intravenous immunoglobulin (i.e., intravenous immunoglobulin 2 g/kg of body weight administered over 2 to 3 days every 2 to 6 weeks for 4 to 6 months). Another emerging trend in the management of patients with particularly severe disease is the use of biologic agents that antagonize tumor necrosis factor-α (e.g., etanercept, infliximab) or bind CD20 (rituximab).

 Treatments for Cicatricial Pemphigoid

MILD INVOLVEMENT

Sites

Local Care Measures

Mouth

Topical corticosteroid (gels or ointments) bid/qid; topical corticosteroids under occlusion (e.g., dental trays); topical calcineurin inhibitors; intralesional corticosteroids

Nose

Irrigation with isotonic saline bid/tid; nasal lubricants; topical corticosteroids (e.g., via sprays, inhalers)

Anogenital region

Topical corticosteroids; topical calcineurin inhibitors

Skin

Topical corticosteroids; topical calcineurin inhibitors

MODERATE INVOLVEMENT

Sites

Therapeutic Options

Mouth, eyes, nose, larynx, esophagus, anogenital region

Local care measures outlined above plus dapsone 50-200 mg daily, prednisone 20-60 mg each morning, or both of these agents simultaneously

SEVERE INVOLVEMENT

Sites

Therapeutic Options

Mouth, eyes, nose, larynx, esophagus, anogenital region

Local care measures outlined above plus prednisone (1 mg/kg each morning), intravenous immunoglobulin (2 g/kg body weight over 2-3 days every 2-6 wk for 4-6 mo), or both of these agents simultaneously in conjunction with azathioprine (2-2.5 mg/kg/day), mycophenolate mofetil (1-2.5 g/day), cyclophosphamide (1-2 mg/kg/day), or rituximab (375 mg/m2 weekly × 4 then every 4-6 mo as needed)

Involvement of the nasopharynx or esophagus potentially has severe complications and requires aggressive and specialized care. Nasal lesions often benefit from twice-daily irrigation of the nasal passages with saline or tap water as well as the use of topical emollients. Esophageal involvement requires medical management to avert dysphagia, pain, tissue loss, and secondary complications such as gastroesophageal dysfunction and reflux, stricture formation, aspiration, laryngeal irritation, or bronchospastic pulmonary disease. All patients with cicatricial pemphigoid require long-term follow-up because of the possibility for this chronic disease to relapse.

error: Content is protected !!