Blue nevi are benign, localized pigmented lesions that generally occur on the skin, although, occasionally, they may be observed in mucous membranes . On the skin, three types of benign blue nevi are recognized: the common blue nevus, the cellular blue nevus, and the combined nevus. In addition, there are malignant blue nevi, discussed in a later section. |
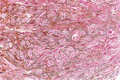
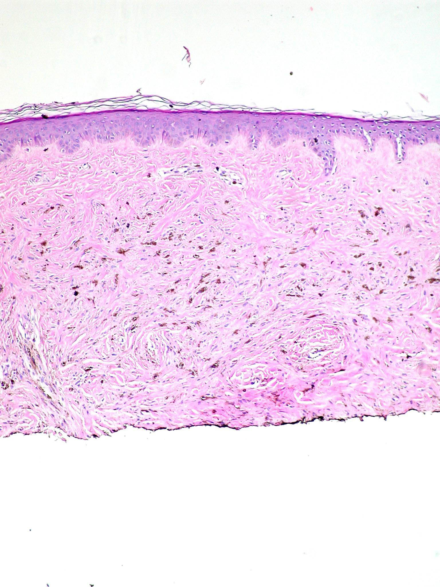
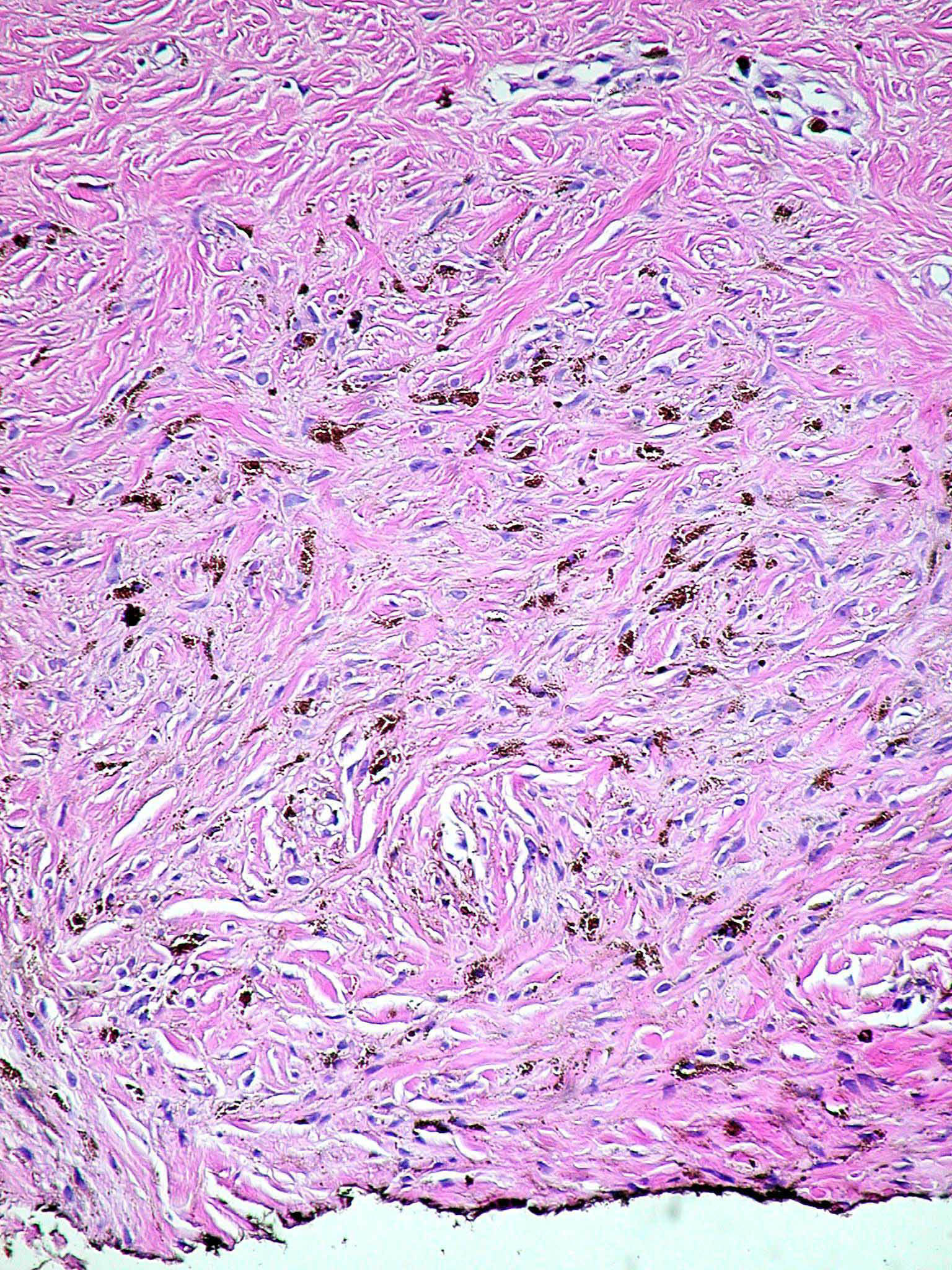
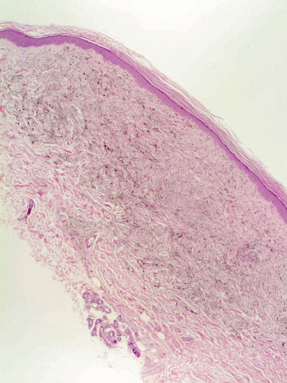
Histologically, the common feature of blue nevi is the presence of pigmented spindle and dendritic melanocytes in a focal area of the reticular dermis, associated (unlike the dermal melanocytoses) with alterations in the dermal collagen architecture. This deeply situated pigment differs from that in acquired nevi, which is typically superficial |
only, and accounts for the blue color of these lesions due to the light-scattering Tyndall effect. |
In a recent study, persistence and recurrence of blue nevi were discussed, demonstrating that blue nevi of all histologic types and combinations are capable of persistence with clinical recurrence . The persistence usually is histologically similar to the original but in some cases is more “cellular” and/or atypical. Limited follow-up of these cases has not demonstrated frankly malignant behavior. Clinical recurrence may also be associated with malignancy of a blue nevus-like lesion, but this study demonstrated that tumor progression to malignancy is not necessarily the case. In the absence of necrosis en masse, marked cytologic atypia, and frequent mitotic figures, recurrence of a blue nevus or a cellular blue nevus is likely to be a benign phenomenon . However, we recommend complete excision and follow-up for such recurrent lesions. |