Histiocytosis X =x كثرة المنسجات
Histiocytosis X =x كثرة المنسجات
Read MoreHydroa vacciniforme =المائية اللقاحينية Hydroa Vacciniforme HV is a very rare, intermittent, UVR-induced, blistering, scarring eruption of only some exposed skin, usually in children and only rarely in adults . The condition generally has onset by 10 years of age, with resolution by early adulthood. Usually sparse, occasionally coalescent, symmetrically scattered, sometimes hemorrhagic vesicles and […]
Read MoreHypertrophic actinic keratosis = التقران الضيائي الضخامي
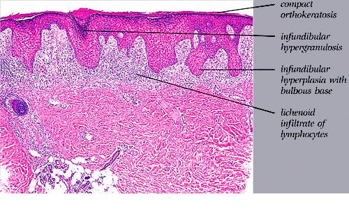
Read MoreHypertrophic lichen planus = الحزاز المنبسط الضخامي
Read More