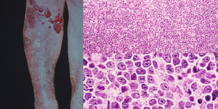
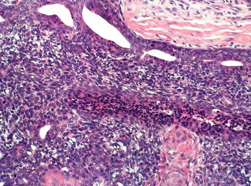
Diffuse large B-cell lymphoma = اللمفوما كبيرة الخلايا البائية المنتشرة
Diffuse large B-cell lymphoma = اللمفوما كبيرة الخلايا البائية المنتشرة
Read MoreDiffuse large B-cell lymphoma = اللمفوما كبيرة الخلايا البائية المنتشرة
Read MoreDigital mucous cyst = كيسة مخاطية على الاصبع Digital Mucous Cyst Digital mucous cysts (DMCs) are benign ganglion cysts of the digits, typically located at the distal interphalangeal (DIP) joints or in the proximal nail fold. They usually occur on the hands, although they have also been noted on the toes. The etiology of these […]
Read MoreDigital papillary adenocarcinoma = غدوم حطاطي على الاصبع
Read MoreDissecting cellulitis of the scalp =التهاب النسيج الخلوي المسلخ على فروة الرأس
Read MoreDrug induced lupus = الذئبة الحمامية الناجمة عن الدواء
Read MoreDyshidrotic Eczema = اكزيمة عسر التعرق Dyshidrotic Dermatitis Dyshidrotic dermatitis is characterized by recurrent, severely pruritic, deep-seated vesicles that classically involve the lateral aspects of the fingers and, in some cases, the toes. Episodes may be precipitated by infections, “id” reactions, contact reactions, and emotional stress. In chronic cases, there may be more extensive involvement […]
Read More