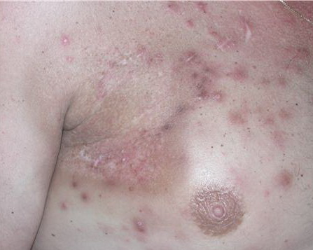
Skin Metastases of Melanoma = انتقالات جلدية للميلانوما
Skin Metastases of Melanoma = انتقالات جلدية للميلانوما
Read MoreSkin Metastases of Melanoma = انتقالات جلدية للميلانوما
Read MoreSkin Metastases of Tumours of Internal Organs = انتقالات ورمية للجلد من اورام حشوية
Read MoreSkin popping=فرقعة اوتفجر الجلد كما يحدث عند المدمنين على حقن الهيروئين
Read MoreSkin tags = السليلات او الزنمات الجلدية SKIN TAGS These rough, 1- to 2-mm, pedunculated papules are commonly located in areas of friction. The axilla, inframammary area, and neck are common locations where these papules commonly appear. Spontaneous regression can occur
Read MoreSmall Vesicle Impetigo Contagiosa =القوباء السارية ذات الحويصلات الصغيرة Impetigo. Two clinical patterns of impetigo are recognized: bullous and non-bullous. Bullous impetigo is caused by S. aureus. Currently, in industrialized nations, non-bullous impetigo is most commonly caused by S. aureus and less often by group A streptococcus. Group A streptococcus remains a common cause […]
Read MoreSmooth muscle hamartoma = ورم عجائبي عضلي املس
Read MoreSneddon´s Syndrome=Livedo Reticularis = متلازمة سنيدون-الترخم الشبكي
Read MoreSolar comidon = الزؤان الضيائي Solar Elastosis Senescent changes in areas of the skin not regularly exposed to sunlight manifest themselves clinically only in thinning of the skin and a decrease in the amount of subcutaneous fat. In contrast, there are often pronounced changes in the appearance of the exposed skin of elderly […]
Read MoreSolar lentigines = النمشات الضيائية Solar Lentigo Actinic Lentigo Solar lentigines commonly occur as multiple lesions in areas exposed to the sun, such as the face and extensor surfaces of the forearms, but most commonly on the dorsa of the hands. The lesions increase in number with age, in contrast to nevi, which decline in […]
Read MoreSolar or Senile Elastosis = المران الشيخي او الضيائي Solar Elastosis Senescent changes in areas of the skin not regularly exposed to sunlight manifest themselves clinically only in thinning of the skin and a decrease in the amount of subcutaneous fat. In contrast, there are often pronounced changes in the appearance of the exposed skin […]
Read More