Cellulitis= التهاب النسيج الخلوي

ACUTE CELLULITIS

 

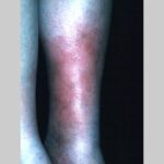
Cellulitis extends deeper into the dermis and subcutaneous tissue. S. aureus and GAS are by far the most common etiologic agents, but occasionally other bacteria are identified (e.g., group B streptococci in the newborn, pneumococci, Gram-negative bacilli, and in immunocompromised individuals, a variety of other microorganisms, including yeasts and molds). Escherichia coli and other Enterobacteriaceae and anaerobes are involved in cellulitis, especially in association with extremes of age, prolonged hospitalization, percutaneous intravascular lines, diabetes, immunocompromised states, and glucocorticoids. Liposuction and “skin popping” are reported risk factors that may also lead to cellulitis from less common organisms.

Though cellulitis has many of the features of erysipelas (erythema, tenderness, pain), it can be differentiated from erysipelas by the lack of distinct margins between affected and normal skin, a deeper, firmer form of tender induration, fluctuance, and, occasionally, the presence of crepitus on palpation. In some cases of cellulites, the overlying epidermis undergoes bulla formation or necrosis, resulting in extensive areas of epidermal sloughing and superficial erosion . Alternatively, with or without antibiotic therapy, infection may localize in the soft tissue with dermal and subcutaneous abscess formation, necrosis, and fasciitis . Regional lymphadenopathy may be associated with cellulitis on an extremity. In older individuals, thrombophlebitis may complicate lower leg cellulitis.

Similar to erysipelas, recurrent cellulitis has been reported after mastectomy. Cellulitis of the ipsilateral arm can be recurrent due to associated lymphedema caused by axillary lymph-node dissection and irradiation.12 Cellulitis at the site of saphenous vein grafting for coronary artery bypass may also recur

.

SURGICAL WOUND INFECTIONS

 

Surgical wound infections are the most common adverse events in hospitalized patients undergoing surgery and are classified as incisional (superficial) or deep. Incisional wound infections involve the skin, subcutaneous tissue, and/or muscle . Deep infections involve structures adjacent to the surgical wound that were entered or exposed during the procedure, such as subfascial layers, viscera, and/or spaces within the peritoneum, thorax, or joints. Up to 80 percent of wound infections are incisional. A wound is considered to be infected if there is drainage of purulent material and evidence of inflammation. Incisional infections present with erythema, pain, tenderness, and local swelling and, often, with low-grade fever. Purulent drainage reveals neutrophils and cultures most often grow S. aureus. Separation of the margins of the wound is usual and this allows appropriate drainage. Deep-wound infections may be more subtle and delayed and often present as fever of uncertain cause. Progressive bacterial synergistic gangrene and other variants of gangrenous cellulitis can arise in surgical wounds or around sutures (see the section Gangrenous Cellulitis, Infection Gangrene, and Crepitant Soft-Tissue Wounds).

The complications of superficial and deep-wound infections include poor healing, bacteremia, the local and systemic effects of prolonged hospitalization, poor nutrition, residual compromised tissue integrity, and the consequence of prolonged antibiotic therapy in a hospital setting. Additionally, wounds infected with toxin-producing S. aureus or GAS may result


in systemic complications such as toxic shock syndrome or scarlet fever

.

CELLULITIS COMPLICATING

A PRESSURE ULCER

 

 

Pressure ulcers, particularly those located in the sacrum in elderly, frail, malnourished individuals, become contaminated by a variety of facultative and anaerobic microorganisms from the skin and the bowel, including S. aureus, enterococci, Pseudomonas aeruginosa, and Bacteroides fragilis. In addition to pain and cellulites, the ulcer can be undermined and may eventually be complicated by bacteremia, often polymicrobial, or the underlying bone can become infected. Similar to other open wounds, the identity of the active pathogen(s) may be difficult to determine

.

CELLULITIS ARISING AT SITES OF

 

ANIMAL BITES

 

Domestic dog and cat bites are frequent and can give rise to painful, necrotizing cellulitis caused by Pasteurella multocida, Capnocytophaga canimorsus (especially in asplenic individuals), and a host of other aerobes and anaerobes from the animal’s mouth or the skin of the infected individual. Dog bites are often accompanied by a crush injury that devitalizes tissues. The bite of cats can inject organisms (via sharp incisors) deep into tissues, including joint spaces, tendon sheaths, or below the periosteum of bone.

Human bites have a higher incidence of infection than do animal bites because of the mix of oral bacteria (aerobes and anaerobes), as well as the crush injury imparted along with the bite. Organisms include various streptococci, S. aureus, Eikenella, Corynebacterium, and the anaerobic peptostreptococci and peptococci

.

GANGRENOUS CELLULITIS,

 

 INFECTIOUS GANGRENE, AND

 

 CREPITANT SOFT-

 

TISSUE WOUNDS

 

These STIs are characteristically rapidly developing, progressive, and accompanied by constitutional symptoms, severe pain, and tenderness, with changes in overlying skin that progress to bulla formation and frank necrosis. The process can be in the superficial or deep fascia with secondary changes in the overlying soft tissues. Palpation may reveal tenderness or gas in the area of involvement. This section focuses on the various types of necrotizing fasciitis and other necrotizing STIs, with and without gas formation, excluding myonecrosis

error: Content is protected !!