Bullous pemphigoid= الفقاعاني الفقاعي

Bullous Pemphigoid

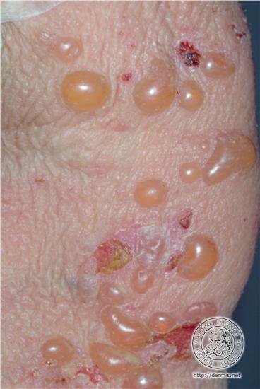
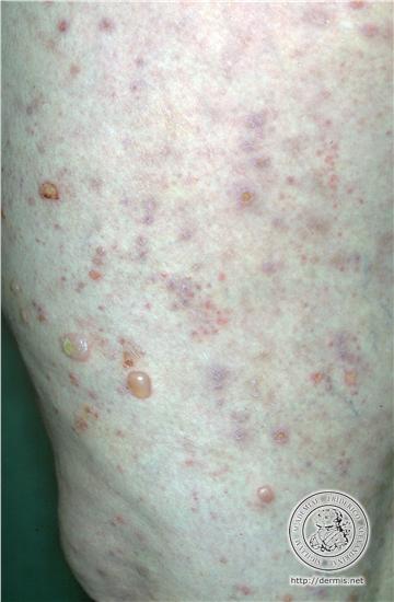
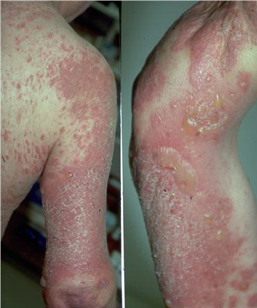
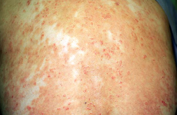
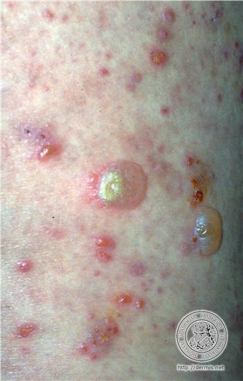
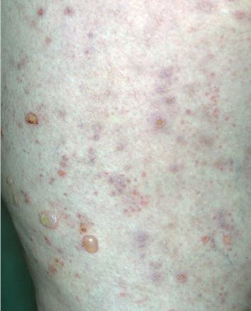
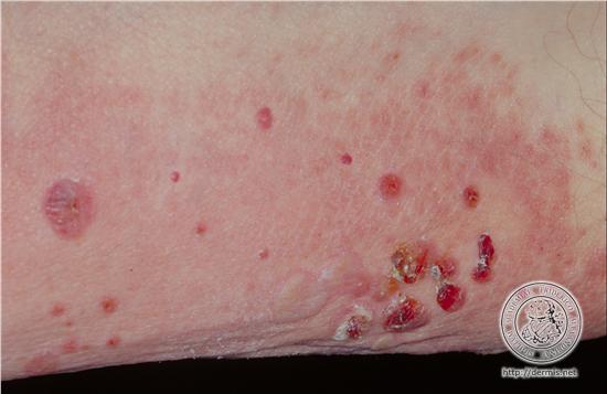
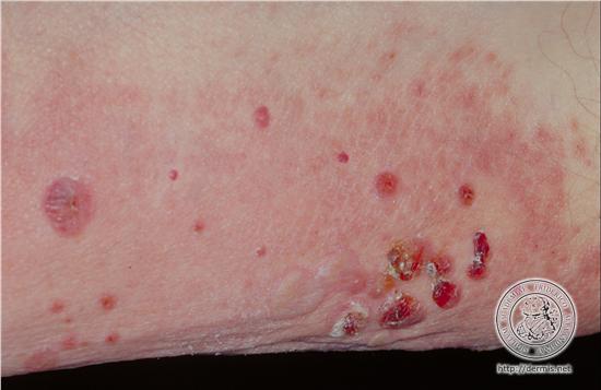
First described in 1953 by Lever, bullous pemphigoid affects primarily elderly patients with large tense bullae arising on urticarial erythematous bases or on nonerythematous skin .In contrast to pemphigus, the Nikolsky sign is negative. The lesions involve the trunk, the extremities, and the intertriginous areas, with the oral mucosa involved in about one third of cases. Bullous pemphigoid may start as a nonspecific eruption suggestive of urticaria or dermatitis, which can persist for weeks or months. Rarely, bullous pemphigoid may present as erythroderma.

 

Histopathology.

 In early lesions, papillary dermal edema in combination with a cell-poor or cell-rich perivascular lymphocytic and eosinophilic infiltrate is present. The blister arises at the dermal-epidermal junction . In the cell-rich pattern, which correlates clinically with blisters arising on erythematous skin , eosinophilic papillary abscesses may develop with numerous perivascular and interstitial eosinophils intermingled with lymphocytes and neutrophils in the superficial and deep dermis. Early lesions may have the histologic features of eosinophilic cellulitis (Well’s syndrome). Eosinophilic spongiosis may occur. The cell-poor pattem is observed

when blisters develop on relatively normal skin , in which there is usually a scant perivascular lymphocytic infiltrate with few eosinophils, some scattered throughout the dermis and others near the epidermis. The blister contains few inflammatory cells. Epithelial migration and regeneration may result in an intraepidermal split in older blisters. Similar to pemphigus vegetans, a hyperplasia of the epidermis, subepidermal bullae, and accumulations of eosinophils and lymphocytes may be seen.

 

 

 

IF Testing. DIF testing of perilesional skin has shown linear C3 deposition  at the dermal-epidermal junction in virtually 100% of cases and IgG in 65% to 95%. IIF studies reveal circulating anti­basement membrane zone IgG antibodies in 70% to 80%. Similarly deposited IgA and IgM are observed in about 25% of cases. No correlation exists between the antibody titer and the clinical severity of the disease. The IgG is located within the lamina lucida, where it appears to be bound specifically to the hemidesmosomes.

Salt-split skin IF studies are an important diagnostic tool. The technique was first developed in 1984, in which normal human skin was used as a substrate and patient serum as a test (indirect salt-split skin technique) (91). Incubation of normal or patient skin in 1 mol/L NaCI results in a split of the epidermis in the lamina lucida. Pemphigoid antibodies bind solely to the lower aspect of the basal keratinocytes (the blister roof) in 80% of cases; in about 20% of cases, the antibodies bind to both the lower basal keratinocytes (the roof) and the superior aspect of the dermis (the blister floor) (T. It must be made clear that the antigenic specificity of the IgG binding to the base or roof is unknown. The IgG cannot be said to be directly against BPAg 1, 2, or other antigen. As time goes on, it is likely that it will be found that a number of cases have different antigenic specificity and should be labeled as different diseases.

error: Content is protected !!