Bowen's disease = داء بوفن

Bowen disease

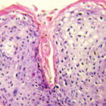
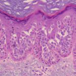
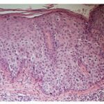
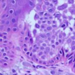
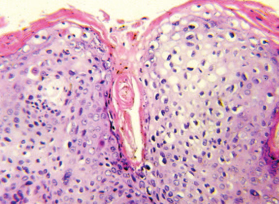
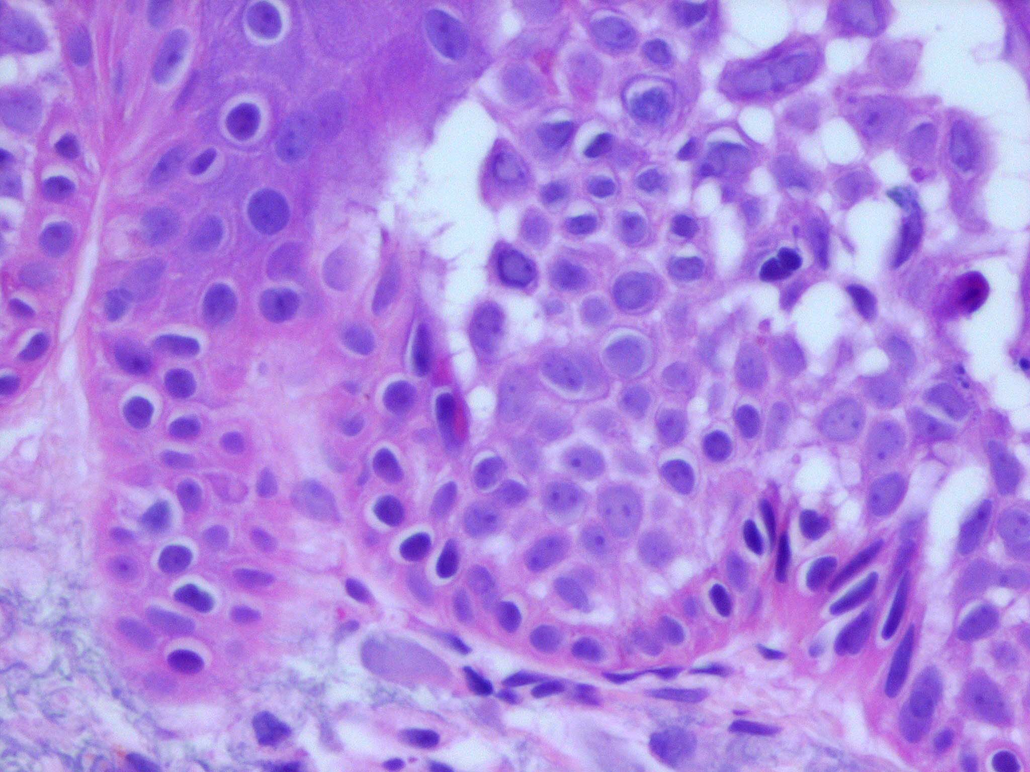
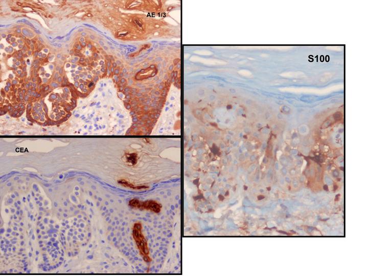
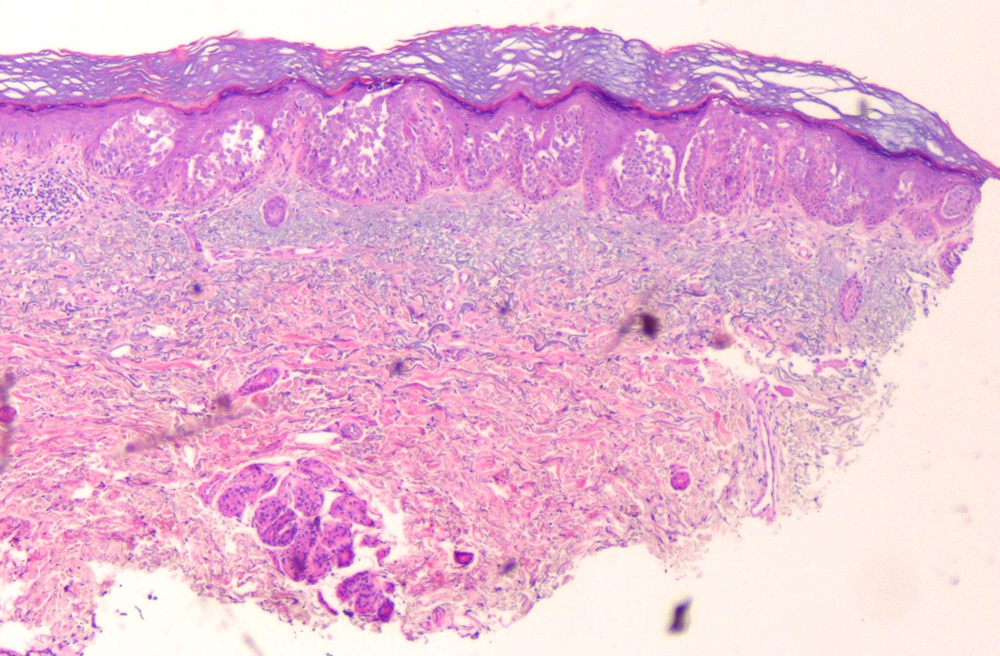
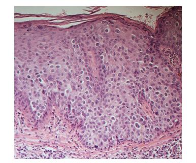
Bowen disease is a full-thickness anaplasia of the epidermis, with loss of the normal maturation of its components. Keratinocytes are atypical and disorderly, often described as having a windblown appearance. Although the basal cell layer is intact, extension of keratinocyte atypia down the follicular epithelium is seen. Vacuolization, mitoses, individually keratinizing cells, and multinucleated cells are present in the epidermis. Large pale keratinocytes with abundant ground-glass cytoplasm, so-called pagetoid cells, often are distributed haphazardly throughout the epidermis. Hyperkeratosis, parakeratosis, and acanthosis are seen to some degree in lesions of Bowen disease. The upper dermis has a moderate lymphocytic infiltrate.

error: Content is protected !!