Bronchogenic cyst = كيسة من منشأ قصبي

Bronchogenic and Thyroglossal Duct Cysts

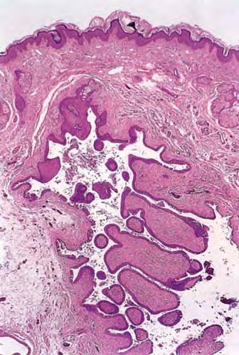
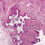
Bronchogenic cysts are rare. They are small, solitary lesions seen most commonly in the skin or subcutaneous tissue just above the sternal notch. Rarely, they are located on the anterior aspect of the neck or on the chin. As a rule, they are discovered shortly after birth. They may show a draining sinus.

Thyroglossal duct cysts are clinically indistinguishable from bronchogenic cysts, except that they are usually located on the anterior aspect of the neck.

 

Histopathology

 

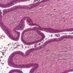
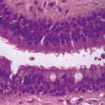
Bronchogenic cysts are lined by a mucosa consisting of ciliated pseudostratified columnar epithelium . Goblet cells may be interspersed. The wall frequently contains smooth muscle and mucous glands but only rarely contains cartilage

error: Content is protected !!