Acne- scarring =العد الندبي
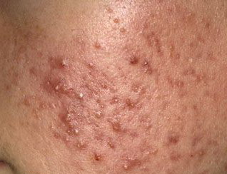
Acne- scarring =العد الندبي Acne- scarring Acne is a skin condition that affects up to 80% of people in their teens and twenties, and up to 5% of older adults. While many people recover from acne without any permanent effects, some people are left with disfiguring acne scars. There are some topical skin […]
Read More









