Lupus vulgaris = ุงูุฐุฃุจ ุงูุดุงุฆุน
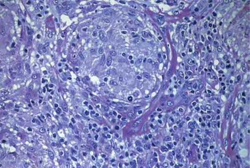
Lupus vulgaris = ุงูุฐุฃุจ ุงูุดุงุฆุน Lupus Vulgaris LV is an extremely chronic, progressive form of cutaneous tuberculosis occurring in individuals with moderate immunity and a high degree of tuberculin sensitivity. Differential Diagnosis of Tuberculosis Verrucosa Cutis ยท Warts or keratoses ยท Hyperkeratotic lupus vulgaris ยท Blastomycosis ยท Chromomycosis ยท Bromoderma ยท Lesions due to […]
Read More









